Suppr超能文献

乳腺癌血管超声特征与DNA测序之间的关联:一项初步研究。

Association between vascular ultrasound features and DNA sequencing in breast cancer: a preliminary study.

作者信息

Han Mi-Ryung, Park Ah Young, Seo Bo Kyoung, Bae Min Sun, Kim Jung Sun, Son Gil Soo, Lee Hye Yoon, Chang Young Woo, Cho Kyu Ran, Song Sung Eun, Woo Ok Hee, Ju Hye-Yeon, Oh Hyunseung

机构信息

Division of Life Sciences, College of Life Sciences and Bioengineering, Incheon National University, Incheon, Republic of Korea.

Department of Radiology, CHA Bundang Medical Center, CHA University, Seongnam, Republic of Korea.

出版信息

Discov Oncol. 2023 Apr 30;14(1):52. doi: 10.1007/s12672-023-00657-8.

Abstract

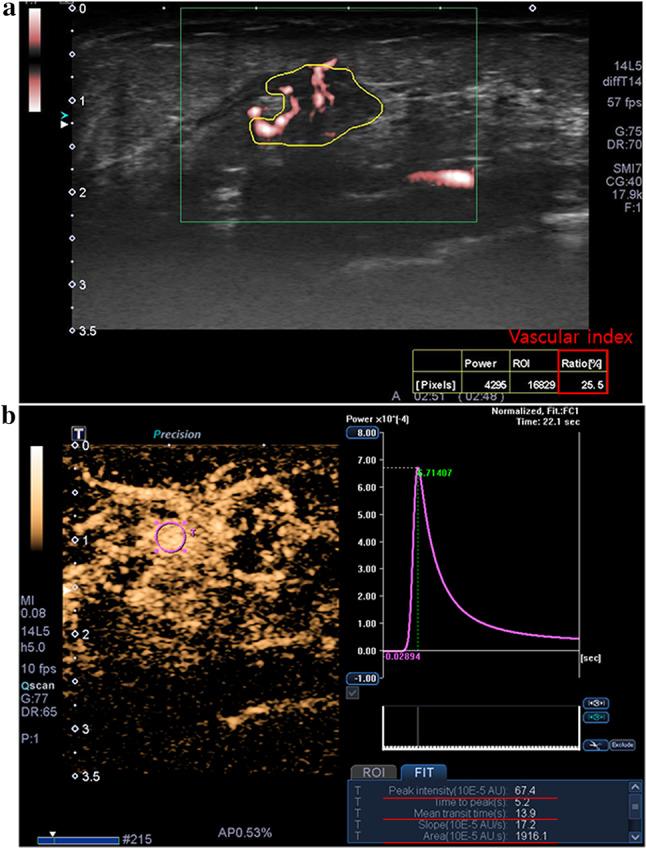
There are few radiogenomic studies to correlate ultrasound features of breast cancer with genomic changes. We investigated whether vascular ultrasound phenotypes are associated with breast cancer gene profiles for predicting angiogenesis and prognosis. We prospectively correlated quantitative and qualitative features of microvascular ultrasound (vascular index, vessel morphology, distribution, and penetrating vessel) and contrast-enhanced ultrasound (time-intensity curve parameters and enhancement pattern) with genomic characteristics in 31 breast cancers. DNA obtained from breast tumors and normal tissues were analyzed using targeted next-generation sequencing of 105 genes. The single-variant association test was used to identify correlations between vascular ultrasound features and genomic profiles. Chi-square analysis was used to detect single nucleotide polymorphisms (SNPs) associated with ultrasound features by estimating p values and odds ratios (ORs). Eight ultrasound features were significantly associated with 9 SNPs (p < 0.05). Among them, four ultrasound features were positively associated with 5 SNPs: high vascular index with rs1136201 in ERBB2 (p = 0.04, OR = 7.75); large area under the curve on contrast-enhanced ultrasound with rs35597368 in PDGFRA (p = 0.04, OR = 4.07); high peak intensity with rs35597368 in PDGFRA (p = 0.049, OR = 4.05) and rs2305948 in KDR (p = 0.04, OR = 5.10); and long mean transit time with rs2275237 in ARNT (p = 0.02, OR = 10.25) and rs755793 in FGFR2 (p = 0.02, OR = 10.25). We identified 198 non-silent SNPs in 71 various cancer-related genes. Vascular ultrasound features can reflect genomic changes associated with angiogenesis and prognosis in breast cancer.

摘要

很少有放射基因组学研究将乳腺癌的超声特征与基因组变化联系起来。我们研究了血管超声表型是否与乳腺癌基因谱相关,以预测血管生成和预后。我们前瞻性地将微血管超声的定量和定性特征(血管指数、血管形态、分布和穿入血管)以及超声造影(时间-强度曲线参数和增强模式)与31例乳腺癌的基因组特征进行了关联分析。使用针对105个基因的靶向二代测序分析从乳腺肿瘤和正常组织中获取的DNA。采用单变量关联检验来确定血管超声特征与基因组图谱之间的相关性。使用卡方分析通过估计p值和比值比(OR)来检测与超声特征相关的单核苷酸多态性(SNP)。八个超声特征与9个SNP显著相关(p < 0.05)。其中,四个超声特征与5个SNP呈正相关:血管指数高与ERBB2基因中的rs1136201相关(p = 0.04,OR = 7.75);超声造影下曲线下面积大与PDGFRA基因中的rs35597368相关(p = 0.04,OR = 4.07);峰值强度高与PDGFRA基因中的rs35597368(p = 0.049,OR = 4.05)以及KDR基因中的rs2305948相关(p = 0.04,OR = 5.10);平均通过时间长与ARNT基因中的rs2275237(p = 0.02,OR = 10.25)和FGFR2基因中的rs755793相关(p = 0.02,OR = 10.25)。我们在71个不同的癌症相关基因中鉴定出198个非同义SNP。血管超声特征可以反映与乳腺癌血管生成和预后相关的基因组变化。

https://cdn.ncbi.nlm.nih.gov/pmc/blobs/52da/10149538/fc318efd0f89/12672_2023_657_Fig1_HTML.jpg

文献AI研究员

20分钟写一篇综述,助力文献阅读效率提升50倍。

立即体验

用中文搜PubMed

大模型驱动的PubMed中文搜索引擎

马上搜索

文档翻译

学术文献翻译模型,支持多种主流文档格式。

立即体验