• 文献检索
  • 文档翻译
  • 深度研究
  • 学术资讯
  • Suppr Zotero 插件Zotero 插件
  • 邀请有礼
  • 套餐&价格
  • 历史记录
应用&插件
Suppr Zotero 插件Zotero 插件浏览器插件Mac 客户端Windows 客户端微信小程序
定价
高级版会员购买积分包购买API积分包
服务
文献检索文档翻译深度研究API 文档MCP 服务
关于我们
关于 Suppr公司介绍联系我们用户协议隐私条款
关注我们

Suppr 超能文献

核心技术专利:CN118964589B侵权必究
粤ICP备2023148730 号-1Suppr @ 2026

文献检索

告别复杂PubMed语法,用中文像聊天一样搜索,搜遍4000万医学文献。AI智能推荐,让科研检索更轻松。

立即免费搜索

文件翻译

保留排版,准确专业,支持PDF/Word/PPT等文件格式,支持 12+语言互译。

免费翻译文档

深度研究

AI帮你快速写综述,25分钟生成高质量综述,智能提取关键信息,辅助科研写作。

立即免费体验

鉴定和功能比较人类 YAP 的新型选择性剪接异构体。

Identification and functional comparison of novel alternatively spliced isoforms of human YAP.

机构信息

Laboratory of Stem Cell & Developmental Biology, Department of Histology and Embryology, Army Medical University, Chongqing, China.

Department of Histology and Embryology, Chongqing Key Laboratory of Neurobiology, Brain and Intelligence Research Key Laboratory of Chongqing Education Commission, Army Medical University, Chongqing, China.

出版信息

FEBS Open Bio. 2023 Jun;13(6):1001-1014. doi: 10.1002/2211-5463.13618. Epub 2023 May 8.

DOI:10.1002/2211-5463.13618
PMID:37098971
原文链接:https://pmc.ncbi.nlm.nih.gov/articles/PMC10240341/
Abstract

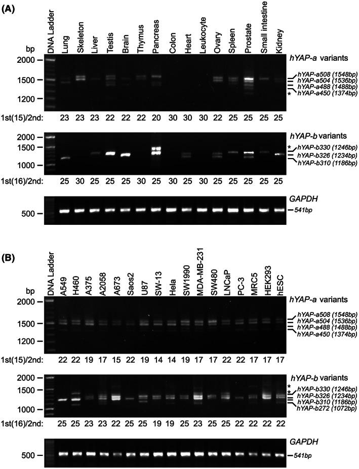
As a key effector of the Hippo pathway, yes-associated protein (YAP) is a major regulator of cell proliferation and apoptosis. In this study, 23 hYAP isoforms were identified in HEK293 cells, with 14 isoforms being reported for the first time. These isoforms were classified into hYAP-a and hYAP-b isoforms based on the variation in exon 1. The two groups of isoforms showed distinctly different subcellular localizations. hYAP-a isoforms could activate TEAD- or P73-mediated transcription, affect the proliferation rate, and enhance the cellular chemosensitivity of HEK293 cells. Moreover, different activation abilities and pro-cytotoxic effects were observed among hYAP-a isoforms. However, hYAP-b isoforms were not found to exert any significant biological effects. Our findings add to the knowledge of YAP gene structure and protein-coding capacity and will help in the elucidation of the function and related molecular mechanisms of the Hippo-YAP signaling pathway.

摘要

作为 Hippo 通路的关键效应因子,Yes 相关蛋白(YAP)是细胞增殖和凋亡的主要调节因子。本研究在 HEK293 细胞中鉴定出 23 种 hYAP 异构体,其中 14 种是首次报道。这些异构体根据外显子 1 的变化分为 hYAP-a 和 hYAP-b 异构体。两组异构体表现出明显不同的亚细胞定位。hYAP-a 异构体可以激活 TEAD 或 P73 介导的转录,影响增殖率,并增强 HEK293 细胞的化学敏感性。此外,hYAP-a 异构体之间观察到不同的激活能力和促细胞毒性作用。然而,hYAP-b 异构体未表现出任何显著的生物学效应。我们的研究结果增加了对 YAP 基因结构和蛋白编码能力的了解,有助于阐明 Hippo-YAP 信号通路的功能和相关分子机制。

https://cdn.ncbi.nlm.nih.gov/pmc/blobs/fb5e/10240341/224688277718/FEB4-13-1001-g007.jpg
https://cdn.ncbi.nlm.nih.gov/pmc/blobs/fb5e/10240341/051f84642de4/FEB4-13-1001-g004.jpg
https://cdn.ncbi.nlm.nih.gov/pmc/blobs/fb5e/10240341/6ef206618e64/FEB4-13-1001-g005.jpg
https://cdn.ncbi.nlm.nih.gov/pmc/blobs/fb5e/10240341/8db25ebb7c8e/FEB4-13-1001-g006.jpg
https://cdn.ncbi.nlm.nih.gov/pmc/blobs/fb5e/10240341/0c4e1507fbcf/FEB4-13-1001-g002.jpg
https://cdn.ncbi.nlm.nih.gov/pmc/blobs/fb5e/10240341/f3afa29594da/FEB4-13-1001-g003.jpg
https://cdn.ncbi.nlm.nih.gov/pmc/blobs/fb5e/10240341/224688277718/FEB4-13-1001-g007.jpg
https://cdn.ncbi.nlm.nih.gov/pmc/blobs/fb5e/10240341/051f84642de4/FEB4-13-1001-g004.jpg
https://cdn.ncbi.nlm.nih.gov/pmc/blobs/fb5e/10240341/6ef206618e64/FEB4-13-1001-g005.jpg
https://cdn.ncbi.nlm.nih.gov/pmc/blobs/fb5e/10240341/8db25ebb7c8e/FEB4-13-1001-g006.jpg
https://cdn.ncbi.nlm.nih.gov/pmc/blobs/fb5e/10240341/0c4e1507fbcf/FEB4-13-1001-g002.jpg
https://cdn.ncbi.nlm.nih.gov/pmc/blobs/fb5e/10240341/f3afa29594da/FEB4-13-1001-g003.jpg
https://cdn.ncbi.nlm.nih.gov/pmc/blobs/fb5e/10240341/224688277718/FEB4-13-1001-g007.jpg

相似文献

1
Identification and functional comparison of novel alternatively spliced isoforms of human YAP.鉴定和功能比较人类 YAP 的新型选择性剪接异构体。
FEBS Open Bio. 2023 Jun;13(6):1001-1014. doi: 10.1002/2211-5463.13618. Epub 2023 May 8.
2
Identification, subcellular localization, and functional comparison of novel Yap splicing isoforms in mouse embryonic stem cells.鉴定、亚细胞定位和功能比较新型 Yap 剪接异构体在小鼠胚胎干细胞中的作用。
IUBMB Life. 2021 Dec;73(12):1432-1445. doi: 10.1002/iub.2571. Epub 2021 Nov 12.
3
Cardiac-specific YAP activation improves cardiac function and survival in an experimental murine MI model.心脏特异性 YAP 激活可改善实验性 MI 模型中的心脏功能和存活率。
Circ Res. 2014 Jul 18;115(3):354-63. doi: 10.1161/CIRCRESAHA.115.303632. Epub 2014 May 15.
4
RHOA activity in expanding blastocysts is essential to regulate HIPPO-YAP signaling and to maintain the trophectoderm-specific gene expression program in a ROCK/actin filament-independent manner.在扩展囊胚中,RHOA 的活性对于调节 HIPPO-YAP 信号通路以及以 ROCK/肌动蛋白丝非依赖的方式维持滋养层特异性基因表达程序是必不可少的。
Mol Hum Reprod. 2019 Feb 1;25(2):43-60. doi: 10.1093/molehr/gay048.
5
The PDZ-binding motif of Yes-associated protein is required for its co-activation of TEAD-mediated CTGF transcription and oncogenic cell transforming activity.Yes 相关蛋白的 PDZ 结合基序对于其与 TEAD 介导的 CTGF 转录和致癌细胞转化活性的共激活作用是必需的。
Biochem Biophys Res Commun. 2014 Jan 17;443(3):917-23. doi: 10.1016/j.bbrc.2013.12.100. Epub 2013 Dec 28.
6
Platelet‑derived growth factor‑BB mediates pancreatic cancer malignancy via regulation of the Hippo/Yes‑associated protein signaling pathway.血小板衍生生长因子-BB 通过调节 Hippo/Yes 相关蛋白信号通路介导胰腺癌恶性进展。
Oncol Rep. 2021 Jan;45(1):83-94. doi: 10.3892/or.2020.7859. Epub 2020 Nov 19.
7
Regulation of YAP by mechanical strain through Jnk and Hippo signaling.通过Jnk和Hippo信号通路的机械应变对YAP的调控。
Curr Biol. 2014 Sep 8;24(17):2012-7. doi: 10.1016/j.cub.2014.07.034. Epub 2014 Aug 7.
8
The Hippo pathway effector proteins YAP and TAZ have both distinct and overlapping functions in the cell.Hippo 通路效应蛋白 YAP 和 TAZ 在细胞中具有不同但又重叠的功能。
J Biol Chem. 2018 Jul 13;293(28):11230-11240. doi: 10.1074/jbc.RA118.002715. Epub 2018 May 25.
9
The p130 isoform of angiomotin is required for Yap-mediated hepatic epithelial cell proliferation and tumorigenesis.YAP 介导的肝上皮细胞增殖和肿瘤发生需要血管生成素 p130 同工型。
Sci Signal. 2013 Sep 3;6(291):ra77. doi: 10.1126/scisignal.2004060.
10
Calmodulin activates the Hippo signaling pathway by promoting LATS1 kinase-mediated inhibitory phosphorylation of the transcriptional coactivator YAP.钙调蛋白通过促进 LATS1 激酶介导的转录共激活因子 YAP 的抑制性磷酸化来激活 Hippo 信号通路。
J Biol Chem. 2022 May;298(5):101839. doi: 10.1016/j.jbc.2022.101839. Epub 2022 Mar 17.

本文引用的文献

1
The Multiple Interactions of RUNX with the Hippo-YAP Pathway.RUNX 与 Hippo-YAP 通路的多重相互作用。
Cells. 2021 Oct 28;10(11):2925. doi: 10.3390/cells10112925.
2
Identification, subcellular localization, and functional comparison of novel Yap splicing isoforms in mouse embryonic stem cells.鉴定、亚细胞定位和功能比较新型 Yap 剪接异构体在小鼠胚胎干细胞中的作用。
IUBMB Life. 2021 Dec;73(12):1432-1445. doi: 10.1002/iub.2571. Epub 2021 Nov 12.
3
YAP and TAZ are transcriptional co-activators of AP-1 proteins and STAT3 during breast cellular transformation.
YAP 和 TAZ 是乳腺癌细胞转化过程中 AP-1 蛋白和 STAT3 的转录共激活因子。
Elife. 2021 Aug 31;10:e67312. doi: 10.7554/eLife.67312.
4
Expression levels and activation status of Yap splicing isoforms determine self-renewal and differentiation potential of embryonic stem cells.Yap 剪接异构体的表达水平和激活状态决定了胚胎干细胞的自我更新和分化潜能。
Stem Cells. 2021 Sep;39(9):1178-1191. doi: 10.1002/stem.3389. Epub 2021 May 8.
5
Alternative Splicing Enhances the Transcriptome Complexity of .可变剪接增强了……的转录组复杂性 。 (你提供的原文似乎不完整,“of”后面缺少具体内容)
Front Plant Sci. 2020 Sep 23;11:578100. doi: 10.3389/fpls.2020.578100. eCollection 2020.
6
YAP increases response to Trastuzumab in HER2-positive Breast Cancer by enhancing P73-induced apoptosis.YAP通过增强P73诱导的细胞凋亡增加HER2阳性乳腺癌对曲妥珠单抗的反应。
J Cancer. 2020 Sep 25;11(22):6748-6759. doi: 10.7150/jca.48535. eCollection 2020.
7
MAML1/2 promote YAP/TAZ nuclear localization and tumorigenesis.MAML1/2促进YAP/TAZ的核定位及肿瘤发生。
Proc Natl Acad Sci U S A. 2020 Jun 16;117(24):13529-13540. doi: 10.1073/pnas.1917969117. Epub 2020 Jun 1.
8
Resistance to MET/VEGFR2 Inhibition by Cabozantinib Is Mediated by YAP/TBX5-Dependent Induction of FGFR1 in Castration-Resistant Prostate Cancer.卡博替尼对MET/VEGFR2抑制的耐药性由YAP/TBX5依赖性诱导FGFR1介导,发生在去势抵抗性前列腺癌中。
Cancers (Basel). 2020 Jan 19;12(1):244. doi: 10.3390/cancers12010244.
9
YAP promotes the proliferation of neuroblastoma cells through decreasing the nuclear location of p27 mediated by Akt.YAP 通过 Akt 介导减少 p27 的核定位促进神经母细胞瘤细胞的增殖。
Cell Prolif. 2020 Feb;53(2):e12734. doi: 10.1111/cpr.12734. Epub 2019 Dec 20.
10
Induction of AP-1 by YAP/TAZ contributes to cell proliferation and organ growth.YAP/TAZ 诱导的 AP-1 促进细胞增殖和器官生长。
Genes Dev. 2020 Jan 1;34(1-2):72-86. doi: 10.1101/gad.331546.119. Epub 2019 Dec 12.