• 文献检索
  • 文档翻译
  • 深度研究
  • 学术资讯
  • Suppr Zotero 插件Zotero 插件
  • 邀请有礼
  • 套餐&价格
  • 历史记录
应用&插件
Suppr Zotero 插件Zotero 插件浏览器插件Mac 客户端Windows 客户端微信小程序
定价
高级版会员购买积分包购买API积分包
服务
文献检索文档翻译深度研究API 文档MCP 服务
关于我们
关于 Suppr公司介绍联系我们用户协议隐私条款
关注我们

Suppr 超能文献

核心技术专利:CN118964589B侵权必究
粤ICP备2023148730 号-1Suppr @ 2026

文献检索

告别复杂PubMed语法,用中文像聊天一样搜索,搜遍4000万医学文献。AI智能推荐,让科研检索更轻松。

立即免费搜索

文件翻译

保留排版,准确专业,支持PDF/Word/PPT等文件格式,支持 12+语言互译。

免费翻译文档

深度研究

AI帮你快速写综述,25分钟生成高质量综述,智能提取关键信息,辅助科研写作。

立即免费体验

UAS 硫氧还蛋白样结构域的 UBXN7 调节 RNF111/Arkadia 的 E3 泛素连接酶活性。

The UAS thioredoxin-like domain of UBXN7 regulates E3 ubiquitin ligase activity of RNF111/Arkadia.

机构信息

Sorbonne Université, Inserm, Centre de Recherche Saint-Antoine, CRSA, 75012, Paris, France.

Cell Polarity, Migration and Cancer Unit, Institut Pasteur, UMR3691 CNRS, Université Paris Cité, F-75015, Paris, France.

出版信息

BMC Biol. 2023 Apr 7;21(1):73. doi: 10.1186/s12915-023-01576-4.

DOI:10.1186/s12915-023-01576-4
PMID:37024974
原文链接:https://pmc.ncbi.nlm.nih.gov/articles/PMC10080908/
Abstract

BACKGROUND

E3 ubiquitin ligases play critical roles in regulating cellular signaling pathways by inducing ubiquitylation of key components. RNF111/Arkadia is a RING E3 ubiquitin ligase that activates TGF-β signaling by inducing ubiquitylation and proteasomal degradation of the transcriptional repressor SKIL/SnoN. In this study, we have sought to identify novel regulators of the E3 ubiquitin ligase activity of RNF111 by searching for proteins that specifically interacts with its RING domain.

RESULTS

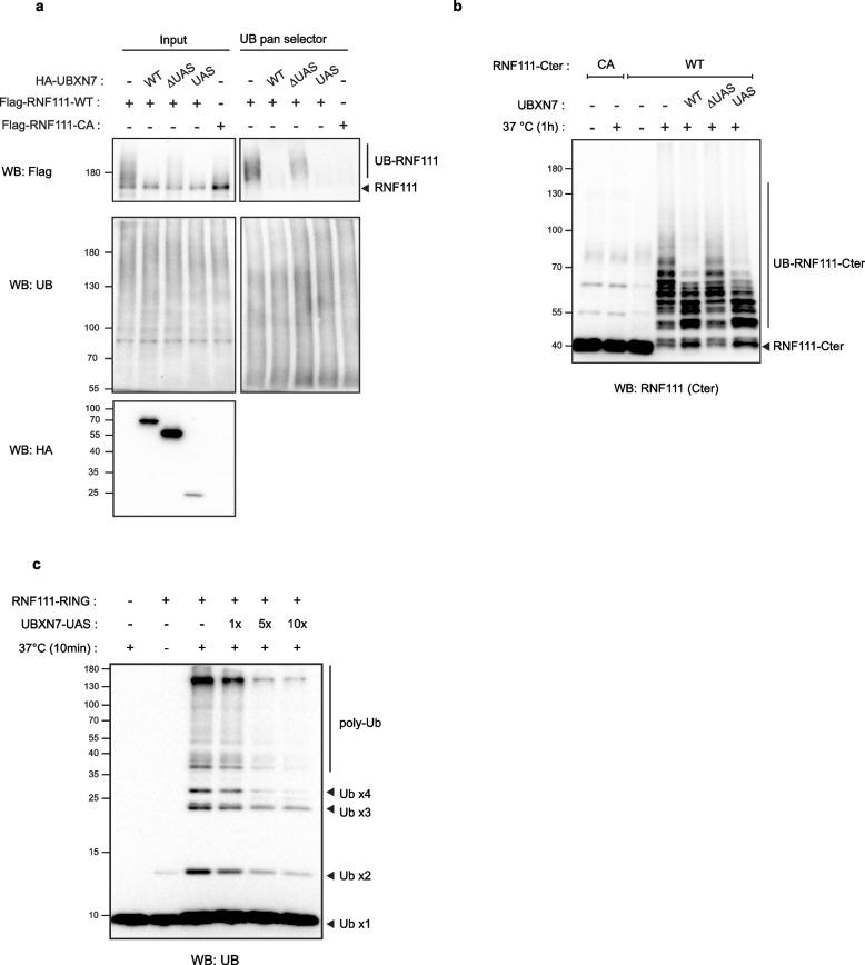
We found that UBXN7, a member of the UBA-UBX family, directly interacts with the RING domain of RNF111 or its related E3 RNF165/ARK2C that shares high sequence homology with RNF111. We showed that UBXN7 docks on RNF111 or RNF165 RING domain through its UAS thioredoxin-like domain. Overexpression of UBXN7 or its UAS domain increases endogenous RNF111, while an UBXN7 mutant devoid of UAS domain has no effect. Conversely, depletion of UBXN7 decreases RNF111 protein level. As a consequence, we found that UBXN7 can modulate degradation of the RNF111 substrate SKIL in response to TGF-β signaling. We further unveiled this mechanism of regulation by showing that docking of the UAS domain of UBXN7 inhibits RNF111 ubiquitylation by preventing interaction of the RING domain with the E2 conjugating enzymes. By analyzing the interactome of the UAS domain of UBXN7, we identified that it also interacts with the RING domain of the E3 TOPORS and similarly regulates its E3 ubiquitin ligase activity by impairing E2 binding.

CONCLUSIONS

Taken together, our results demonstrate that UBXN7 acts as a direct regulator for the E3 ubiquitin ligases RNF111, RNF165, and TOPORS and reveal that a thioredoxin-like domain can dock on specific RING domains to regulate their E3 ubiquitin ligase activity.

摘要

背景

E3 泛素连接酶通过诱导关键成分的泛素化,在调节细胞信号通路中起着关键作用。RNF111/Arkadia 是一种 RING E3 泛素连接酶,通过诱导转录抑制因子 SKIL/SnoN 的泛素化和蛋白酶体降解来激活 TGF-β 信号。在这项研究中,我们试图通过寻找与 RNF111 的 RING 结构域特异性相互作用的蛋白质来鉴定 RNF111 的 E3 泛素连接酶活性的新调节剂。

结果

我们发现 UBXN7,一种 UBA-UBX 家族的成员,直接与 RNF111 的 RING 结构域或与其具有高度序列同源性的相关 E3 RNF165/ARK2C 相互作用。我们表明,UBXN7 通过其 UAS 硫氧还蛋白样结构域与 RNF111 或 RNF165 RING 结构域对接。UBXN7 的过表达增加内源性 RNF111,而缺乏 UAS 结构域的 UBXN7 突变体则没有影响。相反,UBXN7 的耗尽会降低 RNF111 蛋白水平。因此,我们发现 UBXN7 可以调节 TGF-β 信号响应中 RNF111 底物 SKIL 的降解。我们通过表明 UBXN7 的 UAS 结构域的对接抑制了 RNF111 的泛素化,从而阻止了 RING 结构域与 E2 连接酶的相互作用,进一步揭示了这种调节机制。通过分析 UBXN7 的 UAS 结构域的互作组,我们发现它还与 E3 TOPORS 的 RING 结构域相互作用,并通过损害 E2 结合同样调节其 E3 泛素连接酶活性。

结论

总之,我们的结果表明 UBXN7 是 RNF111、RNF165 和 TOPORS 的 E3 泛素连接酶的直接调节剂,并揭示了一种硫氧还蛋白样结构域可以与特定的 RING 结构域对接,以调节它们的 E3 泛素连接酶活性。

https://cdn.ncbi.nlm.nih.gov/pmc/blobs/f8ef/10080908/3a01c8ebc42b/12915_2023_1576_Fig7_HTML.jpg
https://cdn.ncbi.nlm.nih.gov/pmc/blobs/f8ef/10080908/f74a6d10229b/12915_2023_1576_Fig1_HTML.jpg
https://cdn.ncbi.nlm.nih.gov/pmc/blobs/f8ef/10080908/0c29db653e01/12915_2023_1576_Fig2_HTML.jpg
https://cdn.ncbi.nlm.nih.gov/pmc/blobs/f8ef/10080908/b528c9dce2d0/12915_2023_1576_Fig3_HTML.jpg
https://cdn.ncbi.nlm.nih.gov/pmc/blobs/f8ef/10080908/b7b0bfe83069/12915_2023_1576_Fig4_HTML.jpg
https://cdn.ncbi.nlm.nih.gov/pmc/blobs/f8ef/10080908/a075794c2001/12915_2023_1576_Fig5_HTML.jpg
https://cdn.ncbi.nlm.nih.gov/pmc/blobs/f8ef/10080908/4a9b3a4b015a/12915_2023_1576_Fig6_HTML.jpg
https://cdn.ncbi.nlm.nih.gov/pmc/blobs/f8ef/10080908/3a01c8ebc42b/12915_2023_1576_Fig7_HTML.jpg
https://cdn.ncbi.nlm.nih.gov/pmc/blobs/f8ef/10080908/f74a6d10229b/12915_2023_1576_Fig1_HTML.jpg
https://cdn.ncbi.nlm.nih.gov/pmc/blobs/f8ef/10080908/0c29db653e01/12915_2023_1576_Fig2_HTML.jpg
https://cdn.ncbi.nlm.nih.gov/pmc/blobs/f8ef/10080908/b528c9dce2d0/12915_2023_1576_Fig3_HTML.jpg
https://cdn.ncbi.nlm.nih.gov/pmc/blobs/f8ef/10080908/b7b0bfe83069/12915_2023_1576_Fig4_HTML.jpg
https://cdn.ncbi.nlm.nih.gov/pmc/blobs/f8ef/10080908/a075794c2001/12915_2023_1576_Fig5_HTML.jpg
https://cdn.ncbi.nlm.nih.gov/pmc/blobs/f8ef/10080908/4a9b3a4b015a/12915_2023_1576_Fig6_HTML.jpg
https://cdn.ncbi.nlm.nih.gov/pmc/blobs/f8ef/10080908/3a01c8ebc42b/12915_2023_1576_Fig7_HTML.jpg

相似文献

1
The UAS thioredoxin-like domain of UBXN7 regulates E3 ubiquitin ligase activity of RNF111/Arkadia.UAS 硫氧还蛋白样结构域的 UBXN7 调节 RNF111/Arkadia 的 E3 泛素连接酶活性。
BMC Biol. 2023 Apr 7;21(1):73. doi: 10.1186/s12915-023-01576-4.
2
Quantitative Ubiquitylome Analysis Reveals the Specificity of RNF111/Arkadia E3 Ubiquitin Ligase for its Degradative Substrates SKI and SKIL/SnoN in TGF-β Signaling Pathway.定量泛素组学分析揭示了 RNF111/Arkadia E3 泛素连接酶对其在 TGF-β 信号通路中的降解底物 SKI 和 SKIL/SnoN 的特异性。
Mol Cell Proteomics. 2021;20:100173. doi: 10.1016/j.mcpro.2021.100173. Epub 2021 Nov 3.
3
UBXN7 docks on neddylated cullin complexes using its UIM motif and causes HIF1α accumulation.UBXN7 通过其 UIM 基序与 neddylated 泛素连接酶复合物结合,并导致 HIF1α 积累。
BMC Biol. 2012 Apr 26;10:36. doi: 10.1186/1741-7007-10-36.
4
A Residue Specific Insight into the Arkadia E3 Ubiquitin Ligase Activity and Conformational Plasticity.对Arkadia E3泛素连接酶活性和构象可塑性的残基特异性洞察。
J Mol Biol. 2017 Jul 21;429(15):2373-2386. doi: 10.1016/j.jmb.2017.06.012. Epub 2017 Jun 22.
5
RNF111/Arkadia is a SUMO-targeted ubiquitin ligase that facilitates the DNA damage response.RNF111/Arkadia 是一种 SUMO 靶向的泛素连接酶,可促进 DNA 损伤反应。
J Cell Biol. 2013 Jun 10;201(6):797-807. doi: 10.1083/jcb.201212075.
6
E2 Partner Tunes the Ubiquitylation Specificity of Arkadia E3 Ubiquitin Ligase.E2伴侣调节Arkadia E3泛素连接酶的泛素化特异性。
Cancers (Basel). 2023 Feb 7;15(4):1040. doi: 10.3390/cancers15041040.
7
The four and a half LIM-only protein 2 (FHL2) activates transforming growth factor β (TGF-β) signaling by regulating ubiquitination of the E3 ligase Arkadia.四半 LIM 蛋白 2(FHL2)通过调节 E3 连接酶 Arkadia 的泛素化来激活转化生长因子 β(TGF-β)信号。
J Biol Chem. 2013 Jan 18;288(3):1785-94. doi: 10.1074/jbc.M112.439760. Epub 2012 Dec 4.
8
NMR-based insights into the conformational and interaction properties of Arkadia RING-H2 E3 Ub ligase.基于 NMR 的 Arkadia RING-H2 E3 Ub 连接酶构象和相互作用特性的研究。
Proteins. 2012 May;80(5):1484-9. doi: 10.1002/prot.24048. Epub 2012 Mar 13.
9
Assessing the Direct Binding of Ark-Like E3 RING Ligases to Ubiquitin and Its Implication on Their Protein Interaction Network.评估 Ark 样 E3 RING 连接酶与泛素的直接结合及其对其蛋白质相互作用网络的影响。
Molecules. 2020 Oct 19;25(20):4787. doi: 10.3390/molecules25204787.
10
Arkadia activates Smad3/Smad4-dependent transcription by triggering signal-induced SnoN degradation.Arkadia通过触发信号诱导的SnoN降解来激活Smad3/Smad4依赖的转录。
Mol Cell Biol. 2007 Sep;27(17):6068-83. doi: 10.1128/MCB.00664-07. Epub 2007 Jun 25.

引用本文的文献

1
Preserving genome integrity: The vital role of SUMO-targeted ubiquitin ligases.维持基因组完整性:SUMO靶向泛素连接酶的重要作用。
Cell Insight. 2023 Oct 23;2(6):100128. doi: 10.1016/j.cellin.2023.100128. eCollection 2023 Dec.

本文引用的文献

1
Unveiling the Essential Role of Arkadia's Non-RING Elements in the Ubiquitination Process.揭示 Arkadia 的非 RING 元件在泛素化过程中的重要作用。
Int J Mol Sci. 2022 Sep 13;23(18):10585. doi: 10.3390/ijms231810585.
2
Ubiquitin and a charged loop regulate the ubiquitin E3 ligase activity of Ark2C.泛素和一个带电环调节 Ark2C 的泛素 E3 连接酶活性。
Nat Commun. 2022 Mar 4;13(1):1181. doi: 10.1038/s41467-022-28782-y.
3
Quantitative Ubiquitylome Analysis Reveals the Specificity of RNF111/Arkadia E3 Ubiquitin Ligase for its Degradative Substrates SKI and SKIL/SnoN in TGF-β Signaling Pathway.
定量泛素组学分析揭示了 RNF111/Arkadia E3 泛素连接酶对其在 TGF-β 信号通路中的降解底物 SKI 和 SKIL/SnoN 的特异性。
Mol Cell Proteomics. 2021;20:100173. doi: 10.1016/j.mcpro.2021.100173. Epub 2021 Nov 3.
4
RNF111-facilitated neddylation potentiates cGAS-mediated antiviral innate immune response.RNF111 介导的泛素化增强了 cGAS 介导的抗病毒先天免疫反应。
PLoS Pathog. 2021 Mar 15;17(3):e1009401. doi: 10.1371/journal.ppat.1009401. eCollection 2021 Mar.
5
Targeting the Ubiquitin Signaling Cascade in Tumor Microenvironment for Cancer Therapy.靶向肿瘤微环境中的泛素信号级联反应用于癌症治疗。
Int J Mol Sci. 2021 Jan 14;22(2):791. doi: 10.3390/ijms22020791.
6
UBXN7 cofactor of CRL3 and CRL2 ubiquitin ligase complexes mediates reciprocal regulation of NRF2 and HIF-1α proteins.UBXN7 作为 CRL3 和 CRL2 泛素连接酶复合物的辅因子,介导 NRF2 和 HIF-1α 蛋白的相互调节。
Biochim Biophys Acta Mol Cell Res. 2021 Apr;1868(4):118963. doi: 10.1016/j.bbamcr.2021.118963. Epub 2021 Jan 12.
7
TGFβ biology in cancer progression and immunotherapy.TGFβ 生物学在癌症进展和免疫治疗中的作用。
Nat Rev Clin Oncol. 2021 Jan;18(1):9-34. doi: 10.1038/s41571-020-0403-1. Epub 2020 Jul 24.
8
Ubiquitin transfer by a RING E3 ligase occurs from a closed E2~ubiquitin conformation.泛素由 RING E3 连接酶转移发生在 E2~泛素的封闭构象中。
Nat Commun. 2020 Jun 5;11(1):2846. doi: 10.1038/s41467-020-16666-y.
9
Mitochondrial MUL1 E3 ubiquitin ligase regulates Hypoxia Inducible Factor (HIF-1α) and metabolic reprogramming by modulating the UBXN7 cofactor protein.线粒体 MUL1 E3 泛素连接酶通过调节 UBXN7 共因子蛋白来调控缺氧诱导因子 (HIF-1α) 和代谢重编程。
Sci Rep. 2020 Jan 31;10(1):1609. doi: 10.1038/s41598-020-58484-8.
10
Transforming Growth Factor-β Signaling in Immunity and Cancer.转化生长因子-β 信号在免疫和癌症中的作用。
Immunity. 2019 Apr 16;50(4):924-940. doi: 10.1016/j.immuni.2019.03.024.