Mpotje Thabo, More Jessica, Rajkumar-Bhugeloo Kerishka, Moodley Denelle, Marakalala Mohlopheni J
School of Laboratory Medicine and Medical Sciences, University of KwaZulu-Natal, Durban, KwaZulu-Natal, 4001, South Africa.
Basic and Translational Science, Africa Health Research Institute, Durban, KwaZulu-Natal, 4001, South Africa.
Wellcome Open Res. 2023 Mar 28;8:139. doi: 10.12688/wellcomeopenres.19226.1. eCollection 2023.
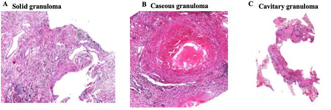
The presence of the Tuberculosis (TB) disease-causing pathogen, (Mtb), induces the development of a pathological feature termed granuloma, which the host uses to contain the bacteria. However, the granuloma may dissociate resulting in detrimental caseation of the lung. The disease contributes to a growing global burden of lung function challenges, warranting for more understanding of the TB-induced immunopathology. The current study aims to explore in detail host factors that drive pathological features of TB contributing to extensive lung tissue destruction. Lung tissue sections obtained from patients undergoing surgical resection will be processed and analyzed using histopathological assays including Immunohistochemistry, Immunofluorescence, Hematoxylin and Eosin staining and Laser Capture Microdissection. The findings will provide key host factors that associate with exacerbated lung immunopathology during TB.
结核病(TB)致病病原体结核分枝杆菌(Mtb)的存在会诱发一种名为肉芽肿的病理特征的形成,宿主利用它来控制细菌。然而,肉芽肿可能会解离,导致肺部出现有害的干酪样坏死。这种疾病导致全球肺功能挑战的负担日益加重,因此需要更多地了解结核病诱发的免疫病理学。当前的研究旨在详细探索导致结核病病理特征并促成广泛肺组织破坏的宿主因素。将对接受手术切除患者的肺组织切片进行处理,并使用包括免疫组织化学、免疫荧光、苏木精和伊红染色以及激光捕获显微切割在内的组织病理学检测方法进行分析。这些发现将提供与结核病期间加剧的肺部免疫病理学相关的关键宿主因素。