Suppr超能文献

病例报告:未成熟视辐射的双侧损伤及继发的视网膜神经节细胞大量丢失导致管状视野。

Case report: Bilateral damage to the immature optic radiation and secondary massive loss of retinal ganglion cells causing tunnel vision.

作者信息

Nilsson Maria, Lennartsson Finn, Öhnell Hanna Maria, Gränse Lotta, Jacobson Lena

机构信息

Unit of Optometry, Department of Clinical Neuroscience, Karolinska Institutet, Stockholm, Sweden.

Diagnostic Radiology, Department of Clinical Sciences Lund, Lund University, Skåne University Hospital, Lund, Sweden.

出版信息

Front Neurosci. 2023 Apr 4;17:1143044. doi: 10.3389/fnins.2023.1143044. eCollection 2023.

Abstract

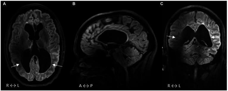
We describe the case of a 30-year-old woman, who needed a formal report on her visual impairment to seek support from society. She was born preterm, and during her neonatal period, she suffered from bilateral intraventricular hemorrhage (IVH) grade 3, a condition that can cause cerebral visual impairment (CVI) due to damage to the retro-geniculate visual pathways. Individuals with such brain damage of this severity are often restricted by cerebral palsy (CP) and intellectual disability, and thus have a limited ability to cooperate in the assessment of visual function. However, our patient was capable of providing reliable test results, and she manifested only a small island of central vision in each eye, with additional reduced visual acuities. She cooperated well in examinations involving MRI of the brain, optical coherence tomography (OCT) of retinal ganglion cells, and multi-focal visual evoked potentials, with each test providing information about potential limitations in the structural prerequisites for visual function. What distinguishes our case is the severity of the damage to the optic radiations and the massive secondary loss of most of her retinal ganglion cells (GCs). However, there is some measurable visual function, which may be due to developmental neuroplasticity during early development, when surviving GCs prioritize the central visual field. Despite her visual difficulties, she is a keen portrait painter. Our patient may be representative of, and a spokesperson for, other individuals with extensive brain damage of the same etiology, who are unable to perform perimetric tests and therefore run the risk of not being recognized as severely visually impaired, and consequently, not being given the best conditions for habilitation. OCT may serve as a helpful diagnostic tool. Aim: This study aims to describe visual behavior and practical applications of visual function in relation to structural prerequisites for visual function.

摘要

我们描述了一名30岁女性的病例,她需要一份关于其视力障碍的正式报告以寻求社会支持。她早产,在新生儿期双侧发生3级脑室内出血(IVH),这种情况可因膝状体后视觉通路受损而导致脑性视力障碍(CVI)。如此严重脑损伤的个体常受脑瘫(CP)和智力残疾的限制,因此在视力功能评估中合作能力有限。然而,我们的患者能够提供可靠的检测结果,她每只眼睛仅表现出一小片中心视力岛,且视力进一步下降。她在涉及脑部MRI、视网膜神经节细胞光学相干断层扫描(OCT)和多焦点视觉诱发电位的检查中配合良好,每项检查都提供了有关视力功能结构前提潜在局限性的信息。我们病例的独特之处在于视辐射损伤的严重程度以及她大部分视网膜神经节细胞(GCs)的大量继发性丧失。然而,仍存在一些可测量的视力功能,这可能归因于早期发育过程中的发育神经可塑性,此时存活的GCs优先考虑中心视野。尽管有视力困难,她仍是一位敏锐的肖像画家。我们的患者可能代表了其他病因相同、脑损伤广泛的个体,并成为他们的代言人,这些人无法进行视野检查,因此有不被认定为严重视力障碍的风险,进而无法获得最佳的 habilitation条件。OCT可能是一种有用的诊断工具。目的:本研究旨在描述视觉行为以及视觉功能在与视觉功能结构前提相关方面的实际应用。

https://cdn.ncbi.nlm.nih.gov/pmc/blobs/b358/10112510/448cb37bd5e2/fnins-17-1143044-g001.jpg

文献AI研究员

20分钟写一篇综述,助力文献阅读效率提升50倍。

立即体验

用中文搜PubMed

大模型驱动的PubMed中文搜索引擎

马上搜索

文档翻译

学术文献翻译模型,支持多种主流文档格式。

立即体验