• 文献检索
  • 文档翻译
  • 深度研究
  • 学术资讯
  • Suppr Zotero 插件Zotero 插件
  • 邀请有礼
  • 套餐&价格
  • 历史记录
应用&插件
Suppr Zotero 插件Zotero 插件浏览器插件Mac 客户端Windows 客户端微信小程序
定价
高级版会员购买积分包购买API积分包
服务
文献检索文档翻译深度研究API 文档MCP 服务
关于我们
关于 Suppr公司介绍联系我们用户协议隐私条款
关注我们

Suppr 超能文献

核心技术专利:CN118964589B侵权必究
粤ICP备2023148730 号-1Suppr @ 2026

文献检索

告别复杂PubMed语法,用中文像聊天一样搜索,搜遍4000万医学文献。AI智能推荐,让科研检索更轻松。

立即免费搜索

文件翻译

保留排版,准确专业,支持PDF/Word/PPT等文件格式,支持 12+语言互译。

免费翻译文档

深度研究

AI帮你快速写综述,25分钟生成高质量综述,智能提取关键信息,辅助科研写作。

立即免费体验

花提取物与5-氟尿嘧啶联合化疗在肉瘤180体内模型中的抗肿瘤特性

Antitumor Profile of Combined Flower Extract and 5-Fluorouracil Chemotherapy in Sarcoma 180 In Vivo Model.

作者信息

Santos Sara A, Amaral Ricardo G, Graça Ariel S, Gomes Silvana V F, Santana Fabrício P, de Oliveira Iza B, Andrade Luciana N, Severino Patrícia, de Albuquerque-Júnior Ricardo L C, Santos Sandra L, Souto Eliana B, Carvalho Adriana A

机构信息

Department of Physiology, Federal University of Sergipe, São Cristóvão CEP 49100-000, Brazil.

Institute de Technology and Research (ITP), Tiradentes University, Aracaju CEP 49100-000, Brazil.

出版信息

Toxics. 2023 Apr 14;11(4):375. doi: 10.3390/toxics11040375.

DOI:10.3390/toxics11040375
PMID:37112602
原文链接:https://pmc.ncbi.nlm.nih.gov/articles/PMC10141557/
Abstract

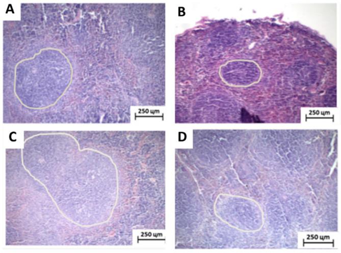
Medicinal plants have been commonly associated with chemotherapeutic treatments, as an approach to reduce the toxicological risks of classical anticancer drugs. The objective of this study was to evaluate the effects of combining the antineoplastic drug 5-fluorouracil (5-FU) with flowers extract (MRFE) to treat mice transplanted with sarcoma 180. Tumor inhibition, body and visceral mass variation, biochemical, hematological, and histopathological parameters were evaluated. The isolated 5-FU, 5-FU+MRFE 100 mg/kg/day, and 5-FU+MRFE 200 mg/kg/day reduced tumor growth; however, 5-FU+MRFE 200 mg/kg/day showed a more significant tumor reduction when compared to 5-FU alone. These results corroborated with the analysis of the tumor histopathological and immunodetection of the Ki67 antigen. In the toxicological analysis of the association 5-FU+MRFE 200 mg/kg/day, an intense loss of body mass was observed, possibly as a result of diarrhea. In addition, spleen atrophy, with a reduction in white pulp, leukopenia and thrombocytopenia, was observed in the 5-FU groups alone and associated with MRFE 200 mg/kg/day; however, there was no statistical difference between these groups. Therefore, the MRFE 200 mg/kg/day did not interfere in myelosuppressive action of 5-FU. In hematological analysis, body and visceral mass variation and biochemical parameters related to renal (urea and creatinine) and cardiac (CK-MB) function, no alteration was observed. In biochemical parameters related to liver function enzymes, there was a reduction in aspartate transaminase (AST) values in the 5-FU groups alone and associated with MRFE 200 mg/kg/day; however, there was no statistical difference between these groups. Therefore, the MRFE 200 mg/kg/day does not appear to influence enzyme reduction. The results of this study suggest that the association between the 5-FU+MRFE 200 can positively interfere with the antitumor activity, promoting the antineoplastic-induced reduction in body mass, while minimizing the toxicity of chemotherapy.

摘要

药用植物通常与化疗治疗相关联,作为一种降低传统抗癌药物毒理学风险的方法。本研究的目的是评估将抗肿瘤药物5-氟尿嘧啶(5-FU)与花朵提取物(MRFE)联合使用对移植肉瘤180的小鼠的治疗效果。评估了肿瘤抑制、身体和内脏质量变化、生化、血液学和组织病理学参数。单独使用5-FU、5-FU+MRFE 100mg/kg/天和5-FU+MRFE 200mg/kg/天均能抑制肿瘤生长;然而,与单独使用5-FU相比,5-FU+MRFE 200mg/kg/天显示出更显著的肿瘤缩小。这些结果与肿瘤组织病理学分析和Ki67抗原的免疫检测结果相符。在对5-FU+MRFE 200mg/kg/天联合用药的毒理学分析中,观察到体重严重下降,可能是腹泻所致。此外,单独使用5-FU组以及与200mg/kg/天的MRFE联合使用的组中均观察到脾脏萎缩,白髓减少,白细胞减少和血小板减少;然而,这些组之间没有统计学差异。因此,200mg/kg/天的MRFE不会干扰5-FU的骨髓抑制作用。在血液学分析、身体和内脏质量变化以及与肾脏(尿素和肌酐)和心脏(CK-MB)功能相关的生化参数方面,未观察到改变。在与肝功能酶相关的生化参数方面,单独使用5-FU组以及与200mg/kg/天的MRFE联合使用的组中天冬氨酸转氨酶(AST)值降低;然而,这些组之间没有统计学差异。因此,200mg/kg/天的MRFE似乎不会影响酶的降低。本研究结果表明,5-FU+MRFE 200联合使用可积极干扰抗肿瘤活性,促进抗肿瘤药物引起的体重减轻,同时将化疗毒性降至最低。

https://cdn.ncbi.nlm.nih.gov/pmc/blobs/d6f5/10141557/4b88d341c123/toxics-11-00375-g007.jpg
https://cdn.ncbi.nlm.nih.gov/pmc/blobs/d6f5/10141557/a248c2e4da5f/toxics-11-00375-g001.jpg
https://cdn.ncbi.nlm.nih.gov/pmc/blobs/d6f5/10141557/5eb04f147deb/toxics-11-00375-g002.jpg
https://cdn.ncbi.nlm.nih.gov/pmc/blobs/d6f5/10141557/b88891a2f5d2/toxics-11-00375-g003.jpg
https://cdn.ncbi.nlm.nih.gov/pmc/blobs/d6f5/10141557/582bd0a621a4/toxics-11-00375-g004.jpg
https://cdn.ncbi.nlm.nih.gov/pmc/blobs/d6f5/10141557/72edb7dd39f0/toxics-11-00375-g005.jpg
https://cdn.ncbi.nlm.nih.gov/pmc/blobs/d6f5/10141557/0f4a247217e4/toxics-11-00375-g006.jpg
https://cdn.ncbi.nlm.nih.gov/pmc/blobs/d6f5/10141557/4b88d341c123/toxics-11-00375-g007.jpg
https://cdn.ncbi.nlm.nih.gov/pmc/blobs/d6f5/10141557/a248c2e4da5f/toxics-11-00375-g001.jpg
https://cdn.ncbi.nlm.nih.gov/pmc/blobs/d6f5/10141557/5eb04f147deb/toxics-11-00375-g002.jpg
https://cdn.ncbi.nlm.nih.gov/pmc/blobs/d6f5/10141557/b88891a2f5d2/toxics-11-00375-g003.jpg
https://cdn.ncbi.nlm.nih.gov/pmc/blobs/d6f5/10141557/582bd0a621a4/toxics-11-00375-g004.jpg
https://cdn.ncbi.nlm.nih.gov/pmc/blobs/d6f5/10141557/72edb7dd39f0/toxics-11-00375-g005.jpg
https://cdn.ncbi.nlm.nih.gov/pmc/blobs/d6f5/10141557/0f4a247217e4/toxics-11-00375-g006.jpg
https://cdn.ncbi.nlm.nih.gov/pmc/blobs/d6f5/10141557/4b88d341c123/toxics-11-00375-g007.jpg

相似文献

1
Antitumor Profile of Combined Flower Extract and 5-Fluorouracil Chemotherapy in Sarcoma 180 In Vivo Model.花提取物与5-氟尿嘧啶联合化疗在肉瘤180体内模型中的抗肿瘤特性
Toxics. 2023 Apr 14;11(4):375. doi: 10.3390/toxics11040375.
2
In vitro and in vivo antitumor effect of 5-FU combined with piplartine and piperine.5-氟尿嘧啶联合荜澄茄素和胡椒碱的体外和体内抗肿瘤作用
J Appl Toxicol. 2008 Mar;28(2):156-63. doi: 10.1002/jat.1261.
3
Prevention by chitosan of myelotoxicity, gastrointestinal toxicity and immunocompetent organic toxicity induced by 5-fluorouracil without loss of antitumor activity in mice.壳聚糖对5-氟尿嘧啶诱导的小鼠骨髓毒性、胃肠道毒性和免疫活性器官毒性的预防作用,且不丧失其抗肿瘤活性。
Jpn J Cancer Res. 1999 Jul;90(7):765-74. doi: 10.1111/j.1349-7006.1999.tb00813.x.
4
[Invention of a tumor-selective 5-fluorouracil derivative named S-1 by biochemical modulation of 5-fluorouracil].[通过对5-氟尿嘧啶进行生化调控发明一种名为S-1的肿瘤选择性5-氟尿嘧啶衍生物]
Gan To Kagaku Ryoho. 1998 Feb;25(3):371-84.
5
[Effect of cepharanthine on antitumor activity of 1-(2-tetrahydrofuryl)-5-fluorouracil (FT-207)--5-fluorouracil delivery into tumor tissue].千金藤素对1-(2-四氢呋喃基)-5-氟尿嘧啶(FT-207)抗肿瘤活性的影响——5-氟尿嘧啶向肿瘤组织的递送
Nihon Gan Chiryo Gakkai Shi. 1989 Jul 20;24(7):1379-92.
6
Development of a novel form of an oral 5-fluorouracil derivative (S-1) directed to the potentiation of the tumor selective cytotoxicity of 5-fluorouracil by two biochemical modulators.一种新型口服5-氟尿嘧啶衍生物(S-1)的研发,该衍生物通过两种生化调节剂增强5-氟尿嘧啶的肿瘤选择性细胞毒性。
Anticancer Drugs. 1996 Jul;7(5):548-57. doi: 10.1097/00001813-199607000-00010.
7
Anticancer effects of 5-fluorouracil combined with warming and relieving cold phlegm formula on human breast cancer.5-氟尿嘧啶联合温化寒痰方对人乳腺癌的抗癌作用。
Chin J Integr Med. 2012 Aug;18(8):599-604. doi: 10.1007/s11655-011-0878-9. Epub 2011 Dec 8.
8
Anticancer activity and toxicity of S-1, an oral combination of tegafur and two biochemical modulators, compared with continuous i.v. infusion of 5-fluorouracil.替加氟与两种生化调节剂的口服复方制剂S-1的抗癌活性和毒性,与持续静脉输注5-氟尿嘧啶的比较。
Anticancer Drugs. 1998 Oct;9(9):817-23. doi: 10.1097/00001813-199810000-00012.
9
Qingjie Fuzheng Granule attenuates 5-fluorouracil-induced intestinal mucosal damage.清解扶正颗粒减轻 5-氟尿嘧啶诱导的肠黏膜损伤。
Biomed Pharmacother. 2019 Oct;118:109223. doi: 10.1016/j.biopha.2019.109223. Epub 2019 Jul 17.
10
Antitumor and anticytopenic effects of aqueous extracts of propolis in combination with chemotherapeutic agents.蜂胶水提取物与化疗药物联合使用的抗肿瘤和抗血细胞减少作用。
Cancer Biother Radiopharm. 2002 Oct;17(5):553-62. doi: 10.1089/108497802760804781.

引用本文的文献

1
Construction of lncRNA prognostic model related to disulfidptosis in lung adenocarcinoma.与肺腺癌中双硫死亡相关的lncRNA预后模型的构建
Heliyon. 2024 Aug 3;10(15):e35657. doi: 10.1016/j.heliyon.2024.e35657. eCollection 2024 Aug 15.
2
Efficacy of an aloe vera, chamomile, and thyme cosmetic cream for the prophylaxis and treatment of mild dermatitis induced by radiation therapy in breast cancer patients (the Alantel study).芦荟、洋甘菊和百里香美容霜对乳腺癌患者放射治疗引起的轻度皮炎的预防和治疗效果(阿兰特尔研究)
Contemp Clin Trials Commun. 2024 Apr 2;39:101288. doi: 10.1016/j.conctc.2024.101288. eCollection 2024 Jun.

本文引用的文献

1
Basal Cell Carcinoma: Pathology, Current Clinical Treatment, and Potential Use of Lipid Nanoparticles.基底细胞癌:病理学、当前临床治疗及脂质纳米颗粒的潜在应用
Cancers (Basel). 2022 Jun 3;14(11):2778. doi: 10.3390/cancers14112778.
2
Chamomile ( L.): A Review of Ethnomedicinal Use, Phytochemistry and Pharmacological Uses.洋甘菊(L.):民族药用、植物化学及药理用途综述
Life (Basel). 2022 Mar 25;12(4):479. doi: 10.3390/life12040479.
3
Lipid Nanocarriers for Hyperproliferative Skin Diseases.用于增生性皮肤病的脂质纳米载体
Cancers (Basel). 2021 Nov 10;13(22):5619. doi: 10.3390/cancers13225619.
4
The Spectrum of Malnutrition/Cachexia/Sarcopenia in Oncology According to Different Cancer Types and Settings: A Narrative Review.根据不同癌症类型和治疗环境,肿瘤患者营养不良/恶病质/肌肉减少症的范围:叙述性综述。
Nutrients. 2021 Jun 9;13(6):1980. doi: 10.3390/nu13061980.
5
Response and Toxicity to Cytarabine Therapy in Leukemia and Lymphoma: From Dose Puzzle to Pharmacogenomic Biomarkers.白血病和淋巴瘤中阿糖胞苷治疗的反应与毒性:从剂量难题到药物基因组生物标志物
Cancers (Basel). 2021 Feb 25;13(5):966. doi: 10.3390/cancers13050966.
6
Cancer Patients' Perspectives and Experiences of Chemotherapy-Induced Myelosuppression and Its Impact on Daily Life.癌症患者对化疗引起的骨髓抑制的看法、经历及其对日常生活的影响。
Patient Prefer Adherence. 2021 Feb 25;15:453-465. doi: 10.2147/PPA.S292462. eCollection 2021.
7
Anti-Tumor Efficiency of Perillylalcohol/β-Cyclodextrin Inclusion Complexes in a Sarcoma S180-Induced Mice Model.紫苏醇/β-环糊精包合物在肉瘤S180诱导小鼠模型中的抗肿瘤效果
Pharmaceutics. 2021 Feb 10;13(2):245. doi: 10.3390/pharmaceutics13020245.
8
Natural products in drug discovery: advances and opportunities.天然产物在药物发现中的应用:进展与机遇。
Nat Rev Drug Discov. 2021 Mar;20(3):200-216. doi: 10.1038/s41573-020-00114-z. Epub 2021 Jan 28.
9
Plant-Derived Natural Products in Cancer Research: Extraction, Mechanism of Action, and Drug Formulation.植物源天然产物在癌症研究中的应用:提取、作用机制和药物制剂。
Molecules. 2020 Nov 14;25(22):5319. doi: 10.3390/molecules25225319.
10
Cytotoxic, Antitumor and Toxicological Profile of Leaf Extract.叶提取物的细胞毒性、抗肿瘤及毒理学特征
Molecules. 2020 Oct 20;25(20):4814. doi: 10.3390/molecules25204814.