Suppr超能文献

Birt-Hogg-Dubé 综合征表型患者的嗜铬细胞瘤。

Phaeochromocytoma in a patient with a Birt-Hogg-Dubé syndrome phenotype.

机构信息

Diabetes and Endocrinology, East Kent Hospitals University NHS Foundation Trust, Ashford, UK

Department of Intensive Care Medicine, William Harvey hospital, Ashford, Kent, UK

出版信息

BMJ Case Rep. 2023 Mar 30;16(3):e252362. doi: 10.1136/bcr-2022-252362.

Abstract

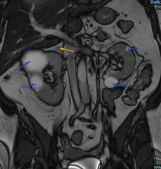
A case of phaeochromocytoma in a female patient in her 50s with phenotypical expressions for the rare Birt-Hogg-Dubé (BHD) syndrome is presented. Whether this is an incidental finding or that there is a composite relationship between these two entities remains to be fully described. Less than 10 cases reporting likely association of BHD syndrome with adrenal tumours have been reported in the literature to date.

摘要

本文报告了一例 50 多岁女性患者的嗜铬细胞瘤病例,该患者具有罕见的 Birt-Hogg-Dubé(BHD)综合征的表型表达。目前尚不清楚这是偶然发现还是这两种疾病之间存在复合关系。迄今为止,文献中仅报道了不到 10 例可能与 BHD 综合征相关的肾上腺肿瘤病例。

https://cdn.ncbi.nlm.nih.gov/pmc/blobs/0c01/10069485/8d5bb9a16032/bcr-2022-252362f01.jpg

文献检索

告别复杂PubMed语法,用中文像聊天一样搜索,搜遍4000万医学文献。AI智能推荐,让科研检索更轻松。

立即免费搜索

文件翻译

保留排版,准确专业,支持PDF/Word/PPT等文件格式,支持 12+语言互译。

免费翻译文档

深度研究

AI帮你快速写综述,25分钟生成高质量综述,智能提取关键信息,辅助科研写作。

立即免费体验