Suppr超能文献

肾酶通过抑制内质网应激和下调 GSK-3β/Snail 信号通路防止肾纤维化。

Renalase Prevents Renal Fibrosis by Inhibiting Endoplasmic Reticulum Stress and Down-Regulating GSK-3β/Snail Signaling.

机构信息

Department of Nephrology, Beijing Friendship Hospital, Capital Medical University, No. 95 Yong An Road, Xi Cheng District, Beijing 100050, P. R. China.

Department of Nephrology, Beijing Tiantan Hospital, Capital Medical University, No.119 South Fourth Ring Road West, Fengtai District, Beijing,100070, P. R. China.

出版信息

Int J Med Sci. 2023 Mar 21;20(5):669-681. doi: 10.7150/ijms.82192. eCollection 2023.

Abstract

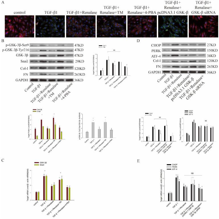
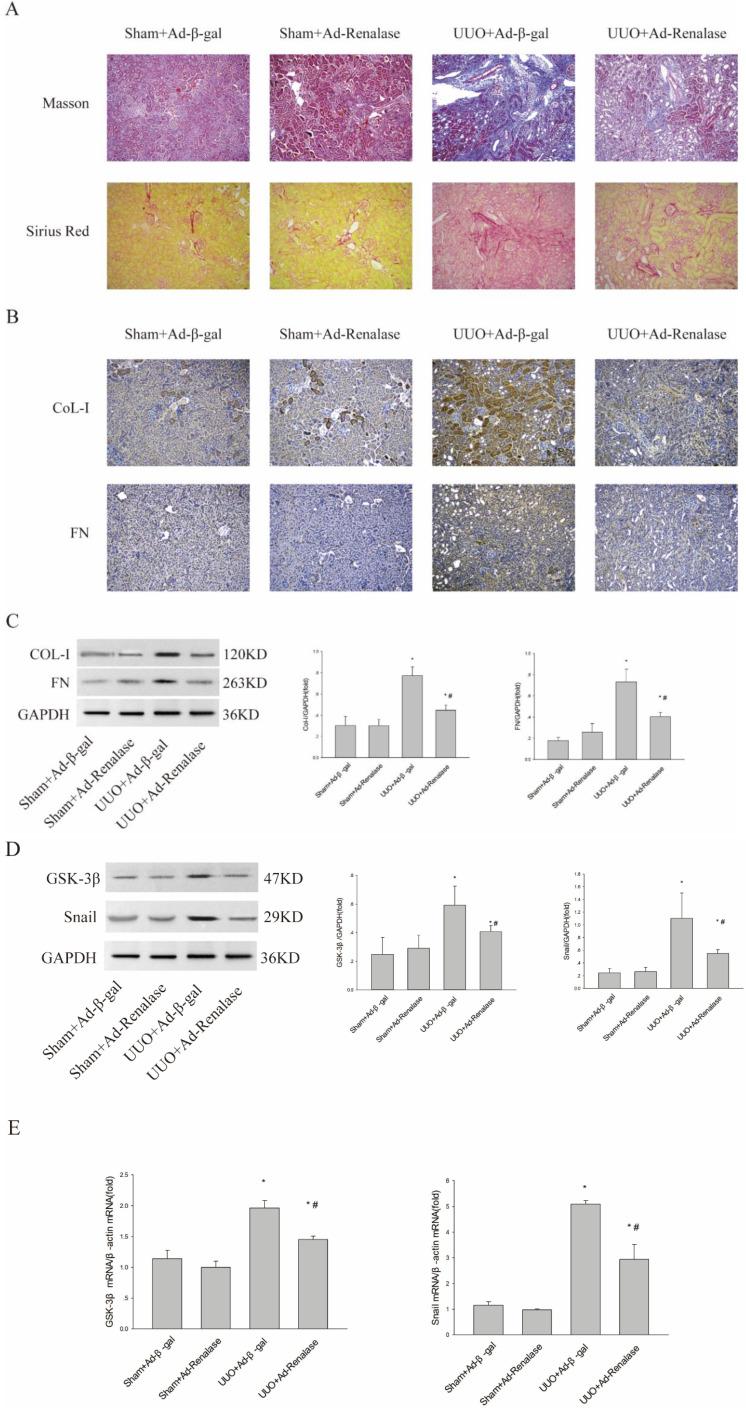
Treating renal fibrosis is crucial to delaying chronic kidney disease. The glycogen synthase kinase-3β (GSK-3β)/Snail pathway regulates renal fibrosis and Renalase can ameliorate renal interstitial fibrosis. However, it is not clear whether GSK-3β/Snail signaling affects Renalase action. Here, we explored the role and mechanism of GSK-3β/Snail in the anti-fibrosis action of Renalase. We used mice with complete unilateral ureteral obstruction (UUO) and human proximal renal tubular epithelial (HK-2) cells with transforming growth factor-β1 (TGF-β1)-induced fibrosis to explore the role and regulatory mechanism of the GSK-3β/Snail pathway in the amelioration of renal fibrosis by Renalase. In UUO mice and TGF-β1-induced fibrotic HK-2 cells, the expression of p-GSK-3β-Tyr216/p-GSK-3β-Ser9, GSK-3β and Snail was significantly increased, and endoplasmic reticulum (ER) stress was activated. After Renalase supplementation, fibrosis was alleviated, ER stress was inhibited and p-GSK-3β-Tyr216/p-GSK-3β-Ser9, GSK-3β and Snail were significantly down-regulated. The amelioration of renal fibrosis by Renalase and its inhibitory effect on GSK-3β/Snail were reversed by an ER stress agonist. Furthermore, when an adeno-associated virus or plasmid was used to overexpress GSK-3β, the effect of Renalase on delaying renal fibrosis was counteracted, although ER stress markers did not change. Renalase prevents renal fibrosis by down-regulating GSK-3β/Snail signaling through inhibition of ER stress. Exogenous Renalase may be an effective method of slowing or stopping chronic kidney disease progression.

摘要

治疗肾纤维化对于延缓慢性肾脏病至关重要。糖原合酶激酶-3β(GSK-3β)/Snail 通路调节肾纤维化,肾酶可以改善肾间质纤维化。然而,GSK-3β/Snail 信号是否影响肾酶的作用尚不清楚。在这里,我们探讨了 GSK-3β/Snail 在肾酶抗纤维化作用中的作用和机制。我们使用完全单侧输尿管梗阻(UUO)小鼠和转化生长因子-β1(TGF-β1)诱导纤维化的人近端肾小管上皮(HK-2)细胞,探讨 GSK-3β/Snail 通路在肾酶改善肾纤维化中的作用和调节机制。在 UUO 小鼠和 TGF-β1 诱导的纤维化 HK-2 细胞中,p-GSK-3β-Tyr216/p-GSK-3β-Ser9、GSK-3β 和 Snail 的表达明显增加,内质网(ER)应激被激活。肾酶补充后,纤维化减轻,ER 应激受到抑制,p-GSK-3β-Tyr216/p-GSK-3β-Ser9、GSK-3β 和 Snail 的表达明显下调。肾酶对肾纤维化的改善及其对 GSK-3β/Snail 的抑制作用被 ER 应激激动剂逆转。此外,当使用腺相关病毒或质粒过表达 GSK-3β 时,肾酶延缓肾纤维化的作用被抵消,尽管 ER 应激标志物没有改变。肾酶通过抑制 ER 应激下调 GSK-3β/Snail 信号通路来预防肾纤维化。外源性肾酶可能是减缓或阻止慢性肾脏病进展的有效方法。

https://cdn.ncbi.nlm.nih.gov/pmc/blobs/f34b/10110476/0f9d3f7cea49/ijmsv20p0669g001.jpg

文献AI研究员

20分钟写一篇综述,助力文献阅读效率提升50倍。

立即体验

用中文搜PubMed

大模型驱动的PubMed中文搜索引擎

马上搜索

文档翻译

学术文献翻译模型,支持多种主流文档格式。

立即体验