Suppr超能文献

新型冠状病毒肺炎中的自发性肺疝

Spontaneous pulmonary herniation in COVID-19.

作者信息

Macdonald Andrew, Butcher Cameron, Nguyen Thuy Nhu

机构信息

General Medical Unit Barwon Health, University Hospital Geelong Geelong Victoria Australia.

General Medical Unit Western District Health Service Hamilton Victoria Australia.

出版信息

Respirol Case Rep. 2023 Apr 20;11(5):e01145. doi: 10.1002/rcr2.1145. eCollection 2023 May.

Abstract

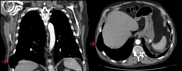
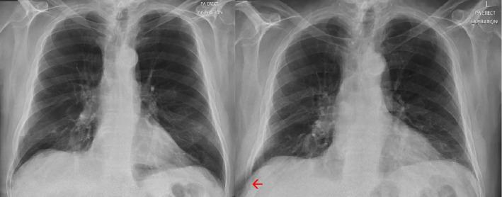
Spontaneous pulmonary hernia (SPH) is a rare condition. We report a case secondary to extreme coughing and COVID-19 infection. The patient displayed several clinical features typical of this diagnosis; difficult to manage pain on coughing, flank haematoma and bulging of the chest wall on coughing. Clinicians should be aware of the risk factors and clinical features of SPH to aid diagnosis of this rare condition.

摘要

自发性肺疝(SPH)是一种罕见的病症。我们报告一例继发于剧烈咳嗽和新型冠状病毒肺炎(COVID-19)感染的病例。该患者表现出了这种诊断的几种典型临床特征:咳嗽时难以控制的疼痛、胁腹血肿以及咳嗽时胸壁膨出。临床医生应了解自发性肺疝的危险因素和临床特征,以协助诊断这种罕见病症。

https://cdn.ncbi.nlm.nih.gov/pmc/blobs/dfb4/10116398/fa9b6982b938/RCR2-11-e01145-g002.jpg

文献AI研究员

20分钟写一篇综述,助力文献阅读效率提升50倍。

立即体验

用中文搜PubMed

大模型驱动的PubMed中文搜索引擎

马上搜索

文档翻译

学术文献翻译模型,支持多种主流文档格式。

立即体验