• 文献检索
  • 文档翻译
  • 深度研究
  • 学术资讯
  • Suppr Zotero 插件Zotero 插件
  • 邀请有礼
  • 套餐&价格
  • 历史记录
应用&插件
Suppr Zotero 插件Zotero 插件浏览器插件Mac 客户端Windows 客户端微信小程序
定价
高级版会员购买积分包购买API积分包
服务
文献检索文档翻译深度研究API 文档MCP 服务
关于我们
关于 Suppr公司介绍联系我们用户协议隐私条款
关注我们

Suppr 超能文献

核心技术专利:CN118964589B侵权必究
粤ICP备2023148730 号-1Suppr @ 2026

文献检索

告别复杂PubMed语法,用中文像聊天一样搜索,搜遍4000万医学文献。AI智能推荐,让科研检索更轻松。

立即免费搜索

文件翻译

保留排版,准确专业,支持PDF/Word/PPT等文件格式,支持 12+语言互译。

免费翻译文档

深度研究

AI帮你快速写综述,25分钟生成高质量综述,智能提取关键信息,辅助科研写作。

立即免费体验

虾青素通过调节盲肠微生物多样性和 TLR4/MyD88/NF-B 信号通路缓解黄曲霉毒素 A 诱导的小鼠盲肠损伤和炎症。

Astaxanthin Alleviates Ochratoxin A-Induced Cecum Injury and Inflammation in Mice by Regulating the Diversity of Cecal Microbiota and TLR4/MyD88/NF-B Signaling Pathway.

机构信息

Key Laboratory of Zoonosis of Liaoning Province, College of Animal Science & Veterinary Medicine, Shenyang Agricultural University, Shenyang 110866, China.

出版信息

Oxid Med Cell Longev. 2021 Jan 5;2021:8894491. doi: 10.1155/2021/8894491. eCollection 2021.

DOI:10.1155/2021/8894491
PMID:33505592
原文链接:https://pmc.ncbi.nlm.nih.gov/articles/PMC7806395/
Abstract

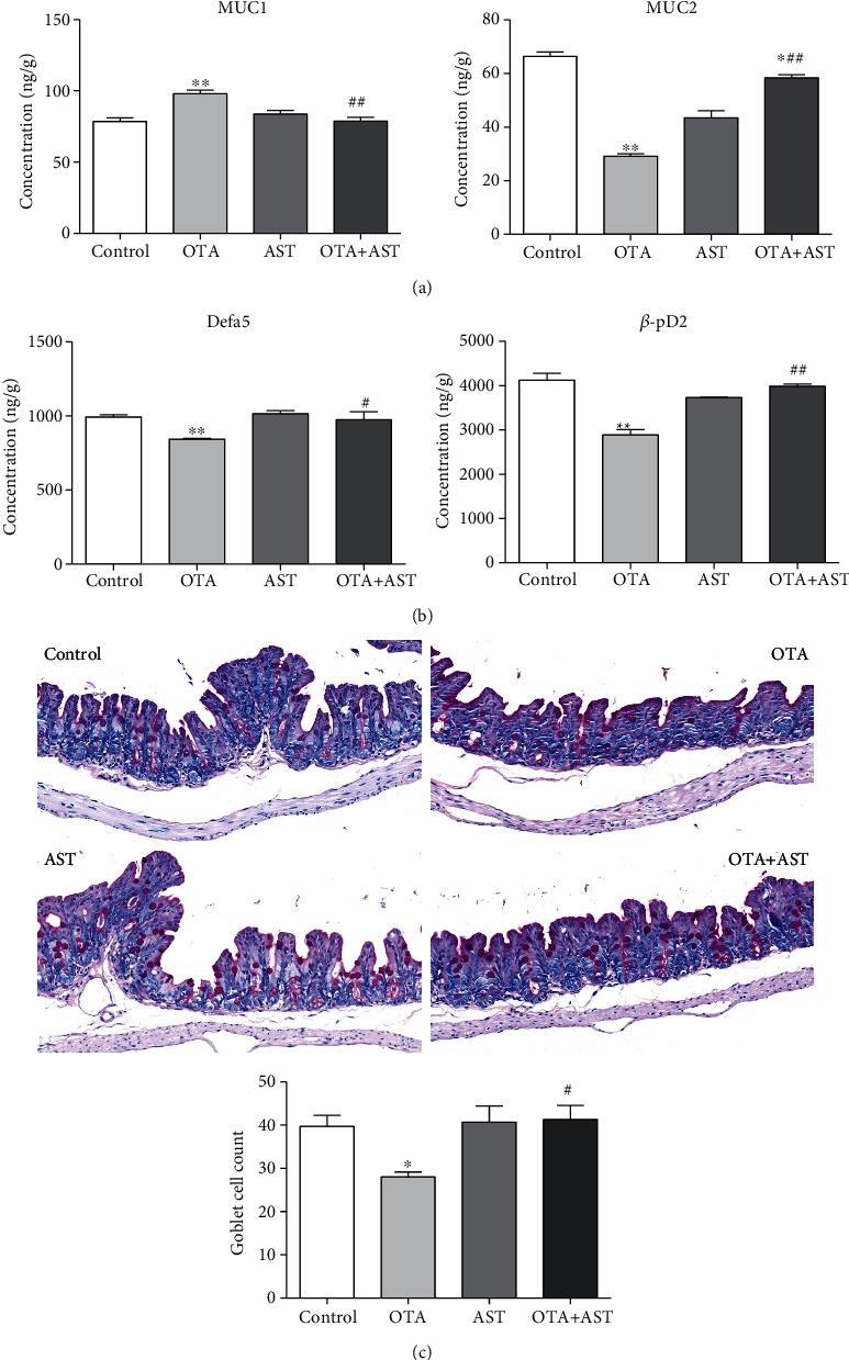
Ochratoxin A (OTA) is a common environmental pollutant found in a variety of foods and grains, and excessive OTA consumption causes serious global health effects on animals and humans. Astaxanthin (AST) is a natural carotenoid that has anti-inflammatory, antiapoptotic, immunomodulatory, antitumor, antidiabetes, and other biological activities. The present study is aimed at investigating the effects of AST on OTA-induced cecum injury and its mechanism of action. Eighty C57 mice were randomly divided into four groups, including the control group, OTA group (5 mg/kg body weight), AST group (100 mg/kg body weight), and AST intervention group (100 mg/kg body weight AST+5 mg/kg body weight OTA). It was found that AST decreased the endotoxin content, effectively prevented the shortening of mouse cecum villi, and increased the expression levels of tight junction (TJ) proteins, consisting of occludin, claudin-1, and zonula occludens-1 (ZO-1). AST increased the number of goblet cells, the contents of mucin-2 (MUC2), and defensins (Defa5 and -pD2) significantly, while the expression of mucin-1 (MUC1) decreased significantly. The 16S rRNA sequencing showed that AST affected the richness and diversity of cecum flora, decreased the proportion of lactobacillus, and also decreased the contents of short-chain fatty acids (SCFAs) (acetate and butyrate). In addition, AST significantly decreased the expression of TLR4, MyD88, and p-p65, while increasing the expression of p65. Meanwhile, the expression of inflammatory factors including TNF- and INF- decreased, while the expression of IL-10 increased. In conclusion, AST reduced OTA-induced cecum injury by regulating the cecum barrier function and TLR4/MyD88/NF-B signaling pathway.

摘要

赭曲霉毒素 A(OTA)是一种常见的环境污染物,存在于多种食物和谷物中,过量摄入 OTA 会对动物和人类的健康造成严重的全球性影响。虾青素(AST)是一种天然类胡萝卜素,具有抗炎、抗凋亡、免疫调节、抗肿瘤、抗糖尿病等多种生物学活性。本研究旨在探讨 AST 对 OTA 诱导的盲肠损伤的作用及其作用机制。将 80 只 C57 小鼠随机分为对照组、OTA 组(5mg/kg 体重)、AST 组(100mg/kg 体重)和 AST 干预组(100mg/kg 体重 AST+5mg/kg 体重 OTA)。结果发现,AST 降低了内毒素含量,有效防止了小鼠盲肠绒毛缩短,并增加了紧密连接(TJ)蛋白的表达水平,包括闭合蛋白、Claudin-1 和紧密连接蛋白-1(ZO-1)。AST 增加了杯状细胞的数量,显著增加了粘蛋白-2(MUC2)和防御素(Defa5 和 -pD2)的含量,而粘蛋白-1(MUC1)的表达显著降低。16S rRNA 测序结果显示,AST 影响盲肠菌群的丰富度和多样性,降低了乳酸杆菌的比例,同时降低了短链脂肪酸(SCFAs)(乙酸和丁酸)的含量。此外,AST 显著降低了 TLR4、MyD88 和 p-p65 的表达,同时增加了 p65 的表达。同时,TNF-α和 INF-等炎症因子的表达减少,而 IL-10 的表达增加。综上所述,AST 通过调节盲肠屏障功能和 TLR4/MyD88/NF-B 信号通路减轻 OTA 诱导的盲肠损伤。

https://cdn.ncbi.nlm.nih.gov/pmc/blobs/b79a/7806395/8433e4ad422b/OMCL2021-8894491.007.jpg
https://cdn.ncbi.nlm.nih.gov/pmc/blobs/b79a/7806395/de38e7a33fc3/OMCL2021-8894491.001.jpg
https://cdn.ncbi.nlm.nih.gov/pmc/blobs/b79a/7806395/667dbbe5b59c/OMCL2021-8894491.002.jpg
https://cdn.ncbi.nlm.nih.gov/pmc/blobs/b79a/7806395/42b608d97af9/OMCL2021-8894491.003.jpg
https://cdn.ncbi.nlm.nih.gov/pmc/blobs/b79a/7806395/4fb4944480e1/OMCL2021-8894491.004.jpg
https://cdn.ncbi.nlm.nih.gov/pmc/blobs/b79a/7806395/63c7b4a914c1/OMCL2021-8894491.005.jpg
https://cdn.ncbi.nlm.nih.gov/pmc/blobs/b79a/7806395/c6d5e982c911/OMCL2021-8894491.006.jpg
https://cdn.ncbi.nlm.nih.gov/pmc/blobs/b79a/7806395/8433e4ad422b/OMCL2021-8894491.007.jpg
https://cdn.ncbi.nlm.nih.gov/pmc/blobs/b79a/7806395/de38e7a33fc3/OMCL2021-8894491.001.jpg
https://cdn.ncbi.nlm.nih.gov/pmc/blobs/b79a/7806395/667dbbe5b59c/OMCL2021-8894491.002.jpg
https://cdn.ncbi.nlm.nih.gov/pmc/blobs/b79a/7806395/42b608d97af9/OMCL2021-8894491.003.jpg
https://cdn.ncbi.nlm.nih.gov/pmc/blobs/b79a/7806395/4fb4944480e1/OMCL2021-8894491.004.jpg
https://cdn.ncbi.nlm.nih.gov/pmc/blobs/b79a/7806395/63c7b4a914c1/OMCL2021-8894491.005.jpg
https://cdn.ncbi.nlm.nih.gov/pmc/blobs/b79a/7806395/c6d5e982c911/OMCL2021-8894491.006.jpg
https://cdn.ncbi.nlm.nih.gov/pmc/blobs/b79a/7806395/8433e4ad422b/OMCL2021-8894491.007.jpg

相似文献

1
Astaxanthin Alleviates Ochratoxin A-Induced Cecum Injury and Inflammation in Mice by Regulating the Diversity of Cecal Microbiota and TLR4/MyD88/NF-B Signaling Pathway.虾青素通过调节盲肠微生物多样性和 TLR4/MyD88/NF-B 信号通路缓解黄曲霉毒素 A 诱导的小鼠盲肠损伤和炎症。
Oxid Med Cell Longev. 2021 Jan 5;2021:8894491. doi: 10.1155/2021/8894491. eCollection 2021.
2
Astaxanthin Protects OTA-Induced Lung Injury in Mice through the Nrf2/NF-κB Pathway.虾青素通过Nrf2/NF-κB信号通路保护OTA诱导的小鼠肺损伤。
Toxins (Basel). 2019 Sep 17;11(9):540. doi: 10.3390/toxins11090540.
3
Selenium-enriched yeast reduces caecal pathological injuries and intervenes changes of the diversity of caecal microbiota caused by Ochratoxin-A in broilers.富硒酵母降低了肉仔鸡盲肠的病理损伤,并干预了赭曲霉毒素 A 引起的盲肠微生物多样性的变化。
Food Chem Toxicol. 2020 Mar;137:111139. doi: 10.1016/j.fct.2020.111139. Epub 2020 Jan 23.
4
Allicin Ameliorates Intestinal Barrier Damage via Microbiota-Regulated Short-Chain Fatty Acids-TLR4/MyD88/NF-κB Cascade Response in Acrylamide-Induced Rats.大蒜素通过菌群调节的短链脂肪酸-TLR4/MyD88/NF-κB 级联反应缓解丙烯酰胺诱导的大鼠肠道屏障损伤。
J Agric Food Chem. 2021 Nov 3;69(43):12837-12852. doi: 10.1021/acs.jafc.1c05014. Epub 2021 Oct 25.
5
Anti-Inflammatory Activity of Adenosine 5'-Trisphosphate in Lipopolysaccharide-Stimulated Human Umbilical Vein Endothelial Cells Through Negative Regulation of Toll-Like Receptor MyD88 Signaling.三磷酸腺苷通过负调控 Toll 样受体 MyD88 信号通路对脂多糖刺激的人脐静脉内皮细胞的抗炎活性。
DNA Cell Biol. 2019 Dec;38(12):1557-1563. doi: 10.1089/dna.2019.4773. Epub 2019 Oct 3.
6
Regulation of Gut Microflora by Zhang Attenuates Liver Injury in Mice Caused by Anti-Tuberculosis Drugs.Zhang 调节肠道微生物群可减轻抗结核药物所致的小鼠肝损伤。
Int J Mol Sci. 2023 May 29;24(11):9444. doi: 10.3390/ijms24119444.
7
Phycocyanin Ameliorates Radiation-Induced Acute Intestinal Toxicity by Regulating the Effect of the Gut Microbiota on the TLR4/Myd88/NF-κB Pathway.藻蓝蛋白通过调节肠道微生物群对 TLR4/Myd88/NF-κB 通路的影响来改善辐射诱导的急性肠道毒性。
JPEN J Parenter Enteral Nutr. 2020 Sep;44(7):1308-1317. doi: 10.1002/jpen.1744. Epub 2019 Nov 25.
8
MicroRNA-27a alleviates LPS-induced acute lung injury in mice via inhibiting inflammation and apoptosis through modulating TLR4/MyD88/NF-κB pathway.MicroRNA-27a 通过调节 TLR4/MyD88/NF-κB 通路抑制炎症和凋亡缓解 LPS 诱导的小鼠急性肺损伤。
Cell Cycle. 2018;17(16):2001-2018. doi: 10.1080/15384101.2018.1509635. Epub 2018 Sep 19.
9
Dioscin reduces lipopolysaccharide-induced inflammatory liver injury via regulating TLR4/MyD88 signal pathway.薯蓣皂苷通过调节TLR4/MyD88信号通路减轻脂多糖诱导的炎性肝损伤。
Int Immunopharmacol. 2016 Jul;36:132-141. doi: 10.1016/j.intimp.2016.04.023. Epub 2016 Apr 29.
10
Wumei pills attenuates 5-fluorouracil-induced intestinal mucositis through Toll-like receptor 4/myeloid differentiation factor 88/nuclear factor-κB pathway and microbiota regulation.乌梅丸通过 Toll 样受体 4/髓样分化因子 88/核因子-κB 通路和微生物群调节减轻 5-氟尿嘧啶诱导的肠道黏膜炎。
World J Gastroenterol. 2022 Aug 28;28(32):4574-4599. doi: 10.3748/wjg.v28.i32.4574.

引用本文的文献

1
Effects of an astaxanthin-containing supplement on oxidative status in skeletal muscle and circulation during deconditioning and reconditioning periods in polo ponies.含虾青素补充剂对马球用马在失健和恢复健期间骨骼肌及循环中氧化状态的影响。
Physiol Rep. 2025 Apr;13(8):e70346. doi: 10.14814/phy2.70346.
2
The effects of citral on the intestinal health and growth performance of American bullfrogs (Aquarana catesbeiana).柠檬醛对美国牛蛙(牛蛙)肠道健康和生长性能的影响。
BMC Vet Res. 2025 Feb 3;21(1):49. doi: 10.1186/s12917-025-04498-1.
3
Health effects of astaxanthin in the intestinal tract of yellow-feathered broilers.

本文引用的文献

1
Astaxanthin (ATX) enhances the intestinal mucosal functions in immunodeficient mice.虾青素(ATX)增强免疫缺陷小鼠的肠道黏膜功能。
Food Funct. 2020 Apr 1;11(4):3371-3381. doi: 10.1039/c9fo02555c. Epub 2020 Mar 31.
2
An engineering probiotic producing defensin-5 ameliorating dextran sodium sulfate-induced mice colitis via Inhibiting NF-kB pathway.一种通过抑制NF-κB途径产生防御素-5以改善葡聚糖硫酸钠诱导的小鼠结肠炎的工程益生菌。
J Transl Med. 2020 Mar 2;18(1):107. doi: 10.1186/s12967-020-02272-5.
3
Effect of sub-chronic exposure to selenium and astaxanthin on Channa argus: Bioaccumulation, oxidative stress and inflammatory response.
虾青素对黄羽肉鸡肠道健康的影响。
Poult Sci. 2025 Mar;104(3):104768. doi: 10.1016/j.psj.2025.104768. Epub 2025 Jan 3.
4
Carotenoids from Halophilic Archaea: A Novel Approach to Improve Egg Quality and Cecal Microbiota in Laying Hens.嗜盐古菌中的类胡萝卜素:改善蛋鸡产蛋质量和盲肠微生物群的新方法。
Animals (Basel). 2024 Dec 1;14(23):3470. doi: 10.3390/ani14233470.
5
Effects of nano-selenium on cecum microbial community and metabolomics in chickens challenged with Ochratoxin A.纳米硒对受赭曲霉毒素A攻击的鸡盲肠微生物群落和代谢组学的影响。
Front Vet Sci. 2023 Sep 5;10:1228360. doi: 10.3389/fvets.2023.1228360. eCollection 2023.
6
Combined Donepezil with Astaxanthin via Nanostructured Lipid Carriers Effective Delivery to Brain for Alzheimer's Disease in Rat Model.通过纳米结构脂质载体将多奈哌齐与虾青素联合递送至大鼠阿尔茨海默病模型的脑内。
Int J Nanomedicine. 2023 Jul 27;18:4193-4227. doi: 10.2147/IJN.S417928. eCollection 2023.
7
MiR-155-5p Elevated by Ochratoxin A Induces Intestinal Fibrosis and Epithelial-to-Mesenchymal Transition through TGF-β Regulated Signaling Pathway In Vitro and In Vivo.黄曲霉毒素 A 上调 miR-155-5p 通过 TGF-β 调控的信号通路诱导肠道纤维化和上皮间质转化:体内外研究。
Toxins (Basel). 2023 Jul 22;15(7):473. doi: 10.3390/toxins15070473.
8
Sources, dynamics in vivo, and application of astaxanthin and lutein in laying hens: A review.虾青素和叶黄素在蛋鸡体内的来源、动态变化及应用:综述
Anim Nutr. 2023 Mar 2;13:324-333. doi: 10.1016/j.aninu.2023.02.008. eCollection 2023 Jun.
9
Astaxanthin Alleviates Inflammatory Response in Neonatal Necrotizing Enterocolitis Rats by Regulating NOD2/TLR4 Pathway.虾青素通过调节NOD2/TLR4信号通路减轻新生儿坏死性小肠结肠炎大鼠的炎症反应
Gastroenterol Res Pract. 2023 Mar 27;2023:6078308. doi: 10.1155/2023/6078308. eCollection 2023.
10
Crosstalk between Mycotoxins and Intestinal Microbiota and the Alleviation Approach via Microorganisms.真菌毒素与肠道微生物群的相互作用及微生物缓解方法。
Toxins (Basel). 2022 Dec 6;14(12):859. doi: 10.3390/toxins14120859.
亚慢性暴露于硒和虾青素对乌鳢的影响:生物蓄积、氧化应激和炎症反应。
Chemosphere. 2020 Apr;244:125546. doi: 10.1016/j.chemosphere.2019.125546. Epub 2019 Dec 4.
4
Astragalus polysaccharides alleviates LPS-induced inflammation via the NF-κB/MAPK signaling pathway.黄芪多糖通过 NF-κB/MAPK 信号通路缓解 LPS 诱导的炎症。
J Cell Physiol. 2020 Jul;235(7-8):5525-5540. doi: 10.1002/jcp.29452. Epub 2020 Feb 9.
5
Red orange and lemon extract prevents the renal toxicity induced by ochratoxin A in rats.红橙和柠檬提取物可预防赭曲霉毒素 A 诱导的大鼠肾毒性。
J Cell Physiol. 2020 Jun;235(6):5386-5393. doi: 10.1002/jcp.29425. Epub 2020 Jan 3.
6
Ochratoxin A induces liver inflammation: involvement of intestinal microbiota.赭曲霉毒素 A 诱导肝脏炎症:涉及肠道微生物群。
Microbiome. 2019 Nov 28;7(1):151. doi: 10.1186/s40168-019-0761-z.
7
Efficacy of a Yeast Cell Wall Extract to Mitigate the Effect of Naturally Co-Occurring Mycotoxins Contaminating Feed Ingredients Fed to Young Pigs: Impact on Gut Health, Microbiome, and Growth.酵母细胞壁提取物对减轻饲料原料中天然共存霉菌毒素污染对仔猪的影响的功效:对肠道健康、微生物组和生长的影响。
Toxins (Basel). 2019 Oct 31;11(11):633. doi: 10.3390/toxins11110633.
8
Astaxanthin Protects OTA-Induced Lung Injury in Mice through the Nrf2/NF-κB Pathway.虾青素通过Nrf2/NF-κB信号通路保护OTA诱导的小鼠肺损伤。
Toxins (Basel). 2019 Sep 17;11(9):540. doi: 10.3390/toxins11090540.
9
An Experimental Approach to Rigorously Assess Paneth Cell α-Defensin (Defa) mRNA Expression in C57BL/6 Mice.一种严格评估 C57BL/6 小鼠潘氏细胞 α-防御素(Defa)mRNA 表达的实验方法。
Sci Rep. 2019 Sep 11;9(1):13115. doi: 10.1038/s41598-019-49471-9.
10
Dietary administration of resistant starch improved caecal barrier function by enhancing intestinal morphology and modulating microbiota composition in meat duck.日粮添加抗性淀粉通过改善肠道形态和调节肠道微生物组成来提高肉鸭盲肠屏障功能。
Br J Nutr. 2020 Jan 28;123(2):172-181. doi: 10.1017/S0007114519002319. Epub 2019 Nov 15.