School of Medicine, Chung Shan Medical University, Taichung 40221, Taiwan.
Department of Ophthalmology, Cathay General Hospital, Taipei 10687, Taiwan.
Int J Mol Sci. 2023 Apr 10;24(8):6983. doi: 10.3390/ijms24086983.
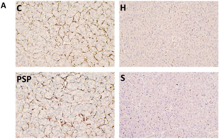
Purple sweet potato (PSP) powder with anthocyanins possesses the ability to reduce oxidative stress and inflammation. Studies have presumed a positive correlation between body fat and dry eye disease (DED) in adults. The regulation of oxidative stress and inflammation has been proposed as the mechanism underlying DED. This study developed an animal model of high fat diet (HFD)-induced DED. We added 5% PSP powder to the HFD to evaluate the effects and underlying mechanisms in mitigating HFD-induced DED. A statin drug, atorvastatin, was also added to the diet separately to assess its effect. The HFD altered the structure of lacrimal gland (LG) tissue, reduced LG secretory function, and eliminated the expression of proteins related to DED development, including α-smooth muscle actin and aquaporin-5. Although PSP treatment could not significantly reduce body weight or body fat, it ameliorated the effects of DED by preserving LG secretory function, preventing ocular surface erosion, and preserving LG structure. PSP treatment increased superoxide dismutase levels but reduced hypoxia-inducible factor 1-α levels, indicating that PSP treatment reduced oxidative stress. PSP treatment increased ATP-binding cassette transporter 1 and acetyl-CoA carboxylase 1 levels in LG tissue, signifying that PSP treatment regulated lipid homeostasis maintenance to reduce the effects of DED. In conclusion, PSP treatment ameliorated the effects of HFD-induced DED through the regulation of oxidative stress and lipid homeostasis in the LG.
紫薯(PSP)粉中的花色苷具有减轻氧化应激和炎症的能力。研究表明,成年人的体脂与干眼症(DED)之间存在正相关关系。氧化应激和炎症的调节被认为是 DED 的潜在机制。本研究建立了高脂肪饮食(HFD)诱导的 DED 动物模型。我们在 HFD 中添加 5%的 PSP 粉,以评估其减轻 HFD 诱导的 DED 的效果和潜在机制。此外,我们还在饮食中添加了一种他汀类药物阿托伐他汀,以评估其效果。HFD 改变了泪腺(LG)组织的结构,降低了 LG 的分泌功能,并消除了与 DED 发展相关的蛋白质的表达,包括α-平滑肌肌动蛋白和水通道蛋白 5。尽管 PSP 处理不能显著降低体重或体脂,但它通过维持 LG 的分泌功能、防止眼表面侵蚀和维持 LG 的结构,改善了 DED 的影响。PSP 处理增加了超氧化物歧化酶的水平,但降低了缺氧诱导因子 1-α的水平,表明 PSP 处理减轻了氧化应激。PSP 处理增加了 LG 组织中的 ABC 转运蛋白 1 和乙酰辅酶 A 羧化酶 1 的水平,表明 PSP 处理调节脂质稳态维持以减轻 DED 的影响。综上所述,PSP 处理通过调节 LG 中的氧化应激和脂质稳态改善了 HFD 诱导的 DED 效应。