• 文献检索
  • 文档翻译
  • 深度研究
  • 学术资讯
  • Suppr Zotero 插件Zotero 插件
  • 邀请有礼
  • 套餐&价格
  • 历史记录
应用&插件
Suppr Zotero 插件Zotero 插件浏览器插件Mac 客户端Windows 客户端微信小程序
定价
高级版会员购买积分包购买API积分包
服务
文献检索文档翻译深度研究API 文档MCP 服务
关于我们
关于 Suppr公司介绍联系我们用户协议隐私条款
关注我们

Suppr 超能文献

核心技术专利:CN118964589B侵权必究
粤ICP备2023148730 号-1Suppr @ 2026

文献检索

告别复杂PubMed语法,用中文像聊天一样搜索,搜遍4000万医学文献。AI智能推荐,让科研检索更轻松。

立即免费搜索

文件翻译

保留排版,准确专业,支持PDF/Word/PPT等文件格式,支持 12+语言互译。

免费翻译文档

深度研究

AI帮你快速写综述,25分钟生成高质量综述,智能提取关键信息,辅助科研写作。

立即免费体验

自组装卵磷脂基混合聚合物胶束经鼻脑递送至氯氮平:通过放射生物学评估评估药物疗效的体内评估。

Self-Assembling Lecithin-Based Mixed Polymeric Micelles for Nose to Brain Delivery of Clozapine: In-vivo Assessment of Drug Efficacy via Radiobiological Evaluation.

机构信息

Regulatory Affairs Department, Al Andalous for Pharmaceutical Industries, Giza, Egypt.

Department of Pharmaceutics and Industrial Pharmacy, Faculty of Pharmacy, Cairo University, Cairo, Egypt.

出版信息

Int J Nanomedicine. 2023 Mar 27;18:1577-1595. doi: 10.2147/IJN.S403707. eCollection 2023.

DOI:10.2147/IJN.S403707
PMID:37007986
原文链接:https://pmc.ncbi.nlm.nih.gov/articles/PMC10065422/
Abstract

PURPOSE

The research objective is to design intranasal brain targeted CLZ loaded lecithin based polymeric micelles (CLZ- LbPM) aiming to improve central systemic CLZ bioavailability.

METHODS

In our study, intranasal CLZ loaded lecithin based polymeric micelles (CLZ- LbPM) were formulated using soya phosphatidyl choline (SPC) and sodium deoxycholate (SDC) with different CLZ:SPC:SDC ratios via thin film hydration technique aiming to enhance drug solubility, bioavailability and nose to brain targeting efficiency. Optimization of the prepared CLZ-LbPM using Design-Expert® software was achieved showing that M6 which composed of (CLZ:SPC: SDC) in respective ratios of 1:3:10 was selected as the optimized formula. The optimized formula was subjected to further evaluation tests as, Differential Scanning Calorimetry (DSC), TEM, in vitro release profile, ex vivo intranasal permeation and in vivo biodistribution.

RESULTS

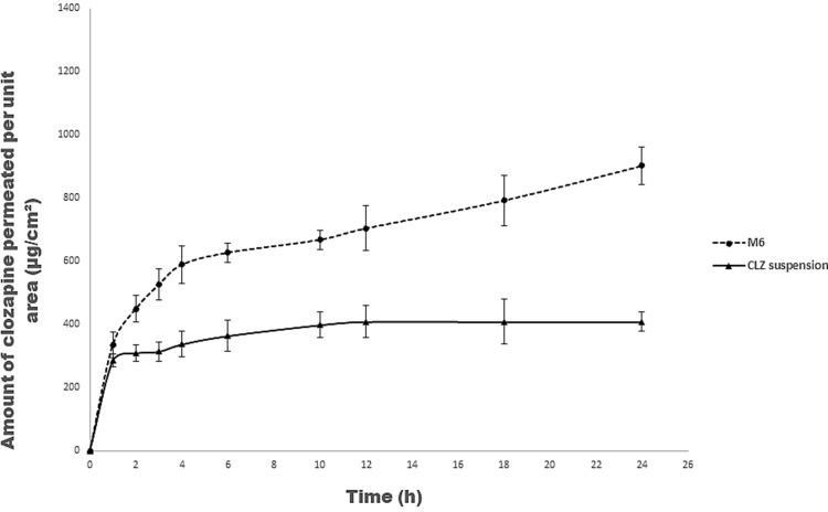
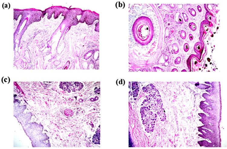
The optimized formula with the highest desirability exhibiting (0.845), small particle size (12.23±4.76 nm), Zeta potential of (-38 mV), percent entrapment efficiency of > 90% and percent drug loading of 6.47%. Ex vivo permeation test showed flux value of 27 μg/cm².h and the enhancement ratio was about 3 when compared to the drug suspension, without any histological alteration. The radioiodinated clozapine ([I] iodo-CLZ) and radioiodinated optimized formula ([I] iodo-CLZ-LbPM) were formulated in an excellent radioiodination yield more than 95%. In vivo biodistribution studies of [I] iodo-CLZ-LbPM showed higher brain uptake (7.8%± 0.1%ID/g) for intranasal administration with rapid onset of action (at 0.25 h) than the intravenous formula. Its pharmacokinetic behavior showed relative bioavailability, direct transport percentage from nose to brain and drug targeting efficiency of 170.59%, 83.42% and 117% respectively.

CONCLUSION

The intranasal self-assembling lecithin based mixed polymeric micelles could be an encouraging way for CLZ brain targeting.

摘要

目的

本研究旨在设计一种新型的载氯氮平(CLZ)的脑靶向大豆卵磷脂基聚合物胶束(CLZ-LbPM),以提高 CLZ 的中枢系统生物利用度。

方法

在本研究中,我们采用薄膜水化法,使用大豆卵磷脂(SPC)和脱氧胆酸钠(SDC),通过不同的 CLZ:SPC:SDC 比例,制备载 CLZ 的脑靶向大豆卵磷脂基聚合物胶束(CLZ-LbPM),以提高药物的溶解度、生物利用度和鼻内递药至脑的效率。采用 Design-Expert®软件对所制备的 CLZ-LbPM 进行优化,结果表明,CLZ:SPC:SDC 比例分别为 1:3:10 的 M6 被选为最优配方。对最优配方进行进一步的评价试验,包括差示扫描量热法(DSC)、透射电镜(TEM)、体外释放曲线、离体鼻内渗透和体内分布。

结果

最优配方具有最高的理想值(0.845)、较小的粒径(12.23±4.76nm)、-38mV 的 Zeta 电位、>90%的包封效率和 6.47%的载药量。离体鼻内渗透试验显示,与药物混悬液相比,通量值为 27μg/cm².h,增强比约为 3,且无组织学改变。放射性碘标记氯氮平([I]碘代-CLZ)和放射性碘标记优化配方([I]碘代-CLZ-LbPM)的放射性碘标记产率均超过 95%。[I]碘代-CLZ-LbPM 的体内分布研究表明,与静脉注射配方相比,其经鼻给药后具有更高的脑摄取(7.8%±0.1%ID/g)和快速起效(在 0.25 小时)。其药代动力学行为显示相对生物利用度、从鼻内直接转运至脑的百分比和药物靶向效率分别为 170.59%、83.42%和 117%。

结论

载 CLZ 的脑靶向自组装大豆卵磷脂基混合聚合物胶束可能是一种有前途的方法。

https://cdn.ncbi.nlm.nih.gov/pmc/blobs/0c5d/10065422/e739e17c114b/IJN-18-1577-g0009.jpg
https://cdn.ncbi.nlm.nih.gov/pmc/blobs/0c5d/10065422/53ed3b9eae14/IJN-18-1577-g0001.jpg
https://cdn.ncbi.nlm.nih.gov/pmc/blobs/0c5d/10065422/ff71c95b1de1/IJN-18-1577-g0002.jpg
https://cdn.ncbi.nlm.nih.gov/pmc/blobs/0c5d/10065422/38bf92464b92/IJN-18-1577-g0003.jpg
https://cdn.ncbi.nlm.nih.gov/pmc/blobs/0c5d/10065422/af0e991f3a96/IJN-18-1577-g0004.jpg
https://cdn.ncbi.nlm.nih.gov/pmc/blobs/0c5d/10065422/024a92f1e081/IJN-18-1577-g0005.jpg
https://cdn.ncbi.nlm.nih.gov/pmc/blobs/0c5d/10065422/a95c9184f610/IJN-18-1577-g0006.jpg
https://cdn.ncbi.nlm.nih.gov/pmc/blobs/0c5d/10065422/c62cf1baac47/IJN-18-1577-g0007.jpg
https://cdn.ncbi.nlm.nih.gov/pmc/blobs/0c5d/10065422/4630b2c475ed/IJN-18-1577-g0008.jpg
https://cdn.ncbi.nlm.nih.gov/pmc/blobs/0c5d/10065422/e739e17c114b/IJN-18-1577-g0009.jpg
https://cdn.ncbi.nlm.nih.gov/pmc/blobs/0c5d/10065422/53ed3b9eae14/IJN-18-1577-g0001.jpg
https://cdn.ncbi.nlm.nih.gov/pmc/blobs/0c5d/10065422/ff71c95b1de1/IJN-18-1577-g0002.jpg
https://cdn.ncbi.nlm.nih.gov/pmc/blobs/0c5d/10065422/38bf92464b92/IJN-18-1577-g0003.jpg
https://cdn.ncbi.nlm.nih.gov/pmc/blobs/0c5d/10065422/af0e991f3a96/IJN-18-1577-g0004.jpg
https://cdn.ncbi.nlm.nih.gov/pmc/blobs/0c5d/10065422/024a92f1e081/IJN-18-1577-g0005.jpg
https://cdn.ncbi.nlm.nih.gov/pmc/blobs/0c5d/10065422/a95c9184f610/IJN-18-1577-g0006.jpg
https://cdn.ncbi.nlm.nih.gov/pmc/blobs/0c5d/10065422/c62cf1baac47/IJN-18-1577-g0007.jpg
https://cdn.ncbi.nlm.nih.gov/pmc/blobs/0c5d/10065422/4630b2c475ed/IJN-18-1577-g0008.jpg
https://cdn.ncbi.nlm.nih.gov/pmc/blobs/0c5d/10065422/e739e17c114b/IJN-18-1577-g0009.jpg

相似文献

1
Self-Assembling Lecithin-Based Mixed Polymeric Micelles for Nose to Brain Delivery of Clozapine: In-vivo Assessment of Drug Efficacy via Radiobiological Evaluation.自组装卵磷脂基混合聚合物胶束经鼻脑递送至氯氮平:通过放射生物学评估评估药物疗效的体内评估。
Int J Nanomedicine. 2023 Mar 27;18:1577-1595. doi: 10.2147/IJN.S403707. eCollection 2023.
2
Brain targeting efficiency of intranasal clozapine-loaded mixed micelles following radio labeling with Technetium-99m.经锝-99m 放射性标记后鼻腔给予氯氮平载混合胶束的脑靶向效率。
Drug Deliv. 2021 Dec;28(1):1524-1538. doi: 10.1080/10717544.2021.1951895.
3
Intranasal brain-targeted clonazepam polymeric micelles for immediate control of status epilepticus: in vitro optimization, ex vivo determination of cytotoxicity, in vivo biodistribution and pharmacodynamics studies.用于即刻控制癫痫持续状态的鼻内脑靶向氯硝西泮聚合物胶束:体外优化、细胞毒性的离体测定、体内生物分布和药效学研究
Drug Deliv. 2016 Nov;23(9):3681-3695. doi: 10.1080/10717544.2016.1223216. Epub 2016 Sep 20.
4
Superiority of TPGS-loaded micelles in the brain delivery of vinpocetine via administration of thermosensitive intranasal gel.载有 TPGS 的胶束通过热敏型鼻内凝胶给药在长春西汀脑内递送上的优势。
Int J Nanomedicine. 2019 Jul 23;14:5555-5567. doi: 10.2147/IJN.S213086. eCollection 2019.
5
Clozapine-laden carbon dots delivered to the brain via an intranasal pathway: Synthesis, characterization, ex vivo, and in vivo studies.经鼻腔途径递送至大脑的氯氮平负载碳点:合成、表征、离体和在体研究。
Colloids Surf B Biointerfaces. 2024 May;237:113862. doi: 10.1016/j.colsurfb.2024.113862. Epub 2024 Mar 20.
6
Nose to brain delivery of mirtazapine via lipid nanocapsules: Preparation, statistical optimization, radiolabeling, in vivo biodistribution and pharmacokinetic study.通过脂质纳米胶囊实现米氮平的鼻腔至脑部递药:制备、统计优化、放射性标记、体内生物分布和药代动力学研究。
Drug Deliv Transl Res. 2024 Sep;14(9):2539-2557. doi: 10.1007/s13346-024-01528-7. Epub 2024 Feb 20.
7
Exploring micellar-based polymeric systems for effective nose-to-brain drug delivery as potential neurotherapeutics.探索基于胶束的聚合物系统,以实现有效的鼻腔内递药,作为潜在的神经治疗药物。
Drug Deliv Transl Res. 2020 Aug;10(4):1019-1031. doi: 10.1007/s13346-019-00702-6.
8
Honokiol/Magnolol-Loaded Self-Assembling Lecithin-Based Mixed Polymeric Micelles (MPMs) for Improving Solubility to Enhance Oral Bioavailability.姜烯酚/厚朴酚载药自组装磷脂基混合聚合物胶束(MPMs)提高溶解度以增强口服生物利用度。
Int J Nanomedicine. 2021 Jan 26;16:651-665. doi: 10.2147/IJN.S290444. eCollection 2021.
9
Brain targeting of olanzapine via intranasal delivery of core-shell difunctional block copolymer mixed nanomicellar carriers: in vitro characterization, ex vivo estimation of nasal toxicity and in vivo biodistribution studies.通过核心壳型双功能嵌段共聚物混合胶束载体经鼻腔递送来实现奥氮平的脑靶向:体外特性鉴定、鼻毒性的离体评估和体内生物分布研究。
Int J Pharm. 2013 Aug 16;452(1-2):300-10. doi: 10.1016/j.ijpharm.2013.04.084. Epub 2013 May 14.
10
Development and evaluation of carboplatin-loaded PCL nanoparticles for intranasal delivery.载顺铂的 PCL 纳米粒的制备及经鼻腔给药的评价。
Drug Deliv. 2016 Sep;23(7):2144-2153. doi: 10.3109/10717544.2014.948643. Epub 2014 Dec 29.

引用本文的文献

1
Advancements in Nanocarrier Systems for Nose-to-Brain Drug Delivery.用于鼻-脑给药的纳米载体系统的进展
Pharmaceuticals (Basel). 2025 Apr 23;18(5):615. doi: 10.3390/ph18050615.
2
Evaluation of Drug Permeation Enhancement by Using In Vitro and Ex Vivo Models.使用体外和离体模型评估药物渗透增强作用
Pharmaceuticals (Basel). 2025 Jan 31;18(2):195. doi: 10.3390/ph18020195.
3
Optimization and Appraisal of Nintedanib-Loaded Mixed Polymeric Micelles as a Potential Nanovector for Non-Invasive Pulmonary Fibrosis Mitigation.

本文引用的文献

1
A comprehensive review on recent nanosystems for enhancing antifungal activity of fenticonazole nitrate from different routes of administration.关于通过不同给药途径增强硝酸戊四唑纳米系统抗真菌活性的最新综述。
Drug Deliv. 2023 Dec;30(1):2179129. doi: 10.1080/10717544.2023.2179129.
2
QbD-based rivastigmine tartrate-loaded solid lipid nanoparticles for enhanced intranasal delivery to the brain for Alzheimer's therapeutics.基于质量源于设计的载酒石酸卡巴拉汀固体脂质纳米粒,用于增强经鼻给药至脑以治疗阿尔茨海默病。
Front Aging Neurosci. 2022 Aug 11;14:960246. doi: 10.3389/fnagi.2022.960246. eCollection 2022.
3
Corneal targeted fenticonazole nitrate-loaded novasomes for the management of ocular candidiasis: Preparation, characterization, and assessments.
作为缓解非侵入性肺纤维化潜在纳米载体的载有尼达尼布的混合聚合物胶束的优化与评价
Pharmaceuticals (Basel). 2024 Sep 26;17(10):1275. doi: 10.3390/ph17101275.
4
Nasal Delivery to the Brain: Harnessing Nanoparticles for Effective Drug Transport.鼻腔给药至大脑:利用纳米颗粒实现有效的药物输送。
Pharmaceutics. 2024 Apr 1;16(4):481. doi: 10.3390/pharmaceutics16040481.
5
Research progress in brain-targeted nasal drug delivery.脑靶向鼻腔给药的研究进展
Front Aging Neurosci. 2024 Jan 17;15:1341295. doi: 10.3389/fnagi.2023.1341295. eCollection 2023.
6
Brain targeting of zolmitriptan via transdermal terpesomes: statistical optimization and in vivo biodistribution study by Tc radiolabeling technique.经皮萜类囊泡递药系统实现佐米曲坦脑靶向:应用 Tc 放射性标记技术进行统计学优化及体内生物分布研究。
Drug Deliv Transl Res. 2023 Dec;13(12):3059-3076. doi: 10.1007/s13346-023-01373-0. Epub 2023 Jun 5.
载有硝酸芬替康唑的角膜靶向诺瓦索姆用于眼部念珠菌病的治疗:制备、表征和评估。
Drug Deliv. 2022 Dec;29(1):2428-2441. doi: 10.1080/10717544.2022.2103600.
4
Using a statistical learning approach to identify sociodemographic and clinical predictors of response to clozapine.使用统计学习方法识别氯氮平反应的社会人口统计学和临床预测因素。
J Psychopharmacol. 2022 Apr;36(4):498-506. doi: 10.1177/02698811221078746. Epub 2022 Feb 25.
5
Clozapine-Encapsulated Binary Mixed Micelles in Thermosensitive Sol-Gels for Intranasal Administration.用于鼻内给药的热敏性溶胶-凝胶中包裹氯氮平的二元混合胶束
Gels. 2022 Jan 5;8(1):38. doi: 10.3390/gels8010038.
6
Preparation, characterization, and in vivo biodistribution study of intranasal I-clonazepam-loaded phospholipid magnesome as a promising brain delivery system.经鼻给予载伊洛沙班磷脂镁纳米囊的制备、表征及体内生物分布研究-一种有前途的脑部递药系统。
Eur J Pharm Sci. 2022 Feb 1;169:106089. doi: 10.1016/j.ejps.2021.106089. Epub 2021 Dec 2.
7
A Novel Reagent for Radioiodine Labeling of New Chemical Entities (NCEs) and Biomolecules.一种用于新型化学实体(NCE)和生物分子放射性碘标记的新型试剂。
Molecules. 2021 Jul 18;26(14):4344. doi: 10.3390/molecules26144344.
8
Brain targeting efficiency of intranasal clozapine-loaded mixed micelles following radio labeling with Technetium-99m.经锝-99m 放射性标记后鼻腔给予氯氮平载混合胶束的脑靶向效率。
Drug Deliv. 2021 Dec;28(1):1524-1538. doi: 10.1080/10717544.2021.1951895.
9
Amelioration of Tumor Targeting and In Vivo Biodistribution of Tc-Methotrexate-Gold Nanoparticles (Tc-Mex-AuNPs).改善 Tc-甲氨蝶呤-金纳米颗粒(Tc-Mex-AuNPs)的肿瘤靶向和体内生物分布。
J Pharm Sci. 2021 Aug;110(8):2955-2965. doi: 10.1016/j.xphs.2021.03.021. Epub 2021 Apr 2.
10
Nose to brain delivery of tailored clozapine nanosuspension stabilized using (+)-alpha-tocopherol polyethylene glycol 1000 succinate: Optimization and in vivo pharmacokinetic studies.(+)-α-生育酚聚乙二醇 1000 琥珀酸酯稳定的定制氯氮平纳米混悬剂经鼻脑递药:优化及体内药代动力学研究。
Int J Pharm. 2021 May 1;600:120474. doi: 10.1016/j.ijpharm.2021.120474. Epub 2021 Mar 15.