Diessler Mónica Elizabeth, Hernández Rocío, Gomez Castro Gimena, Barbeito Claudio Gustavo
Laboratorio de Histología y Embriología Descriptiva, Experimental y Comparada (LHYEDEC), Facultad de Ciencias Veterinarias, Universidad Nacional de La Plata (FCV, UNLP), La Plata, Argentina.
Consejo Nacional de Investigaciones Científicas y Técnicas (CONICET), FCV, UNLP, La Plata, Argentina.
Front Cell Dev Biol. 2023 Mar 16;11:1134874. doi: 10.3389/fcell.2023.1134874. eCollection 2023.
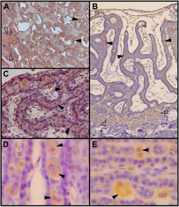
Decidualization is considered a distinctive feature of eutherian pregnancy, and has appeared during evolution along with the development of invasive forms of placentation, as the endotheliochorial placenta. Although decidualization is not massive in carnivores, as it is in most species developing hemochorial placentas, isolated or grouped cells regarded as decidual have been documented and characterized, mainly in bitches and queens. For the majority of the remaining species of the order, data in the bibliography are fragmentary. In this article, general morphological aspects of decidual stromal cells (DSCs), their time of appearance and lasting, data about the expression of cytoskeletal proteins and molecules considered as markers of decidualization were reviewed. From the data reviewed, it follows that carnivoran DSCs take part either in the secretion of progesterone, prostaglandins, relaxin, among other substances, or at least in the signaling pathways triggered by them. Beyond their physiological roles, some of those molecules are already being used, or are yet under study, for the non-invasive endocrine monitoring and reproductive control of domestic and wild carnivores. Only insulin-like growth factor binding protein 1, among the main decidual markers, has been undoubtedly demonstrated in both species. Laminin, on the contrary, was found only in feline DSCs, and prolactin was preliminary reported in dogs and cats. Prolactin receptor, on the other hand, was found in both species. While canine DSCs are the only placental cell type expressing the nuclear progesterone receptor (PGR), that receptor has not been demonstrated neither in feline DSCs, nor in any other cell in the queen placenta, although the use of PGR blockers leads to abortion. Against this background, and from the data gathered so far, it is unquestionable that DSCs in carnivorans do play a pivotal role in placental development and health. The knowledge about placental physiology is critical for medical care and breeding management, primarily in domestic carnivores; it is also absolutely crucial for a conservation approach in the management of endangered carnivore species.
蜕膜化被认为是真兽类妊娠的一个显著特征,并且在进化过程中随着侵袭性胎盘形式(如内皮绒毛膜胎盘)的发展而出现。尽管与大多数发育血绒毛膜胎盘的物种相比,食肉动物的蜕膜化并不显著,但已有文献记录并描述了被视为蜕膜的孤立或成组细胞,主要存在于母犬和母猫中。对于该目大多数其他物种而言,文献中的数据并不完整。在本文中,我们回顾了蜕膜基质细胞(DSCs)的一般形态学特征、其出现时间和持续时间,以及关于细胞骨架蛋白和被视为蜕膜化标志物的分子表达的数据。从所回顾的数据来看,食肉动物的DSCs要么参与孕酮、前列腺素、松弛素等物质的分泌,要么至少参与由它们触发的信号通路。除了其生理作用外,其中一些分子已经在用于,或仍在研究中用于家养和野生食肉动物的非侵入性内分泌监测和生殖控制。在主要的蜕膜标志物中,只有胰岛素样生长因子结合蛋白1在这两个物种中都得到了明确证实。相反,层粘连蛋白仅在猫科动物的DSCs中发现,催乳素在犬类和猫类中仅有初步报道。另一方面,催乳素受体在这两个物种中都有发现。虽然犬类DSCs是唯一表达核孕酮受体(PGR)的胎盘细胞类型,但该受体在猫科动物的DSCs或母猫胎盘中的任何其他细胞中均未得到证实,尽管使用PGR阻滞剂会导致流产。在此背景下,根据目前收集到的数据,毫无疑问,食肉动物的DSCs在胎盘发育和健康中确实起着关键作用。关于胎盘生理学的知识对于医疗护理和繁殖管理至关重要,主要针对家养食肉动物;对于濒危食肉动物物种管理中的保护方法也绝对至关重要。