Suppr超能文献

儿童结核病影像学推荐意见和算法:第 1 部分-肺结核。

Imaging recommendations and algorithms for pediatric tuberculosis: part 1-thoracic tuberculosis.

机构信息

Section of Pediatric Radiology, Institute of Radiology, St. Luke's Medical Center - Global City, Rizal Drive cor. 32nd St. and 5th Ave., Taguig, 1634, Philippines.

Section of Pediatric Radiology, Institute of Radiology, St. Luke's Medical Center - Quezon City, 279 E. Rodriguez Sr. Ave., Quezon City, 1112, Philippines.

出版信息

Pediatr Radiol. 2023 Aug;53(9):1773-1781. doi: 10.1007/s00247-023-05654-1. Epub 2023 Apr 21.

Abstract

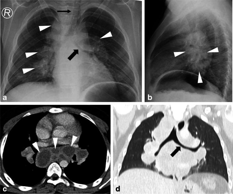
Tuberculosis (TB) remains a global health problem and is the second leading cause of death from a single infectious agent, behind the novel coronavirus disease of 2019. Children are amongst the most vulnerable groups affected by TB, and imaging manifestations are different in children when compared to adults. TB primarily involves the lungs and mediastinal lymph nodes. Clinical history, physical examination, laboratory examinations and various medical imaging tools are combined to establish the diagnosis. Even though chest radiography is the accepted initial radiological imaging modality for the evaluation of children with TB, this paper, the first of two parts, aims to discuss the advantages and limitations of the various medical imaging modalities and to provide recommendations on which is most appropriate for the initial diagnosis and assessment of possible complications of pulmonary TB in children. Practical, evidence-based imaging algorithms are also presented.

摘要

结核病(TB)仍然是一个全球性的健康问题,是仅次于 2019 年新型冠状病毒病的单一传染病病原体导致的第二大致死原因。儿童是受结核病影响的最脆弱群体之一,其影像学表现与成人不同。结核病主要累及肺部和纵隔淋巴结。临床病史、体格检查、实验室检查和各种医学影像学工具相结合,以确立诊断。尽管胸部 X 线摄影是评估儿童结核病的公认初始放射影像学检查方法,但本文是两部分中的第一部分,旨在讨论各种医学影像学方法的优缺点,并就最适合儿童肺结核的初始诊断和可能并发症评估的方法提出建议。还提出了实用的、基于证据的影像学算法。

https://cdn.ncbi.nlm.nih.gov/pmc/blobs/de23/10119015/fba5bc7ede3e/247_2023_5654_Fig1_HTML.jpg

文献AI研究员

20分钟写一篇综述,助力文献阅读效率提升50倍。

立即体验

用中文搜PubMed

大模型驱动的PubMed中文搜索引擎

马上搜索

文档翻译

学术文献翻译模型,支持多种主流文档格式。

立即体验