Suppr超能文献

Septin11 通过激活 RhoA 调节细胞骨架和细胞黏附促进肝癌细胞迁移。

Septin11 promotes hepatocellular carcinoma cell motility by activating RhoA to regulate cytoskeleton and cell adhesion.

机构信息

Department of Biochemistry and Molecular Biology, School of Basic Medical Sciences, and Department of Cardiology of Huadong Hospital Affiliated to Fudan University, Fudan University, 200032, Shanghai, People's Republic of China.

Key Laboratory of Medical Molecular Virology (MOE/NHC/CAMS), Microbiology and Parasitology, School of Basic Medical Sciences, Shanghai Medical College, Fudan University, 200032, Shanghai, People's Republic of China.

出版信息

Cell Death Dis. 2023 Apr 20;14(4):280. doi: 10.1038/s41419-023-05726-y.

Abstract

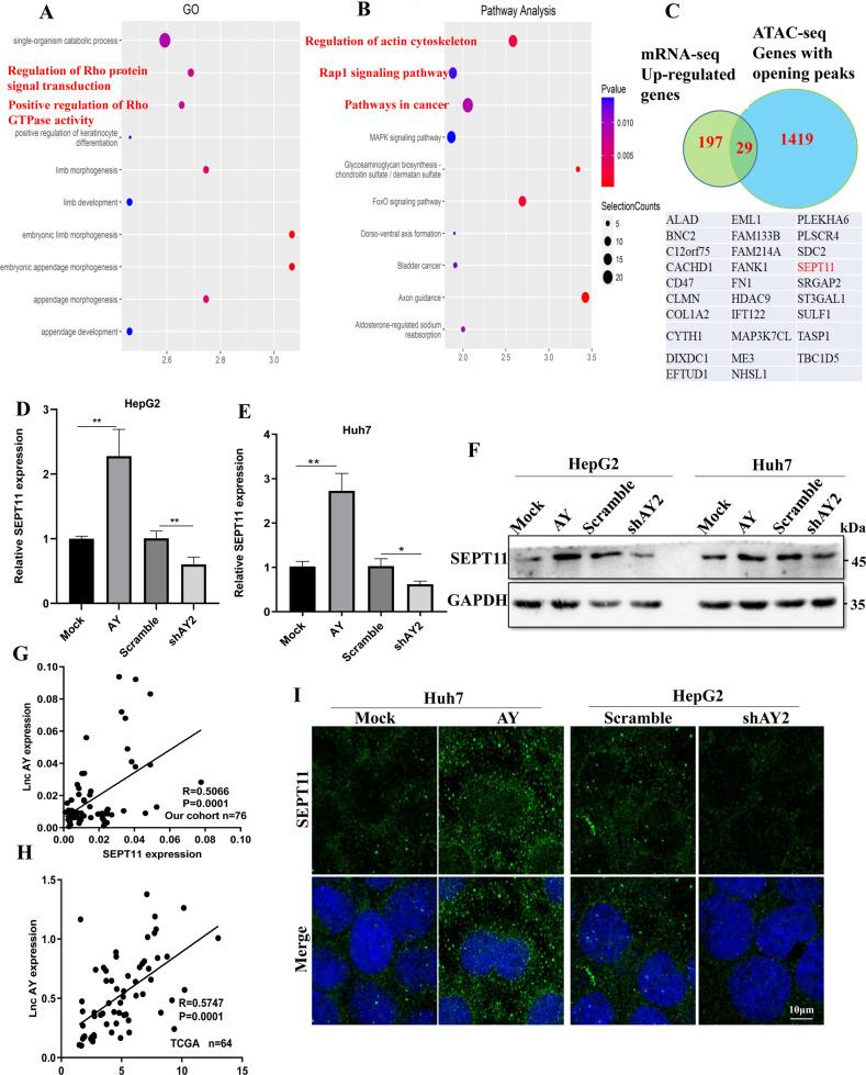
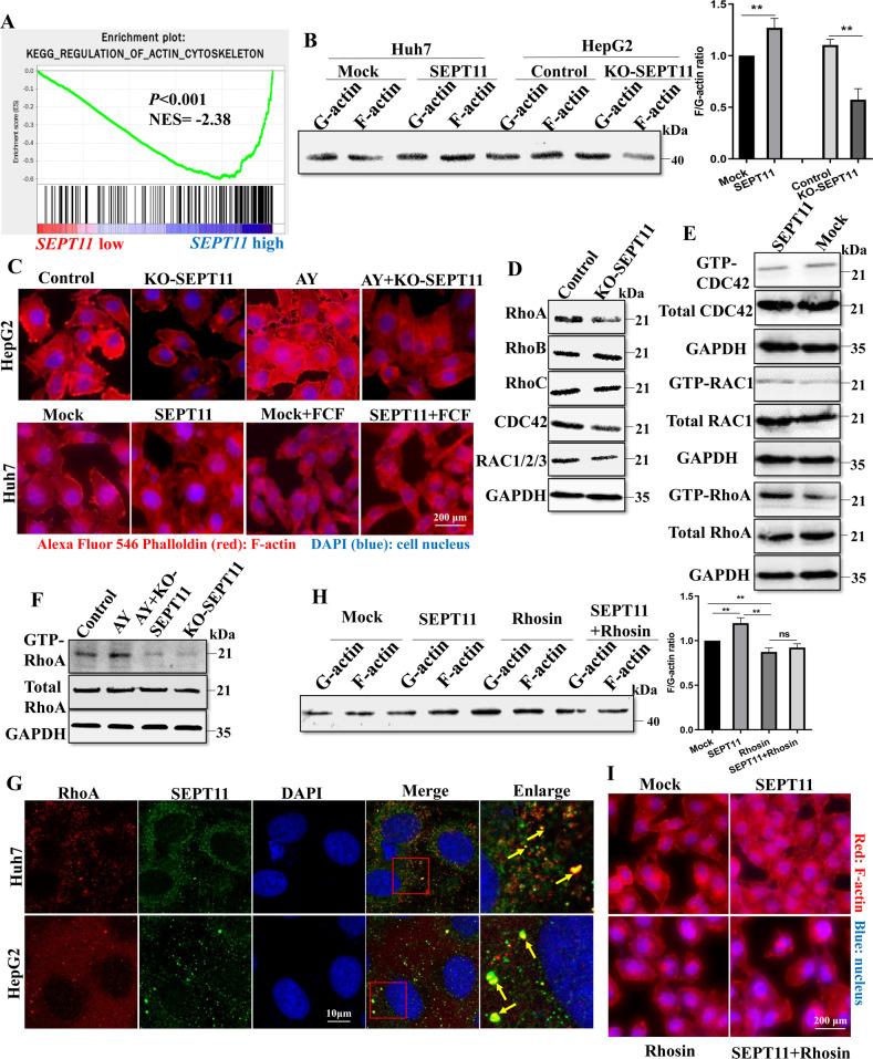
Septins as GTPases in the cytoskeleton, are linked to a broad spectrum of cellular functions, including cell migration and the progression of hepatocellular carcinoma (HCC). However, roles of SEPT11, the new member of septin, have been hardly understood in HCC. In the study, the clinical significance and biological function of SEPT11 in HCC was explored. SEPT11 was screened out by combining ATAC-seq with mRNA-seq. Role of SEPT11 in HCC was further investigated by using overexpression, shRNA and CRISPR/Cas9-mediated SEPT11-knockout cells or in vivo models. We found RNA-seq and ATAC-seq highlights LncRNA AY927503 (AY) induced SEPT11 transcription, resulting in Rho GTPase activation and cytoskeleton actin aggregation. The GTP-binding protein SEPT11 is thus considered, as a downstream factor of AY, highly expressed in various tumors, including HCC, and associated with poor prognosis of the patients. In vitro, SEPT11 overexpression promotes the migration and invasion of HCC cells, while SEPT11-knockout inhibits migration and invasion. In vivo, SEPT11-overexpressed HCC cells show high metastasis incidents but don't significantly affect proliferation. Meanwhile, we found SEPT11 targets RhoA, thereby regulating cytoskeleton rearrangement and abnormal cell adhesion through ROCK1/cofilin and FAK/paxillin signaling pathways, promoting invasion and migration of HCC. Further, we found SEPT11 facilitates the binding of GEF-H1 to RhoA, which enhances the activity of RhoA. Overall, our study confirmed function of SEPT11 in promoting metastasis in HCC, and preliminarily explored its related molecular mechanism. SEPT11 acts as an oncogene in HCC, also draws further interest regarding its clinical application as a potential therapeutic target.

摘要

作为细胞骨架中的 GTPase,Septins 与广泛的细胞功能相关,包括细胞迁移和肝细胞癌(HCC)的进展。然而,作为 septin 新成员的 SEPT11 在 HCC 中的作用几乎不为人知。在这项研究中,我们探索了 SEPT11 在 HCC 中的临床意义和生物学功能。通过结合 ATAC-seq 和 mRNA-seq 筛选出 SEPT11。通过使用过表达、shRNA 和 CRISPR/Cas9 介导的 SEPT11 敲除细胞或体内模型进一步研究了 SEPT11 在 HCC 中的作用。我们发现 RNA-seq 和 ATAC-seq 突出显示长非编码 RNA AY927503(AY)诱导 SEPT11 转录,导致 Rho GTPase 激活和细胞骨架肌动蛋白聚集。因此,GTP 结合蛋白 SEPT11 被认为是 AY 的下游因子,在包括 HCC 在内的各种肿瘤中高度表达,并与患者的预后不良相关。在体外,SEPT11 过表达促进 HCC 细胞的迁移和侵袭,而 SEPT11 敲除则抑制迁移和侵袭。在体内,SEPT11 过表达的 HCC 细胞显示出高转移事件,但对增殖没有显著影响。同时,我们发现 SEPT11 靶向 RhoA,从而通过 ROCK1/cofilin 和 FAK/paxillin 信号通路调节细胞骨架重排和异常细胞黏附,促进 HCC 的侵袭和迁移。此外,我们发现 SEPT11 促进 GEF-H1 与 RhoA 的结合,从而增强 RhoA 的活性。总的来说,我们的研究证实了 SEPT11 在促进 HCC 转移中的作用,并初步探索了其相关的分子机制。SEPT11 作为 HCC 中的癌基因,也因其作为潜在治疗靶点的临床应用而引起进一步关注。

https://cdn.ncbi.nlm.nih.gov/pmc/blobs/3a29/10119145/a7c0cc97b759/41419_2023_5726_Fig1_HTML.jpg

文献检索

告别复杂PubMed语法,用中文像聊天一样搜索,搜遍4000万医学文献。AI智能推荐,让科研检索更轻松。

立即免费搜索

文件翻译

保留排版,准确专业,支持PDF/Word/PPT等文件格式,支持 12+语言互译。

免费翻译文档

深度研究

AI帮你快速写综述,25分钟生成高质量综述,智能提取关键信息,辅助科研写作。

立即免费体验