Suppr超能文献

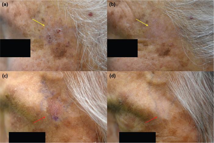
Controlled Single Freezing Cryotherapy for Mild Facial Actinic Keratosis.

作者信息

Ha Nam Gyoung, Lee Seon Hwa, Ha Dae-Lyong, Park Kyung Duck, Jang Yong Hyun, Lee Weon Ju, Lee Seok-Jong, Kim Jun Young

机构信息

Department of Dermatology, School of Medicine, Kyungpook National University, Daegu, South Korea.

Department of Dermatology, School of Medicine, Kyungpook National University, Kyungpook National University Hospital, Daegu, South Korea.

出版信息

Acta Derm Venereol. 2023 Apr 4;103:adv5313. doi: 10.2340/actadv.v103.5313.

Abstract
摘要
https://cdn.ncbi.nlm.nih.gov/pmc/blobs/8cbe/10108618/2f4a4b7b0682/ActaDV-103-5313-g001.jpg

文献检索

告别复杂PubMed语法,用中文像聊天一样搜索,搜遍4000万医学文献。AI智能推荐,让科研检索更轻松。

立即免费搜索

文件翻译

保留排版,准确专业,支持PDF/Word/PPT等文件格式,支持 12+语言互译。

免费翻译文档

深度研究

AI帮你快速写综述,25分钟生成高质量综述,智能提取关键信息,辅助科研写作。

立即免费体验