Holtgrewe Lydia M L, Dippel Harald, Weckauf Helgard, Linnemüller Stephan, Schuppert Frank
Department of Gastroenterology, Endocrinology, Diabetology and General Medicine, Klinikum Kassel, Kassel, Germany.
General Practitioner's Private Practice, Hessisch Lichtenau, Germany.
Case Rep Gastroenterol. 2023 Apr 6;17(1):178-184. doi: 10.1159/000529003. eCollection 2023 Jan-Dec.
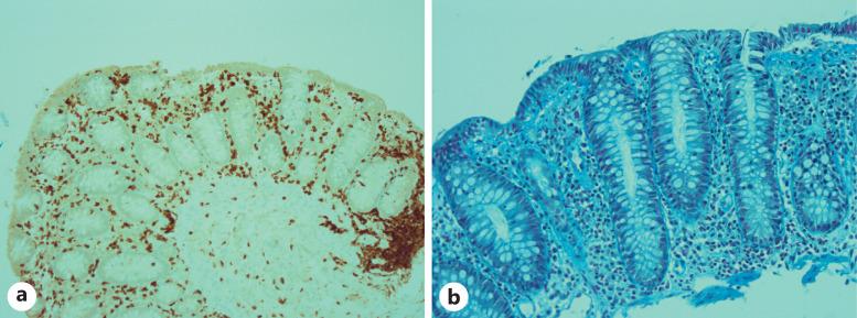
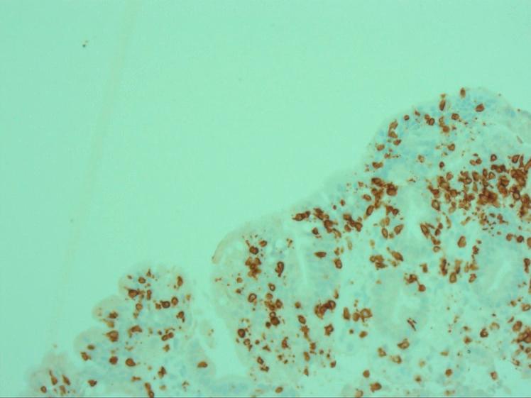
Sprue-like enteropathy (SLE) is a clinical syndrome similar to celiac disease and has been associated with the use of various angiotensin receptor blockers (ARBs), a class of medications frequently used in the management of hypertension. Currently, there has only been one documented case report which has observed this occurrence with the use of the ARB candesartan. A 90-year-old female patient presented with chronic diarrhea and weight loss of unclear etiology. Diagnostic esophagogastroduodenoscopy and ileocolonoscopy were macroscopically unremarkable, but histological samples revealed complete villous atrophy, chronic mucosal inflammation, and intraepithelial T-lymphocytic infiltration. However, serological studies could not confirm celiac disease as a cause for the patient's symptoms of malabsorption. After exclusion of other intestinal inflammation etiologies with noted ongoing candesartan use, the diagnosis of SLE was made, and candesartan therapy was discontinued. Additionally, we decided to initiate a lactose-free diet. Clinical remission was achieved without any recurrences. Candesartan is a commonly prescribed therapeutic agent in the treatment of hypertension. Our case underlines the importance of considering it as a potential cause for unexplained symptoms of malabsorption.
类口炎性腹泻(SLE)是一种类似于乳糜泻的临床综合征,与多种血管紧张素受体阻滞剂(ARB)的使用有关,ARB是一类常用于治疗高血压的药物。目前,仅有一份病例报告记录了使用ARB坎地沙坦时出现这种情况。一名90岁女性患者出现病因不明的慢性腹泻和体重减轻。诊断性食管胃十二指肠镜检查和回结肠镜检查在宏观上无异常,但组织学样本显示完全绒毛萎缩、慢性黏膜炎症和上皮内T淋巴细胞浸润。然而,血清学研究无法证实乳糜泻是该患者吸收不良症状的病因。在排除其他肠道炎症病因并注意到患者持续使用坎地沙坦后,诊断为SLE,并停用了坎地沙坦治疗。此外,我们决定开始无乳糖饮食。临床症状缓解且未复发。坎地沙坦是治疗高血压常用的治疗药物。我们的病例强调了将其视为吸收不良不明原因症状潜在病因的重要性。