• 文献检索
  • 文档翻译
  • 深度研究
  • 学术资讯
  • Suppr Zotero 插件Zotero 插件
  • 邀请有礼
  • 套餐&价格
  • 历史记录
应用&插件
Suppr Zotero 插件Zotero 插件浏览器插件Mac 客户端Windows 客户端微信小程序
定价
高级版会员购买积分包购买API积分包
服务
文献检索文档翻译深度研究API 文档MCP 服务
关于我们
关于 Suppr公司介绍联系我们用户协议隐私条款
关注我们

Suppr 超能文献

核心技术专利:CN118964589B侵权必究
粤ICP备2023148730 号-1Suppr @ 2026

文献检索

告别复杂PubMed语法,用中文像聊天一样搜索,搜遍4000万医学文献。AI智能推荐,让科研检索更轻松。

立即免费搜索

文件翻译

保留排版,准确专业,支持PDF/Word/PPT等文件格式,支持 12+语言互译。

免费翻译文档

深度研究

AI帮你快速写综述,25分钟生成高质量综述,智能提取关键信息,辅助科研写作。

立即免费体验

睾丸精子抽吸大鼠模型中抗精子抗体的治疗方法。

Therapeutic approaches for anti-sperm-antibodies in the testicular sperm aspiration rat model.

作者信息

Zaki Abdel-Kader A, Aldahmashi Fahad S, Madboli Abd El-Nasser A, Attia Kamal A, Almulhim Fahad S, Albarrak Saleh M

机构信息

Department of Veterinary Medicine, College of Agriculture and Veterinary Medicine, Qassim University, Buraydah, Saudi Arabia.

Department of Physiology, Faculty of Veterinary Medicine, Cairo University, Giza, Egypt.

出版信息

Vet World. 2023 Feb;16(2):296-308. doi: 10.14202/vetworld.2023.296-308. Epub 2023 Feb 15.

DOI:10.14202/vetworld.2023.296-308
PMID:37042009
原文链接:https://pmc.ncbi.nlm.nih.gov/articles/PMC10082712/
Abstract

BACKGROUND AND AIM

Anti-sperm antibodies (ASAs) treatment continued to be neglected. This study aimed to generate ASAs using the testicular sperm aspiration (TSA) rat model, which allowed for investigation of four distinct therapeutic approaches to find potential treatments for ASAs.

MATERIALS AND METHODS

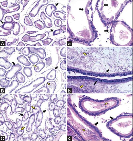
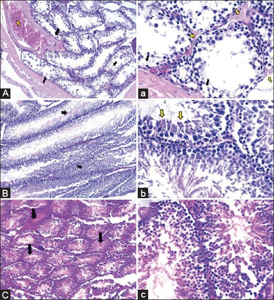
Adult Wistar albino male rats were divided into six equal groups (n = 12). The negative control group underwent scrotal sac surgery without having their testicles punctured. Punctures were made in the remaining 5 groups, with one group left untreated to serve as the positive control group. The remaining 4 groups were treated with either dexamethasone (DEX), azathioprine (AZA), frankincense, or anti-ASAs secondary antibodies. For 10 weeks, serum samples were collected every 2 weeks for specific quantification of ASAs. Testis and epididymis tissues were collected for histopathological analysis.

RESULTS

The ASAs concentrations of the positive controls were significantly higher (p ≤ 0.001) than their negative control counterparts during the examined weeks. However, The ASAs indices (%) differed according to the treatment type. While the ASAs indices at the 2 and 4 weeks in the AZA-treated group were significantly reduced compared to the positive control group (p ≤ 0.001), no significant differences were observed at any of the sample collection week for the DEX-treated rats. The ASAs indices were significantly decreased only at weeks 6 and 8 of treatment in the frankincense-treated group (p ≤ 0.001). In the secondary antibodies-treated group, the antibody indices were significantly decreased in all weeks except for samples collected at week 4 (p ≤ 0.001). The testosterone levels reverted to normal only in TSA rats treated with either Frankincense or secondary antibodies, as they were significantly higher than the positive controls (p ≤ 0.05). Tissue samples from the secondary antibody-treated rats showed a generally normal histological appearance.

CONCLUSION

This study tried to offer realistic therapy suggestions; however, caution should be applied when extrapolating findings from experimental models to meet clinical requirements.

摘要

背景与目的

抗精子抗体(ASAs)的治疗一直未得到重视。本研究旨在利用睾丸精子抽吸术(TSA)大鼠模型产生ASAs,以便研究四种不同的治疗方法,寻找ASAs的潜在治疗方案。

材料与方法

将成年Wistar白化雄性大鼠分为六个相等的组(n = 12)。阴性对照组接受阴囊手术,但不穿刺睾丸。其余5组进行穿刺,其中一组不进行治疗作为阳性对照组。其余4组分别用 dexamethasone(DEX)、硫唑嘌呤(AZA)、乳香或抗ASAs二抗进行治疗。在10周内,每2周采集一次血清样本,用于ASAs的特异性定量分析。收集睾丸和附睾组织进行组织病理学分析。

结果

在检查的几周内,阳性对照组的ASAs浓度显著高于阴性对照组(p≤0.001)。然而,ASAs指数(%)因治疗类型而异。与阳性对照组相比,AZA治疗组在第2周和第4周的ASAs指数显著降低(p≤0.001),而DEX治疗的大鼠在任何样本采集周均未观察到显著差异。乳香治疗组仅在治疗的第6周和第8周ASAs指数显著降低(p≤0.001)。在二抗治疗组中,除第4周采集的样本外,所有周的抗体指数均显著降低(p≤0.001)。仅在接受乳香或二抗治疗的TSA大鼠中,睾酮水平恢复正常,因为它们显著高于阳性对照组(p≤0.05)。二抗治疗大鼠的组织样本显示组织学外观总体正常。

结论

本研究试图提供切实可行的治疗建议;然而,将实验模型的研究结果外推以满足临床需求时应谨慎。

https://cdn.ncbi.nlm.nih.gov/pmc/blobs/82b9/10082712/c3b8724cf167/Vetworld-16-296-g008.jpg
https://cdn.ncbi.nlm.nih.gov/pmc/blobs/82b9/10082712/ae83065e0b8b/Vetworld-16-296-g001.jpg
https://cdn.ncbi.nlm.nih.gov/pmc/blobs/82b9/10082712/d83492a5799a/Vetworld-16-296-g002.jpg
https://cdn.ncbi.nlm.nih.gov/pmc/blobs/82b9/10082712/ad5433b6147d/Vetworld-16-296-g003.jpg
https://cdn.ncbi.nlm.nih.gov/pmc/blobs/82b9/10082712/e9972101329f/Vetworld-16-296-g004.jpg
https://cdn.ncbi.nlm.nih.gov/pmc/blobs/82b9/10082712/701410042641/Vetworld-16-296-g005.jpg
https://cdn.ncbi.nlm.nih.gov/pmc/blobs/82b9/10082712/11b41bc16e9a/Vetworld-16-296-g006.jpg
https://cdn.ncbi.nlm.nih.gov/pmc/blobs/82b9/10082712/9086716c3729/Vetworld-16-296-g007.jpg
https://cdn.ncbi.nlm.nih.gov/pmc/blobs/82b9/10082712/c3b8724cf167/Vetworld-16-296-g008.jpg
https://cdn.ncbi.nlm.nih.gov/pmc/blobs/82b9/10082712/ae83065e0b8b/Vetworld-16-296-g001.jpg
https://cdn.ncbi.nlm.nih.gov/pmc/blobs/82b9/10082712/d83492a5799a/Vetworld-16-296-g002.jpg
https://cdn.ncbi.nlm.nih.gov/pmc/blobs/82b9/10082712/ad5433b6147d/Vetworld-16-296-g003.jpg
https://cdn.ncbi.nlm.nih.gov/pmc/blobs/82b9/10082712/e9972101329f/Vetworld-16-296-g004.jpg
https://cdn.ncbi.nlm.nih.gov/pmc/blobs/82b9/10082712/701410042641/Vetworld-16-296-g005.jpg
https://cdn.ncbi.nlm.nih.gov/pmc/blobs/82b9/10082712/11b41bc16e9a/Vetworld-16-296-g006.jpg
https://cdn.ncbi.nlm.nih.gov/pmc/blobs/82b9/10082712/9086716c3729/Vetworld-16-296-g007.jpg
https://cdn.ncbi.nlm.nih.gov/pmc/blobs/82b9/10082712/c3b8724cf167/Vetworld-16-296-g008.jpg

相似文献

1
Therapeutic approaches for anti-sperm-antibodies in the testicular sperm aspiration rat model.睾丸精子抽吸大鼠模型中抗精子抗体的治疗方法。
Vet World. 2023 Feb;16(2):296-308. doi: 10.14202/vetworld.2023.296-308. Epub 2023 Feb 15.
2
NTP technical report on the toxicity studies of Dibutyl Phthalate (CAS No. 84-74-2) Administered in Feed to F344/N Rats and B6C3F1 Mice.美国国家毒理学计划关于邻苯二甲酸二丁酯(化学物质登记号84 - 74 - 2)经饲料给予F344/N大鼠和B6C3F1小鼠的毒性研究技术报告。
Toxic Rep Ser. 1995 Apr;30:1-G5.
3
Impact of sperm retrieval [corrected] on testis and epididymis: an experimental study using Wistar albino rats.精子获取对睾丸和附睾的影响:使用 Wistar 白化大鼠的实验研究。 ([corrected] 为编辑备注,原文中单词“retrieval”拼写错误,应改为“retrieve”。)
Syst Biol Reprod Med. 2013 Oct;59(5):261-9. doi: 10.3109/19396368.2013.809173. Epub 2013 Jun 13.
4
The influence of antisperm antibodies, intratesticular haemodynamics and the surgical approach to varicocelectomy on seminal variables.抗精子抗体、睾丸内血流动力学以及精索静脉曲张切除术的手术方式对精液参数的影响。
Arab J Urol. 2014 Dec;12(4):309-17. doi: 10.1016/j.aju.2014.07.001. Epub 2014 Aug 7.
5
The sequential appearance of sperm abnormalities after scrotal insulation or dexamethasone treatment in bulls.公牛阴囊隔热或地塞米松处理后精子异常的相继出现。
Can Vet J. 1994 Feb;35(2):93-102.
6
Neonatal outcome and congenital malformations in children born after ICSI with testicular or epididymal sperm: a controlled national cohort study.经 ICSI 授精出生的睾丸或附睾精子后代的新生儿结局和先天性畸形:一项全国对照队列研究。
Hum Reprod. 2013 Jan;28(1):230-40. doi: 10.1093/humrep/des377. Epub 2012 Nov 15.
7
Anti-sperm antibodies and seminal characteristics after testicular biopsy or epididymal aspiration in dogs.犬睾丸活检或附睾抽吸术后的抗精子抗体与精液特征
Theriogenology. 2000 Apr 1;53(6):1355-63. doi: 10.1016/S0093-691X(00)00278-8.
8
Epididymal sperm motion as a parameter of male reproductive toxicity: sperm motion, fertility, and histopathology in ethinylestradiol-treated rats.附睾精子运动作为雄性生殖毒性的一个参数:炔雌醇处理大鼠的精子运动、生育力和组织病理学
Reprod Toxicol. 1999 Jul-Aug;13(4):279-89. doi: 10.1016/s0890-6238(99)00021-0.
9
[Shenjing Guben Pills for repairing testicular spermatogenic injury induced by oxidative stress in rats].[参精固本丸对修复大鼠氧化应激诱导的睾丸生精损伤的作用]
Zhonghua Nan Ke Xue. 2019 Dec;25(12):1118-1125.
10
Impact of testicular sperm extraction and testicular sperm aspiration on gonadal function in an experimental rat model.实验性大鼠模型中睾丸精子提取和睾丸精子抽吸对性腺功能的影响。
Int Braz J Urol. 2018 Jan-Feb;44(1):172-179. doi: 10.1590/S1677-5538.IBJU.2016.0652.

本文引用的文献

1
Antisperm Antibody Testing: A Comprehensive Review of Its Role in the Management of Immunological Male Infertility and Results of a Global Survey of Clinical Practices.抗精子抗体检测:对其在免疫性男性不育管理中的作用及全球临床实践调查结果的全面综述
World J Mens Health. 2022 Jul;40(3):380-398. doi: 10.5534/wjmh.210164. Epub 2022 Jan 1.
2
Immunomodulatory potential of anti-idiotypic antibodies for the treatment of autoimmune diseases.抗独特型抗体治疗自身免疫性疾病的免疫调节潜力。
Future Sci OA. 2020 Oct 29;7(2):FSO648. doi: 10.2144/fsoa-2020-0142.
3
Azathioprine: its uses in dermatology.
硫唑嘌呤:其在皮肤科的应用。
An Bras Dermatol. 2020 Nov-Dec;95(6):731-736. doi: 10.1016/j.abd.2020.05.003. Epub 2020 Sep 11.
4
Biased anti-idiotype response in rabbits leads to high-affinity monoclonal antibodies to biologics.兔体内的偏倚性抗独特型反应导致针对生物制剂的高亲和力单克隆抗体。
MAbs. 2020 Jan-Dec;12(1):1814661. doi: 10.1080/19420862.2020.1814661.
5
Anti-Idiotypic Agonistic Antibodies: Candidates for the Role of Universal Remedy.抗独特型激动性抗体:通用治疗药物的候选者
Antibodies (Basel). 2020 May 28;9(2):19. doi: 10.3390/antib9020019.
6
Anti-inflammatory and anti-cancer activities of frankincense: Targets, treatments and toxicities.乳香的抗炎和抗癌活性:靶点、治疗方法和毒性。
Semin Cancer Biol. 2022 May;80:39-57. doi: 10.1016/j.semcancer.2020.01.015. Epub 2020 Feb 4.
7
The detection of canine anti-sperm antibody following parenteral immunization of bitches against homogenized whole sperm.对母犬进行经肠外免疫接种全精子匀浆后犬抗精子抗体的检测。
Basic Clin Androl. 2020 Jan 23;30:1. doi: 10.1186/s12610-020-0100-z. eCollection 2020.
8
Role of Antisperm Antibodies in Infertility, Pregnancy, and Potential forContraceptive and Antifertility Vaccine Designs: Research Progress and Pioneering Vision.抗精子抗体在不孕、妊娠以及避孕和抗生育疫苗设计潜力中的作用:研究进展与开拓性展望
Vaccines (Basel). 2019 Sep 16;7(3):116. doi: 10.3390/vaccines7030116.
9
A nearly fatal primary Epstein-Barr virus infection associated with low NK-cell counts in a patient receiving azathioprine: a case report and review of literature.一例接受硫唑嘌呤治疗的患者出现致命性原发性 EBV 感染伴 NK 细胞计数低:病例报告及文献复习。
BMC Infect Dis. 2019 May 10;19(1):404. doi: 10.1186/s12879-019-4022-3.
10
Success rates of fertilization versus intracytoplasmic sperm injection in men with serum anti-sperm antibodies: a consecutive cohort study.抗精子抗体血清阳性男性患者行体外受精与卵胞浆内单精子注射的受精结局:一项连续队列研究。
Asian J Androl. 2019 Sep-Oct;21(5):473-477. doi: 10.4103/aja.aja_124_18.