The Ronald O. Perelman Department of Dermatology and Department of Cell Biology, New York University Grossman School of Medicine, New York, NY, USA.
Division of Advanced Research Technologies, New York University Grossman School of Medicine, New York, NY, USA.
Nature. 2023 Apr;616(7958):774-782. doi: 10.1038/s41586-023-05960-6. Epub 2023 Apr 19.
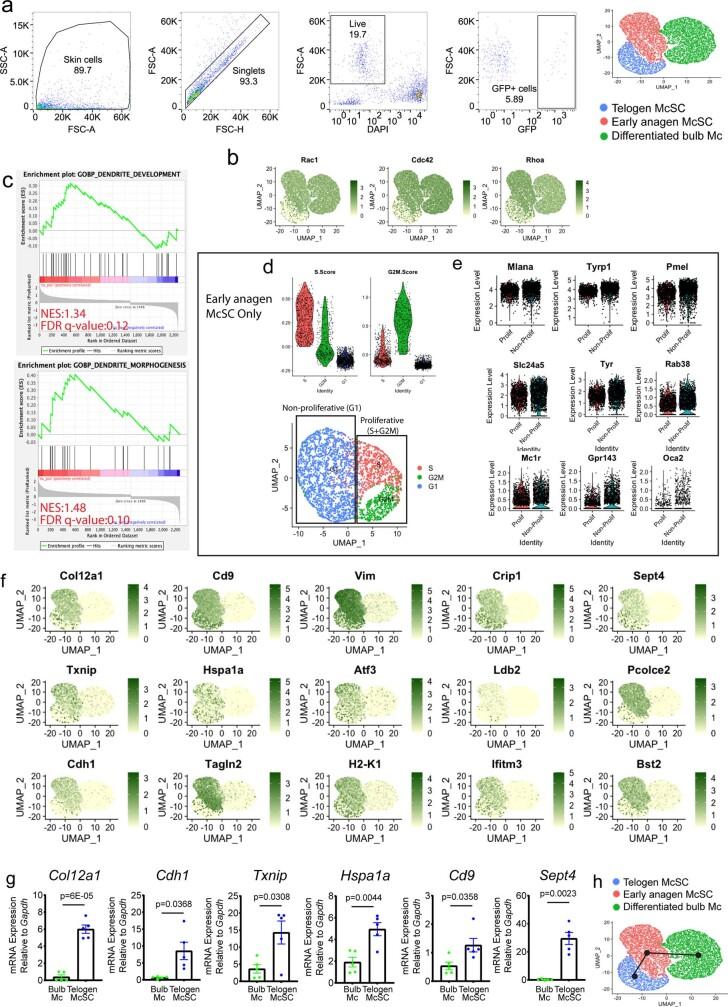
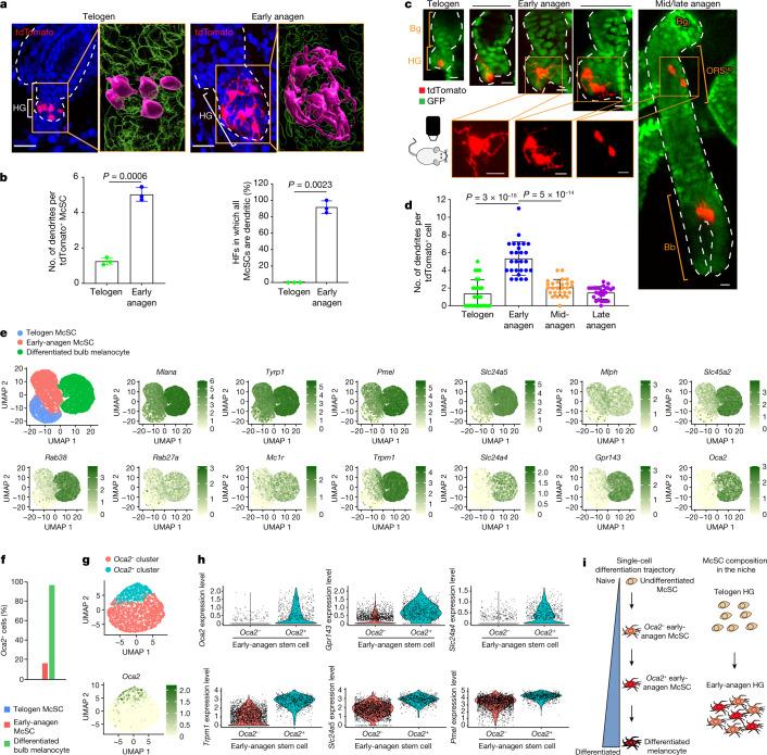
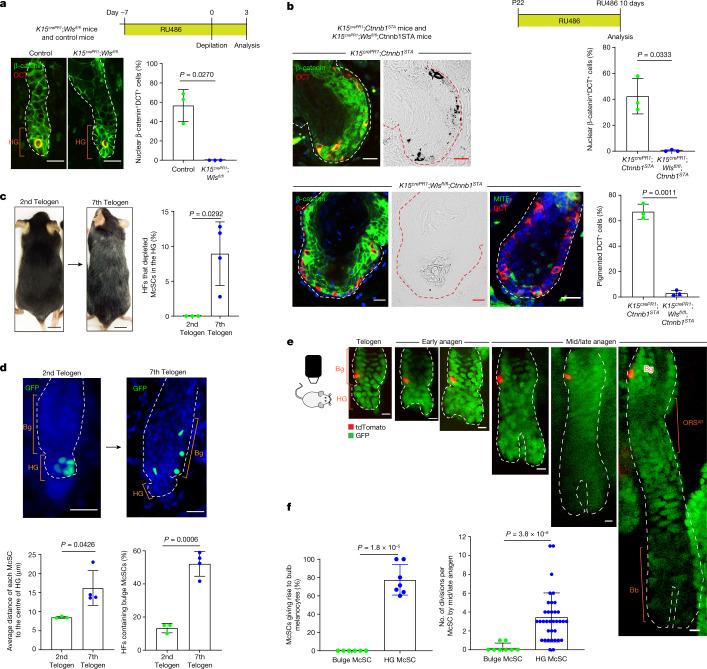
For unknow reasons, the melanocyte stem cell (McSC) system fails earlier than other adult stem cell populations, which leads to hair greying in most humans and mice. Current dogma states that McSCs are reserved in an undifferentiated state in the hair follicle niche, physically segregated from differentiated progeny that migrate away following cues of regenerative stimuli. Here we show that most McSCs toggle between transit-amplifying and stem cell states for both self-renewal and generation of mature progeny, a mechanism fundamentally distinct from those of other self-renewing systems. Live imaging and single-cell RNA sequencing revealed that McSCs are mobile, translocating between hair follicle stem cell and transit-amplifying compartments where they reversibly enter distinct differentiation states governed by local microenvironmental cues (for example, WNT). Long-term lineage tracing demonstrated that the McSC system is maintained by reverted McSCs rather than by reserved stem cells inherently exempt from reversible changes. During ageing, there is accumulation of stranded McSCs that do not contribute to the regeneration of melanocyte progeny. These results identify a new model whereby dedifferentiation is integral to homeostatic stem cell maintenance and suggest that modulating McSC mobility may represent a new approach for the prevention of hair greying.
由于未知原因,黑素细胞干细胞(McSC)系统比其他成人干细胞更早衰竭,这导致大多数人类和小鼠的头发变白。目前的观点认为,McSCs 在毛囊龛中处于未分化状态,与分化后的后代物理隔离,后者在再生刺激的信号下迁移。在这里,我们表明,大多数 McSCs 为了自我更新和产生成熟后代,在过渡扩增和干细胞状态之间来回切换,这种机制与其他自我更新系统的机制有根本的不同。活细胞成像和单细胞 RNA 测序显示,McSCs 是可移动的,在毛囊干细胞和过渡扩增隔室之间迁移,在那里它们可逆地进入由局部微环境信号(例如 WNT)控制的不同分化状态。长期谱系追踪表明,McSC 系统是由逆转的 McSCs 维持的,而不是由固有地免受可逆变化的保留干细胞维持的。在衰老过程中,会积累无法为黑素细胞后代再生做出贡献的停滞 McSCs。这些结果确定了一个新的模型,其中去分化是维持体内平衡干细胞所必需的,并表明调节 McSC 的迁移能力可能代表预防头发变白的一种新方法。