• 文献检索
  • 文档翻译
  • 深度研究
  • 学术资讯
  • Suppr Zotero 插件Zotero 插件
  • 邀请有礼
  • 套餐&价格
  • 历史记录
应用&插件
Suppr Zotero 插件Zotero 插件浏览器插件Mac 客户端Windows 客户端微信小程序
定价
高级版会员购买积分包购买API积分包
服务
文献检索文档翻译深度研究API 文档MCP 服务
关于我们
关于 Suppr公司介绍联系我们用户协议隐私条款
关注我们

Suppr 超能文献

核心技术专利:CN118964589B侵权必究
粤ICP备2023148730 号-1Suppr @ 2026

文献检索

告别复杂PubMed语法,用中文像聊天一样搜索,搜遍4000万医学文献。AI智能推荐,让科研检索更轻松。

立即免费搜索

文件翻译

保留排版,准确专业,支持PDF/Word/PPT等文件格式,支持 12+语言互译。

免费翻译文档

深度研究

AI帮你快速写综述,25分钟生成高质量综述,智能提取关键信息,辅助科研写作。

立即免费体验

环磷酸肌酸:一种新型生物能量/抗炎药物,可使功能不佳的心脏恢复活力并预防心力衰竭的发生。

Cyclocreatine Phosphate: A Novel Bioenergetic/Anti-Inflammatory Drug That Resuscitates Poorly Functioning Hearts and Protects against Development of Heart Failure.

作者信息

Elgebaly Salwa A, Van Buren Charles, Todd Robert, Poston Robert, Arafa Reem K, El-Khazragy Nashwa, Kreutzer Donald, Rabie Mostafa A, Mohamed Ahmed F, Ahmed Lamiaa A, El Sayed Nesrine S

机构信息

Research & Development, Nour Heart, Inc., Vienna, VA 22180, USA.

Department of Surgery, School of Medicine, UConn Health, Farmington, CT 06030, USA.

出版信息

Pharmaceuticals (Basel). 2023 Mar 16;16(3):453. doi: 10.3390/ph16030453.

DOI:10.3390/ph16030453
PMID:36986552
原文链接:https://pmc.ncbi.nlm.nih.gov/articles/PMC10060003/
Abstract

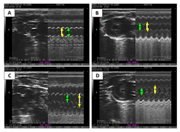
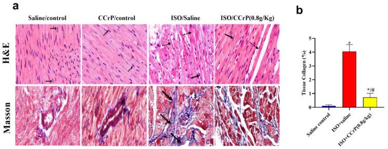
Irreversible myocardial injury causes the exhaustion of cellular adenosine triphosphate (ATP) contributing to heart failure (HF). Cyclocreatine phosphate (CCrP) was shown to preserve myocardial ATP during ischemia and maintain cardiac function in various animal models of ischemia/reperfusion. We tested whether CCrP administered prophylactically/therapeutically prevents HF secondary to ischemic injury in an isoproterenol (ISO) rat model. Thirty-nine rats were allocated into five groups: control/saline, control/CCrP, ISO/saline (85 and 170 mg/kg/day s.c. for 2 consecutive days), and ISO/CCrP (0.8 g/kg/day i.p.) either administrated 24 h or 1 h before ISO administration (prophylactic regimen) or 1 h after the last ISO injection (therapeutic regimen) and then daily for 2 weeks. CCrP protected against ISO-induced CK-MB elevation and ECG/ST changes when administered prophylactically or therapeutically. CCrP administered prophylactically decreased heart weight, hs-TnI, TNF-α, TGF-β, and caspase-3, as well as increased EF%, eNOS, and connexin-43, and maintained physical activity. Histology indicated a marked decrease in cardiac remodeling (fibrin and collagen deposition) in the ISO/CCrP rats. Similarly, therapeutically administered CCrP showed normal EF% and physical activity, as well as normal serum levels of hs-TnI and BNP. In conclusion, the bioenergetic/anti-inflammatory CCrP is a promising safe drug against myocardial ischemic sequelae, including HF, promoting its clinical application to salvage poorly functioning hearts.

摘要

不可逆性心肌损伤会导致细胞三磷酸腺苷(ATP)耗竭,进而引发心力衰竭(HF)。环磷酸肌酸(CCrP)已被证明在多种缺血/再灌注动物模型中,于缺血期间可保存心肌ATP并维持心脏功能。我们测试了在异丙肾上腺素(ISO)大鼠模型中,预防性/治疗性给予CCrP是否能预防缺血性损伤继发的HF。39只大鼠被分为五组:对照组/生理盐水组、对照组/CCrP组、ISO/生理盐水组(连续2天皮下注射85和170 mg/kg/天),以及ISO/CCrP组(腹腔注射0.8 g/kg/天),ISO/CCrP组在ISO给药前24小时或1小时(预防性方案)或在最后一次ISO注射后1小时(治疗性方案)给药,然后每天给药2周。预防性或治疗性给予CCrP可预防ISO诱导的肌酸激酶同工酶(CK-MB)升高及心电图/ST段改变。预防性给予CCrP可降低心脏重量、高敏肌钙蛋白I(hs-TnI)、肿瘤坏死因子-α(TNF-α)、转化生长因子-β(TGF-β)和半胱天冬酶-3,同时增加射血分数(EF%)、内皮型一氧化氮合酶(eNOS)和连接蛋白43,并维持身体活动能力。组织学检查表明,ISO/CCrP组大鼠的心脏重塑(纤维蛋白和胶原蛋白沉积)明显减少。同样,治疗性给予CCrP可使EF%和身体活动能力正常,hs-TnI和脑钠肽(BNP)的血清水平也正常。总之,具有生物能量/抗炎作用的CCrP是一种有前景的安全药物,可对抗包括HF在内的心肌缺血后遗症,促进其在挽救功能不良心脏方面的临床应用。

https://cdn.ncbi.nlm.nih.gov/pmc/blobs/44e3/10060003/a1a0487d9df7/pharmaceuticals-16-00453-g008.jpg
https://cdn.ncbi.nlm.nih.gov/pmc/blobs/44e3/10060003/e0a7405a8ce9/pharmaceuticals-16-00453-g001.jpg
https://cdn.ncbi.nlm.nih.gov/pmc/blobs/44e3/10060003/c183b7346137/pharmaceuticals-16-00453-g002.jpg
https://cdn.ncbi.nlm.nih.gov/pmc/blobs/44e3/10060003/547a46a39d04/pharmaceuticals-16-00453-g003.jpg
https://cdn.ncbi.nlm.nih.gov/pmc/blobs/44e3/10060003/8192d4e8a5d8/pharmaceuticals-16-00453-g004.jpg
https://cdn.ncbi.nlm.nih.gov/pmc/blobs/44e3/10060003/530f416c1bc0/pharmaceuticals-16-00453-g005.jpg
https://cdn.ncbi.nlm.nih.gov/pmc/blobs/44e3/10060003/f84443a1cb54/pharmaceuticals-16-00453-g006.jpg
https://cdn.ncbi.nlm.nih.gov/pmc/blobs/44e3/10060003/cdea7464dcd9/pharmaceuticals-16-00453-g007.jpg
https://cdn.ncbi.nlm.nih.gov/pmc/blobs/44e3/10060003/a1a0487d9df7/pharmaceuticals-16-00453-g008.jpg
https://cdn.ncbi.nlm.nih.gov/pmc/blobs/44e3/10060003/e0a7405a8ce9/pharmaceuticals-16-00453-g001.jpg
https://cdn.ncbi.nlm.nih.gov/pmc/blobs/44e3/10060003/c183b7346137/pharmaceuticals-16-00453-g002.jpg
https://cdn.ncbi.nlm.nih.gov/pmc/blobs/44e3/10060003/547a46a39d04/pharmaceuticals-16-00453-g003.jpg
https://cdn.ncbi.nlm.nih.gov/pmc/blobs/44e3/10060003/8192d4e8a5d8/pharmaceuticals-16-00453-g004.jpg
https://cdn.ncbi.nlm.nih.gov/pmc/blobs/44e3/10060003/530f416c1bc0/pharmaceuticals-16-00453-g005.jpg
https://cdn.ncbi.nlm.nih.gov/pmc/blobs/44e3/10060003/f84443a1cb54/pharmaceuticals-16-00453-g006.jpg
https://cdn.ncbi.nlm.nih.gov/pmc/blobs/44e3/10060003/cdea7464dcd9/pharmaceuticals-16-00453-g007.jpg
https://cdn.ncbi.nlm.nih.gov/pmc/blobs/44e3/10060003/a1a0487d9df7/pharmaceuticals-16-00453-g008.jpg

相似文献

1
Cyclocreatine Phosphate: A Novel Bioenergetic/Anti-Inflammatory Drug That Resuscitates Poorly Functioning Hearts and Protects against Development of Heart Failure.环磷酸肌酸:一种新型生物能量/抗炎药物,可使功能不佳的心脏恢复活力并预防心力衰竭的发生。
Pharmaceuticals (Basel). 2023 Mar 16;16(3):453. doi: 10.3390/ph16030453.
2
Nourin-Associated miRNAs: Novel Inflammatory Monitoring Markers for Cyclocreatine Phosphate Therapy in Heart Failure.与Nourin相关的微小RNA:心力衰竭中磷酸环肌酸治疗的新型炎症监测标志物。
Int J Mol Sci. 2021 Mar 30;22(7):3575. doi: 10.3390/ijms22073575.
3
Cyclocreatine protects against ischemic injury and enhances cardiac recovery during early reperfusion.环肌酸可预防缺血性损伤,并在早期再灌注期间增强心脏恢复能力。
Expert Rev Cardiovasc Ther. 2019 Sep;17(9):683-697. doi: 10.1080/14779072.2019.1662722. Epub 2019 Sep 17.
4
Enhancement of the recovery of rat hearts after prolonged cold storage by cyclocreatine phosphate.环磷酸肌酸对延长冷保存后大鼠心脏恢复的增强作用。
Transplantation. 1994 Mar 27;57(6):803-6. doi: 10.1097/00007890-199403270-00005.
5
Huoxin Pill () Attenuates Cardiac Fibrosis by Suppressing TGF-β1/Smad2/3 Pathway in Isoproterenol-Induced Heart Failure Rats.活心丸通过抑制异丙肾上腺素诱导的心力衰竭大鼠 TGF-β1/Smad2/3 通路减轻心肌纤维化。
Chin J Integr Med. 2021 Jun;27(6):424-431. doi: 10.1007/s11655-020-2862-8. Epub 2020 Dec 22.
6
Enhanced ability of skeletal muscle containing cyclocreatine phosphate to sustain ATP levels during ischemia following beta-adrenergic stimulation.在β-肾上腺素能刺激后,含环磷酸肌酸的骨骼肌在缺血期间维持ATP水平的能力增强。
J Biol Chem. 1987 May 15;262(14):6605-9.
7
Myocardial protection during ischemia by prior feeding with the creatine analog: cyclocreatine.缺血前给予肌酸类似物环肌酸对心肌的保护作用。
J Am Coll Cardiol. 1989 Jul;14(1):246-51. doi: 10.1016/0735-1097(89)90081-8.
8
Enhancement of cardiac function by cyclocreatine in models of cardiopulmonary bypass.环肌酸在体外循环模型中对心脏功能的增强作用。
J Mol Cell Cardiol. 1995 Apr;27(4):1065-73. doi: 10.1016/0022-2828(95)90075-6.
9
Wnt/β-catenin antagonist pyrvinium rescues high dose isoproterenol induced cardiotoxicity in rats: Biochemical and immunohistological evidences.Wnt/β-连环蛋白拮抗剂吡戊肟解救大鼠高剂量异丙肾上腺素诱导的心脏毒性:生化和免疫组织化学证据。
Chem Biol Interact. 2022 May 1;358:109902. doi: 10.1016/j.cbi.2022.109902. Epub 2022 Mar 17.
10
Protective effects of cinnamic acid and cinnamic aldehyde on isoproterenol-induced acute myocardial ischemia in rats.肉桂酸和肉桂醛对异丙肾上腺素诱导的大鼠急性心肌缺血的保护作用。
J Ethnopharmacol. 2013 Oct 28;150(1):125-30. doi: 10.1016/j.jep.2013.08.019. Epub 2013 Aug 31.

引用本文的文献

1
The central role of creatine and polyamines in fetal growth restriction.肌酸和多胺在胎儿生长受限中的核心作用。
FASEB J. 2024 Dec 15;38(23):e70222. doi: 10.1096/fj.202401946R.
2
Development and validation of an LC‒MS/MS method for the determination of cyclocreatine phosphate and its related endogenous biomolecules in rat heart tissues.一种用于测定大鼠心脏组织中环磷酸肌酸及其相关内源性生物分子的液相色谱-串联质谱法的开发与验证
BMC Chem. 2024 Nov 4;18(1):214. doi: 10.1186/s13065-024-01304-1.
3
Integrated Bioinformatics Analysis Confirms the Diagnostic Value of Nourin-Dependent miR-137 and miR-106b in Unstable Angina Patients.

本文引用的文献

1
Myocardial ATP depletion detected noninvasively predicts sudden cardiac death risk in patients with heart failure.无创检测心肌 ATP 耗竭可预测心力衰竭患者的猝死风险。
JCI Insight. 2022 Jun 22;7(12):e157557. doi: 10.1172/jci.insight.157557.
2
The avoidable delay in the care of STEMI patients is still a priority issue.ST段抬高型心肌梗死(STEMI)患者可避免的治疗延误仍是一个优先问题。
Int J Cardiol Heart Vasc. 2022 Mar 23;39:101011. doi: 10.1016/j.ijcha.2022.101011. eCollection 2022 Apr.
3
2022 AHA/ACC/HFSA Guideline for the Management of Heart Failure: A Report of the American College of Cardiology/American Heart Association Joint Committee on Clinical Practice Guidelines.
综合生物信息学分析证实了 Nourin 依赖性 miR-137 和 miR-106b 在不稳定型心绞痛患者中的诊断价值。
Int J Mol Sci. 2023 Sep 30;24(19):14783. doi: 10.3390/ijms241914783.
2022年美国心脏协会/美国心脏病学会/美国心力衰竭学会心力衰竭管理指南:美国心脏病学会/美国心脏协会临床实践指南联合委员会报告
Circulation. 2022 May 3;145(18):e895-e1032. doi: 10.1161/CIR.0000000000001063. Epub 2022 Apr 1.
4
Heart Disease and Stroke Statistics-2022 Update: A Report From the American Heart Association.《心脏病与卒中统计-2022 更新:美国心脏协会报告》。
Circulation. 2022 Feb 22;145(8):e153-e639. doi: 10.1161/CIR.0000000000001052. Epub 2022 Jan 26.
5
The International Thoracic Organ Transplant Registry of the International Society for Heart and Lung Transplantation: Thirty-eighth adult heart transplantation report - 2021; Focus on recipient characteristics.国际心脏和肺移植协会国际胸科器官移植登记处:2021年第38份成人心脏移植报告;关注受者特征
J Heart Lung Transplant. 2021 Oct;40(10):1035-1049. doi: 10.1016/j.healun.2021.07.015. Epub 2021 Jul 29.
6
Cardiac Energy Metabolism in Heart Failure.心力衰竭中的心脏能量代谢。
Circ Res. 2021 May 14;128(10):1487-1513. doi: 10.1161/CIRCRESAHA.121.318241. Epub 2021 May 13.
7
Nourin-Associated miRNAs: Novel Inflammatory Monitoring Markers for Cyclocreatine Phosphate Therapy in Heart Failure.与Nourin相关的微小RNA:心力衰竭中磷酸环肌酸治疗的新型炎症监测标志物。
Int J Mol Sci. 2021 Mar 30;22(7):3575. doi: 10.3390/ijms22073575.
8
Baseline characteristics of patients with heart failure with preserved ejection fraction in the EMPEROR-Preserved trial.在 EMPEROR-Preserved 试验中射血分数保留型心力衰竭患者的基线特征。
Eur J Heart Fail. 2020 Dec;22(12):2383-2392. doi: 10.1002/ejhf.2064.
9
Mavacamten for treatment of symptomatic obstructive hypertrophic cardiomyopathy (EXPLORER-HCM): a randomised, double-blind, placebo-controlled, phase 3 trial.马卡丹特治疗有症状梗阻性肥厚型心肌病(EXPLORER-HCM)的随机、双盲、安慰剂对照、3 期临床试验
Lancet. 2020 Sep 12;396(10253):759-769. doi: 10.1016/S0140-6736(20)31792-X. Epub 2020 Aug 29.
10
Incidence, determinants and prognostic relevance of dyspnea at admission in patients with Takotsubo syndrome: results from the international multicenter GEIST registry.在 Takotsubo 综合征患者入院时呼吸困难的发生率、决定因素和预后相关性:来自国际多中心 GEIST 登记研究的结果。
Sci Rep. 2020 Aug 12;10(1):13603. doi: 10.1038/s41598-020-70445-9.