• 文献检索
  • 文档翻译
  • 深度研究
  • 学术资讯
  • Suppr Zotero 插件Zotero 插件
  • 邀请有礼
  • 套餐&价格
  • 历史记录
应用&插件
Suppr Zotero 插件Zotero 插件浏览器插件Mac 客户端Windows 客户端微信小程序
定价
高级版会员购买积分包购买API积分包
服务
文献检索文档翻译深度研究API 文档MCP 服务
关于我们
关于 Suppr公司介绍联系我们用户协议隐私条款
关注我们

Suppr 超能文献

核心技术专利:CN118964589B侵权必究
粤ICP备2023148730 号-1Suppr @ 2026

文献检索

告别复杂PubMed语法,用中文像聊天一样搜索,搜遍4000万医学文献。AI智能推荐,让科研检索更轻松。

立即免费搜索

文件翻译

保留排版,准确专业,支持PDF/Word/PPT等文件格式,支持 12+语言互译。

免费翻译文档

深度研究

AI帮你快速写综述,25分钟生成高质量综述,智能提取关键信息,辅助科研写作。

立即免费体验

阿曼苏丹卡布斯大学医院12年期间囊性棘球蚴病病例系列

Case Series of Cystic Echinococcosis Over a Twelve-year Period at Sultan Qaboos University Hospital, Oman.

作者信息

Hassan Kowthar Salman, Al Balushi Asma, Wazir Hashim Ba, Al Adawi Badriya

机构信息

Infectious Diseases Unit, Department of Medicine, Sultan Qaboos University Hospital, Muscat, Oman.

Department of Immunology and Microbiology, Sultan Qaboos University Hospital, Muscat, Oman.

出版信息

Oman Med J. 2023 Mar 31;38(2):e482. doi: 10.5001/omj.2023.61. eCollection 2023 Mar.

DOI:10.5001/omj.2023.61
PMID:37009206
原文链接:https://pmc.ncbi.nlm.nih.gov/articles/PMC10039982/
Abstract

OBJECTIVES

Cystic echinococcosis is a worldwide zoonosis that is endemic in many countries including some in the Middle East. Exact prevalence rates for human echinococcosis are unknown for Oman.

METHODS

Following obtaining ethical approval, data from January 2010 to December 2021 were retrieved from hospital electronic records of Sultan Qaboos University Hospital, Muscat.

RESULTS

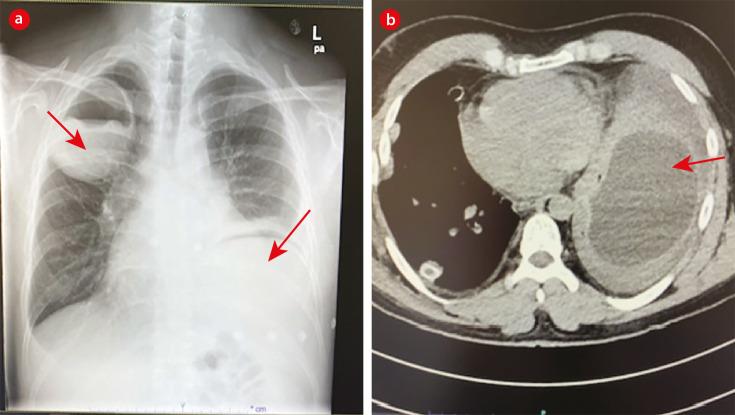
Over a 12-year period we saw nine cases of hydatid disease; two cases in females and seven cases in males. The median age of our patients was 31 years old. Four patients had pulmonary cysts, four had hepatic cysts, and one patient had pulmonary and hepatic cysts. The majority of patients were from the Ad Dakhiliyah governorate. Contact with animals was reported by three patients, denied by two, and unknown for four. Albendazole was prescribed to three patients with pulmonary cysts that subsequently ruptured reflecting the unfamiliarity of clinicians to best manage pulmonary hydatid cysts.

CONCLUSIONS

The prevalence of cystic echinococcosis in Oman is unknown but appears rare. For optimal management of this disease, clinicians must become more aware of its diagnosis and management.

摘要

目的

囊性棘球蚴病是一种全球性人畜共患病,在包括中东一些国家在内的许多国家呈地方性流行。阿曼人类棘球蚴病的确切患病率尚不清楚。

方法

在获得伦理批准后,从马斯喀特苏丹卡布斯大学医院的医院电子记录中检索了2010年1月至2021年12月的数据。

结果

在12年期间,我们共诊治了9例包虫病病例;其中女性2例,男性7例。患者的中位年龄为31岁。4例患者有肺囊肿,4例有肝囊肿,1例患者既有肺囊肿又有肝囊肿。大多数患者来自达希利耶省。3例患者报告与动物有接触,2例否认,4例情况不明。3例肺囊肿患者使用了阿苯达唑,随后囊肿破裂,这反映出临床医生对肺包虫囊肿的最佳管理并不熟悉。

结论

阿曼囊性棘球蚴病的患病率尚不清楚,但似乎较为罕见。为了对这种疾病进行最佳管理,临床医生必须更加了解其诊断和管理方法。

https://cdn.ncbi.nlm.nih.gov/pmc/blobs/e404/10039982/b5a844749ecd/OMJ-38-02-2200747-f6.jpg
https://cdn.ncbi.nlm.nih.gov/pmc/blobs/e404/10039982/81cadf689f18/OMJ-38-02-2200747-f1.jpg
https://cdn.ncbi.nlm.nih.gov/pmc/blobs/e404/10039982/d8f7efb4c857/OMJ-38-02-2200747-f2.jpg
https://cdn.ncbi.nlm.nih.gov/pmc/blobs/e404/10039982/fcaeb77d6c1e/OMJ-38-02-2200747-f3.jpg
https://cdn.ncbi.nlm.nih.gov/pmc/blobs/e404/10039982/549be28b3718/OMJ-38-02-2200747-f4.jpg
https://cdn.ncbi.nlm.nih.gov/pmc/blobs/e404/10039982/d9a6ffce9797/OMJ-38-02-2200747-f5.jpg
https://cdn.ncbi.nlm.nih.gov/pmc/blobs/e404/10039982/b5a844749ecd/OMJ-38-02-2200747-f6.jpg
https://cdn.ncbi.nlm.nih.gov/pmc/blobs/e404/10039982/81cadf689f18/OMJ-38-02-2200747-f1.jpg
https://cdn.ncbi.nlm.nih.gov/pmc/blobs/e404/10039982/d8f7efb4c857/OMJ-38-02-2200747-f2.jpg
https://cdn.ncbi.nlm.nih.gov/pmc/blobs/e404/10039982/fcaeb77d6c1e/OMJ-38-02-2200747-f3.jpg
https://cdn.ncbi.nlm.nih.gov/pmc/blobs/e404/10039982/549be28b3718/OMJ-38-02-2200747-f4.jpg
https://cdn.ncbi.nlm.nih.gov/pmc/blobs/e404/10039982/d9a6ffce9797/OMJ-38-02-2200747-f5.jpg
https://cdn.ncbi.nlm.nih.gov/pmc/blobs/e404/10039982/b5a844749ecd/OMJ-38-02-2200747-f6.jpg

相似文献

1
Case Series of Cystic Echinococcosis Over a Twelve-year Period at Sultan Qaboos University Hospital, Oman.阿曼苏丹卡布斯大学医院12年期间囊性棘球蚴病病例系列
Oman Med J. 2023 Mar 31;38(2):e482. doi: 10.5001/omj.2023.61. eCollection 2023 Mar.
2
Clinical Presentations of Brucellosis Over a Four-Year Period at Sultan Qaboos University Hospital and Armed Forces Hospital, Muscat, Oman.在阿曼马斯喀特的苏丹卡布斯大学医院和武装部队医院,四年期间布鲁氏菌病的临床表现。
Sultan Qaboos Univ Med J. 2021 May;21(2):e282-e288. doi: 10.18295/squmj.2021.21.02.018. Epub 2021 Jun 21.
3
Continuous long-term albendazole therapy in intraabdominal cystic echinococcosis.阿苯达唑持续长期治疗腹腔囊性棘球蚴病。
Chin Med J (Engl). 2000 Sep;113(9):827-32.
4
Peritoneal Hydatid Cysts in Children: A Case Series of Rare Echinococcosis Localization.儿童腹膜包虫囊肿:罕见包虫病定位的病例系列。
Iran J Med Sci. 2021 Jan;46(1):68-72. doi: 10.30476/ijms.2020.82004.0.
5
[Acute rupture of hydatid cysts in the peritoneum: 17 cases].[腹膜包虫囊肿急性破裂:17例]
Presse Med. 2004 Mar 27;33(6):378-84. doi: 10.1016/s0755-4982(04)98600-9.
6
Unusual intramuscular locations as a first presentation of hydatid cyst disease in children: a report of two cases.儿童包虫病的首例表现为肌内异常部位:两例报告。
BMC Pediatr. 2021 Aug 31;21(1):371. doi: 10.1186/s12887-021-02843-5.
7
Hepatic cystic echinococcosis in Australia: an update on diagnosis and management.澳大利亚的肝囊性棘球蚴病:诊断与管理的最新进展
ANZ J Surg. 2018 Jan;88(1-2):26-31. doi: 10.1111/ans.14117. Epub 2017 Oct 11.
8
Multiple Hepatic and Renal Hydatid Cysts Managed with Laparoscopic Surgery.腹腔镜手术治疗多发性肝和肾包虫囊肿
Case Rep Surg. 2019 Dec 16;2019:6969232. doi: 10.1155/2019/6969232. eCollection 2019.
9
Uncommon Locations of Cystic Echinococcosis: A Report of 46 Cases from Southern Iran.囊性棘球蚴病的罕见部位:来自伊朗南部的46例报告
Surg Res Pract. 2020 Sep 18;2020:2061045. doi: 10.1155/2020/2061045. eCollection 2020.
10
Our experience in eight cases with urinary hydatid disease: a series of 372 cases held in nine different clinics.我们对8例泌尿生殖系统包虫病的经验:来自9个不同诊所的372例病例系列。
Int J Urol. 2006 Sep;13(9):1162-5. doi: 10.1111/j.1442-2042.2006.01482.x.

引用本文的文献

1
Computed Tomography (CT) Patterns of Hepatic Cystic Echinococcosis (CE) Cysts: A 19-Year Retrospective Study at a Tertiary Center in Sana'a, Yemen.肝囊性棘球蚴病(CE)囊肿的计算机断层扫描(CT)表现:也门萨那一家三级中心的19年回顾性研究
J Epidemiol Glob Health. 2025 Jun 13;15(1):85. doi: 10.1007/s44197-025-00429-3.
2
Delayed Diagnosis of Imported Cystic Echinococcosis and Successful Treatment With Percutaneous Drainage and Albendazole in Korea: A Case Report.韩国输入性囊型棘球蚴病的延迟诊断及经皮引流联合阿苯达唑成功治疗:一例报告
J Korean Med Sci. 2025 Feb 3;40(4):e88. doi: 10.3346/jkms.2025.40.e88.

本文引用的文献

1
Clinical Characteristics and Management of the Hydatid Cyst of the Liver: A Study from a Tertiary Care Center in Nepal.肝脏包虫囊肿的临床特征与管理:来自尼泊尔一家三级医疗中心的研究
J Parasitol Res. 2020 Sep 9;2020:8867744. doi: 10.1155/2020/8867744. eCollection 2020.
2
Epidemiological distribution of Echinococcus granulosus s.l. infection in human and domestic animal hosts in European Mediterranean and Balkan countries: A systematic review.欧洲地中海和巴尔干国家人类和家畜宿主中细粒棘球绦虫感染的流行病学分布:系统评价。
PLoS Negl Trop Dis. 2020 Aug 10;14(8):e0008519. doi: 10.1371/journal.pntd.0008519. eCollection 2020 Aug.
3
A 9-Year-Old Female With a Cough and Cavitary Lung Lesion.
一名患有咳嗽和肺部空洞性病变的9岁女性。
Clin Infect Dis. 2019 Aug 1;69(4):705-708. doi: 10.1093/cid/ciy769.
4
Epidemiology of echinococcosis in Iran: a systematic review and meta-analysis.伊朗包虫病的流行病学:系统评价和荟萃分析。
BMC Infect Dis. 2019 Nov 4;19(1):929. doi: 10.1186/s12879-019-4458-5.
5
A retrospective study of hydatid cysts in patients undergoing liver and lung surgery in Tehran, Iran.对伊朗德黑兰接受肝脏和肺部手术患者的包虫囊肿进行的一项回顾性研究。
Heliyon. 2019 Jun 11;5(6):e01897. doi: 10.1016/j.heliyon.2019.e01897. eCollection 2019 Jun.
6
Sero-epidemiology of cystic echinococcosis (Echinococcus granulosus) in the livestock of Oman.阿曼家畜中囊型棘球蚴病(细粒棘球绦虫)的血清流行病学
Vet Parasitol Reg Stud Reports. 2017 May;8:21-27. doi: 10.1016/j.vprsr.2017.01.004. Epub 2017 Jan 18.
7
Fatal Outcome of Ruptured Pulmonary Hydatid Cyst.肺包虫囊肿破裂的致命后果
Tanaffos. 2018 Feb;17(2):138-141.
8
Hepatic hydatid cyst - diagnose and treatment algorithm.肝包虫囊肿——诊断与治疗流程
J Med Life. 2018 Jul-Sep;11(3):203-209. doi: 10.25122/jml-2018-0045.
9
Adductor magnus muscle primary hydatid cyst rare unusual site: A case report.大收肌原发性包虫囊肿罕见的不寻常部位:一例报告
Int J Surg Case Rep. 2018;51:379-384. doi: 10.1016/j.ijscr.2018.09.026. Epub 2018 Sep 21.
10
The seroprevalence rate and population genetic structure of human cystic echinococcosis in the Middle East: A systematic review and meta-analysis.中东地区人类包虫病的血清流行率和种群遗传结构:系统评价和荟萃分析。
Int J Surg. 2018 Mar;51:39-48. doi: 10.1016/j.ijsu.2018.01.025. Epub 2018 Feb 3.