Department of Radiology, Shandong Provincial Hospital, Shandong University, Jinan, Shandong 250021, China.
Department of Radiology, Shandong Provincial Hospital Affiliated to Shandong First Medical University, Jinan, Shandong 250021, China.
Chin Med J (Engl). 2023 May 20;136(10):1188-1197. doi: 10.1097/CM9.0000000000002671. Epub 2023 Apr 20.
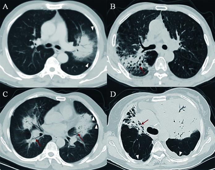
Pneumonia-like primary pulmonary lymphoma (PPL) was commonly misdiagnosed as infectious pneumonia, leading to delayed treatment. The purpose of this study was to establish a computed tomography (CT)-based radiomics model to differentiate pneumonia-like PPL from infectious pneumonia.
In this retrospective study, 79 patients with pneumonia-like PPL and 176 patients with infectious pneumonia from 12 medical centers were enrolled. Patients from center 1 to center 7 were assigned to the training or validation cohort, and the remaining patients from other centers were used as the external test cohort. Radiomics features were extracted from CT images. A three-step procedure was applied for radiomics feature selection and radiomics signature building, including the inter- and intra-class correlation coefficients (ICCs), a one-way analysis of variance (ANOVA), and least absolute shrinkage and selection operator (LASSO). Univariate and multivariate analyses were used to identify the significant clinicoradiological variables and construct a clinical factor model. Two radiologists reviewed the CT images for the external test set. Performance of the radiomics model, clinical factor model, and each radiologist were assessed by receiver operating characteristic, and area under the curve (AUC) was compared.
A total of 144 patients (44 with pneumonia-like PPL and 100 infectious pneumonia) were in the training cohort, 38 patients (12 with pneumonia-like PPL and 26 infectious pneumonia) were in the validation cohort, and 73 patients (23 with pneumonia-like PPL and 50 infectious pneumonia) were in the external test cohort. Twenty-three radiomics features were selected to build the radiomics model, which yielded AUCs of 0.95 (95% confidence interval [CI]: 0.94-0.99), 0.93 (95% CI: 0.85-0.98), and 0.94 (95% CI: 0.87-0.99) in the training, validation, and external test cohort, respectively. The AUCs for the two readers and clinical factor model were 0.74 (95% CI: 0.63-0.83), 0.72 (95% CI: 0.62-0.82), and 0.73 (95% CI: 0.62-0.84) in the external test cohort, respectively. The radiomics model outperformed both the readers' interpretation and clinical factor model ( P <0.05).
The CT-based radiomics model may provide an effective and non-invasive tool to differentiate pneumonia-like PPL from infectious pneumonia, which might provide assistance for clinicians in tailoring precise therapy.
肺炎样原发性肺淋巴瘤(PPL)常被误诊为感染性肺炎,导致治疗延误。本研究旨在建立一种基于计算机断层扫描(CT)的放射组学模型,以区分肺炎样 PPL 和感染性肺炎。
本回顾性研究纳入了来自 12 家医疗机构的 79 例肺炎样 PPL 患者和 176 例感染性肺炎患者。中心 1 至 7 的患者被分配到训练或验证队列,其余中心的患者被用作外部测试队列。从 CT 图像中提取放射组学特征。采用三步程序进行放射组学特征选择和放射组学特征构建,包括组内和组间相关系数(ICC)、单因素方差分析(ANOVA)和最小绝对值收缩和选择算子(LASSO)。采用单因素和多因素分析确定显著的临床影像学变量,并构建临床因子模型。两位放射科医生对外部测试集的 CT 图像进行了回顾。通过受试者工作特征(ROC)评估放射组学模型、临床因子模型和每位放射科医生的性能,并比较曲线下面积(AUC)。
共纳入 144 例患者(训练队列 44 例肺炎样 PPL 和 100 例感染性肺炎,验证队列 38 例肺炎样 PPL 和 26 例感染性肺炎,外部测试队列 73 例肺炎样 PPL 和 50 例感染性肺炎)。选择 23 个放射组学特征来构建放射组学模型,在训练、验证和外部测试队列中,该模型的 AUC 分别为 0.95(95%置信区间 [CI]:0.94-0.99)、0.93(95% CI:0.85-0.98)和 0.94(95% CI:0.87-0.99)。两位放射科医生和临床因子模型的 AUC 分别为 0.74(95% CI:0.63-0.83)、0.72(95% CI:0.62-0.82)和 0.73(95% CI:0.62-0.84)。放射组学模型的表现优于两位放射科医生的解读和临床因子模型(P<0.05)。
基于 CT 的放射组学模型可能为区分肺炎样 PPL 和感染性肺炎提供一种有效、无创的工具,有助于临床医生制定精准的治疗方案。