Suppr超能文献

虾青素通过调节NOD2/TLR4信号通路减轻新生儿坏死性小肠结肠炎大鼠的炎症反应

Astaxanthin Alleviates Inflammatory Response in Neonatal Necrotizing Enterocolitis Rats by Regulating NOD2/TLR4 Pathway.

作者信息

Zhang Xuandong, Luo Yujia, Gu Rui, Jiang Zhou

机构信息

Department of Neonatology, Run Run Shaw Hospital, Zhejiang University School of Medicine, Hangzhou, Zhejiang Province, China.

出版信息

Gastroenterol Res Pract. 2023 Mar 27;2023:6078308. doi: 10.1155/2023/6078308. eCollection 2023.

Abstract

BACKGROUND

Necrotizing enterocolitis (NEC) is often associated with exaggerated activation of inflammatory response. Astaxanthin has been shown in studies to have a positive and advantageous effect on anti-inflammatory response. Hence, it is of great significance to study the protective effect of astaxanthin in NEC disease and its molecular mechanism.

OBJECTIVE

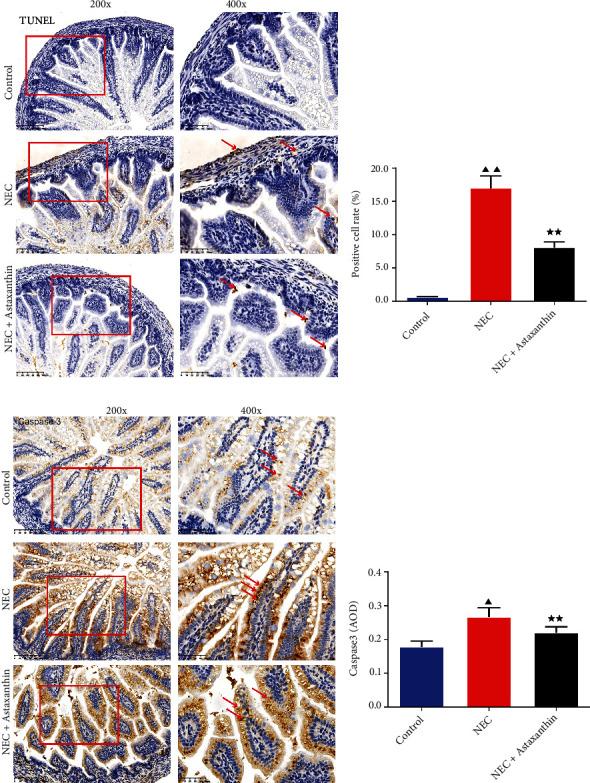
The present study was to investigate whether astaxanthin attenuates NEC rats and to explore its potential mechanism. Hematoxylin-eosin staining was used to observe the pathological change of the intestinal tissue in NEC rats. Subsequently, we determined the anti-oxidative stress, anti-apoptosis, and anti-inflammation in astaxanthin with enzyme-linked immunosorbent assay kits, TUNEL staining, western blot, and immunohistochemistry assay. Furthermore, we added nucleotide-binding oligomerization domain 2 (NOD2) inhibitor to certify the molecular pathway of the astaxanthin in NEC rats.

RESULTS

Astaxanthin improved the pathological changes of the intestinal tissues. It restrained inflammation, oxidative stress, and protected cells from apoptosis in the intestinal tissue and serum of the NEC rats. Moreover, astaxanthin enhanced NOD2, whereas it suppressed toll-like receptor 4 (TLR4), nuclear factor-B (NF-B) pathway-related proteins. Apart from that, the NOD2 inhibitor offset the protective effect of the astaxanthin towards the NEC rats.

CONCLUSION

The present study indicated that astaxanthin alleviated oxidative stress, inflammatory response, and apoptosis in NEC rats by enhancing NOD2 and inhibiting TLR4 pathway.

摘要

背景

坏死性小肠结肠炎(NEC)常与炎症反应的过度激活有关。研究表明虾青素在抗炎反应方面具有积极且有益的作用。因此,研究虾青素在NEC疾病中的保护作用及其分子机制具有重要意义。

目的

本研究旨在探讨虾青素是否能减轻NEC大鼠的病情,并探索其潜在机制。采用苏木精-伊红染色观察NEC大鼠肠道组织的病理变化。随后,我们使用酶联免疫吸附测定试剂盒、TUNEL染色、蛋白质印迹法和免疫组织化学分析法测定虾青素的抗氧化应激、抗凋亡和抗炎作用。此外,我们添加核苷酸结合寡聚化结构域2(NOD2)抑制剂以验证虾青素在NEC大鼠中的分子途径。

结果

虾青素改善了肠道组织的病理变化。它抑制了NEC大鼠肠道组织和血清中的炎症、氧化应激,并保护细胞免于凋亡。此外,虾青素增强了NOD2,而抑制了Toll样受体4(TLR4)、核因子-κB(NF-κB)途径相关蛋白。除此之外,NOD2抑制剂抵消了虾青素对NEC大鼠的保护作用。

结论

本研究表明,虾青素通过增强NOD2和抑制TLR4途径减轻了NEC大鼠的氧化应激、炎症反应和细胞凋亡。

https://cdn.ncbi.nlm.nih.gov/pmc/blobs/34e9/10070044/70136466466a/GRP2023-6078308.001.jpg

文献AI研究员

20分钟写一篇综述,助力文献阅读效率提升50倍。

立即体验

用中文搜PubMed

大模型驱动的PubMed中文搜索引擎

马上搜索

文档翻译

学术文献翻译模型,支持多种主流文档格式。

立即体验