Suppr超能文献

DNA 聚合酶 POLD1 通过稳定 MYC 促进膀胱癌的增殖和转移。

DNA polymerase POLD1 promotes proliferation and metastasis of bladder cancer by stabilizing MYC.

机构信息

Department of Urology, Zhongnan Hospital of Wuhan University, Wuhan, China.

Department of Biological Repositories, Zhongnan Hospital of Wuhan University, Wuhan, China.

出版信息

Nat Commun. 2023 Apr 27;14(1):2421. doi: 10.1038/s41467-023-38160-x.

Abstract

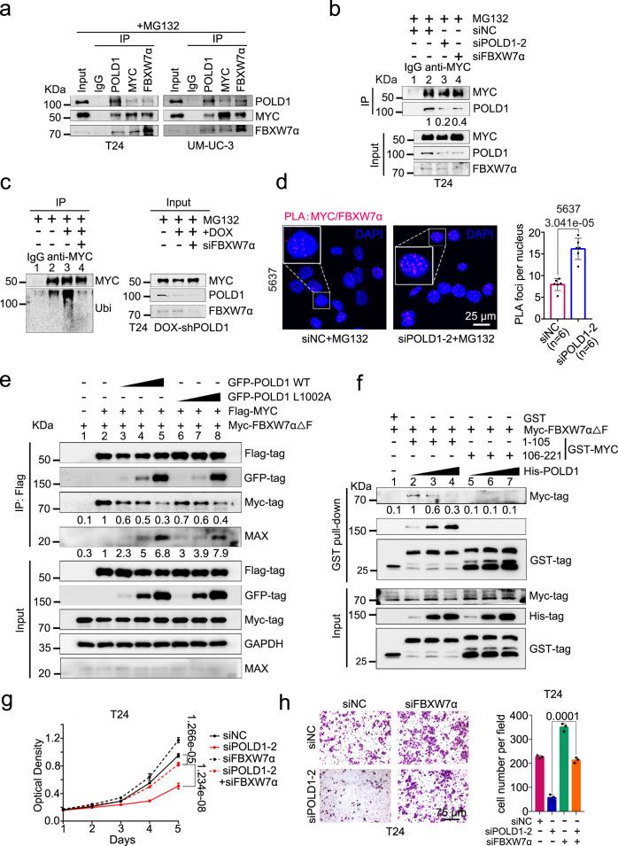
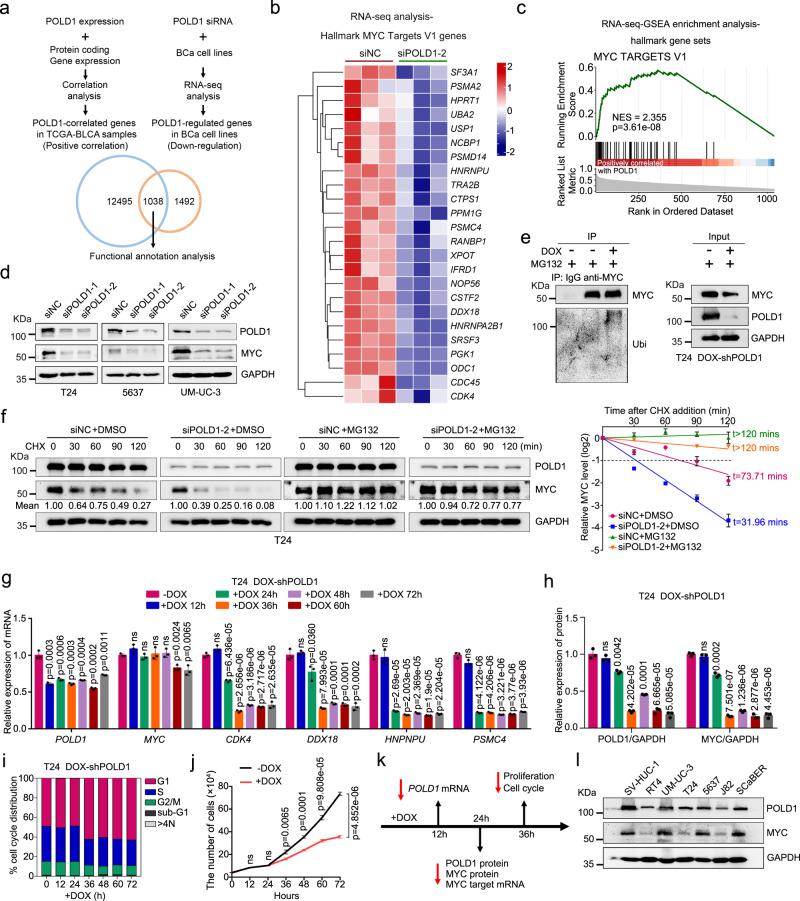
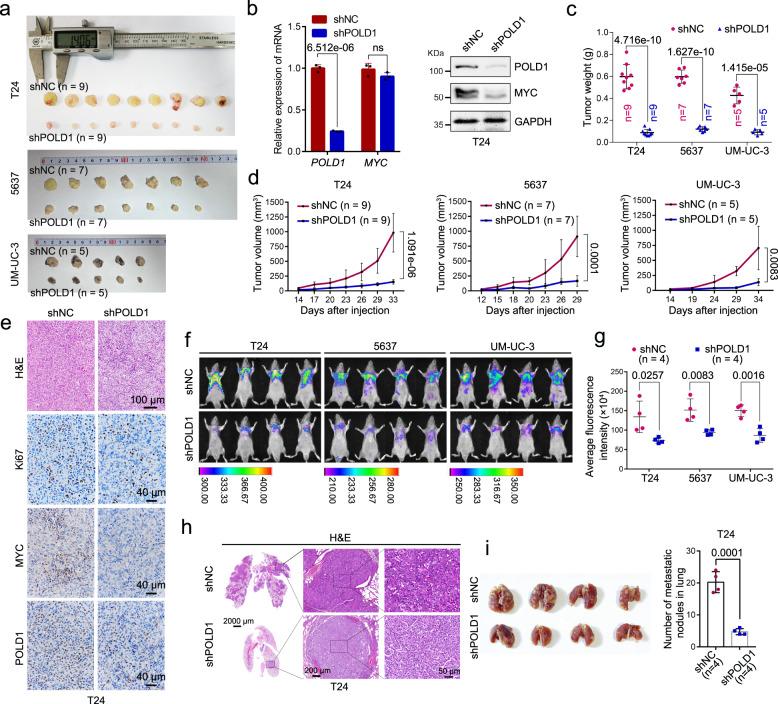
To date, most studies on the DNA polymerase, POLD1, have focused on the effect of POLD1 inactivation mutations in tumors. However, the implications of high POLD1 expression in tumorigenesis remains elusive. Here, we determine that POLD1 has a pro-carcinogenic role in bladder cancer (BLCA) and is associated to the malignancy and prognosis of BLCA. Our studies demonstrate that POLD1 promotes the proliferation and metastasis of BLCA via MYC. Mechanistically, POLD1 stabilizes MYC in a manner independent of its' DNA polymerase activity. Instead, POLD1 attenuates FBXW7-mediated ubiquitination degradation of MYC by directly binding to the MYC homology box 1 domain competitively with FBXW7. Moreover, we find that POLD1 forms a complex with MYC to promote the transcriptional activity of MYC. In turn, MYC increases expression of POLD1, forming a POLD1-MYC positive feedback loop to enhance the pro-carcinogenic effect of POLD1-MYC on BLCA. Overall, our study identifies POLD1 as a promotor of BCLA via a MYC driven mechanism and suggest its potential as biomarker for BLCA.

摘要

迄今为止,大多数关于 DNA 聚合酶 POLD1 的研究都集中在 POLD1 失活突变对肿瘤的影响上。然而,高 POLD1 表达在肿瘤发生中的意义仍不清楚。在这里,我们确定 POLD1 在膀胱癌 (BLCA) 中具有致癌作用,并且与 BLCA 的恶性程度和预后相关。我们的研究表明,POLD1 通过 MYC 促进 BLCA 的增殖和转移。在机制上,POLD1 通过独立于其 DNA 聚合酶活性的方式稳定 MYC。相反,POLD1 通过直接与 FBXW7 竞争结合 MYC 同源盒 1 结构域,减弱 FBXW7 介导的 MYC 泛素化降解。此外,我们发现 POLD1 与 MYC 形成复合物以促进 MYC 的转录活性。反过来,MYC 增加 POLD1 的表达,形成 POLD1-MYC 正反馈回路,以增强 POLD1-MYC 对 BLCA 的致癌作用。总的来说,我们的研究通过 MYC 驱动的机制确定 POLD1 是 BLCA 的促进剂,并表明其作为 BLCA 标志物的潜力。

https://cdn.ncbi.nlm.nih.gov/pmc/blobs/526c/10140023/c6b8b75d2c6e/41467_2023_38160_Fig1_HTML.jpg

文献AI研究员

20分钟写一篇综述,助力文献阅读效率提升50倍。

立即体验

用中文搜PubMed

大模型驱动的PubMed中文搜索引擎

马上搜索

文档翻译

学术文献翻译模型,支持多种主流文档格式。

立即体验