Suppr超能文献

一名年轻成年女性患者的副神经节瘤:病例报告

Paraganglioma in a Young Adult Female Patient: A Case Report.

作者信息

Stevens Christopher M, Malone Kevin, Wadhwa Reena D, Rinehouse Nathan A, Saad Aldine Amro, Sangster Guillermo

机构信息

Interventional Radiology, Louisiana State University Health Sciences Center, Shreveport, USA.

Biomedical Engineering, Louisiana State University Health Sciences Center, Shreveport, USA.

出版信息

Cureus. 2023 Mar 31;15(3):e36963. doi: 10.7759/cureus.36963. eCollection 2023 Mar.

Abstract

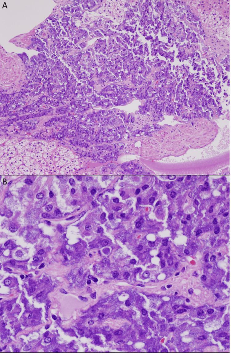
Paragangliomas are catecholamine-secreting neuroendocrine tumors that originate from the chromaffin cells of the sympathetic ganglia. Roughly 10% of paragangliomas are malignant, resulting in a rare occurrence of 90-95 cases per 400 million people. Herein, we report a case of a 29-year-old female patient who presented with nausea, vomiting, and bloating and was found to have a large left retroperitoneal tumor upon imaging. The tumor was successfully removed, and subsequent histological analysis was compatible with the presence of a paraganglioma. This case serves as a reminder that despite its rarity, paragangliomas should never be dismissed as a differential diagnosis if correlating symptoms and diagnostic findings are consistent with that of paraganglioma etiology.

摘要

副神经节瘤是一种分泌儿茶酚胺的神经内分泌肿瘤,起源于交感神经节的嗜铬细胞。大约10%的副神经节瘤是恶性的,每4亿人中仅有90 - 95例的罕见发病率。在此,我们报告一例29岁女性患者,该患者出现恶心、呕吐和腹胀症状,影像学检查发现左腹膜后有一个大肿瘤。肿瘤被成功切除,随后的组织学分析结果与副神经节瘤相符。该病例提醒我们,尽管副神经节瘤罕见,但如果相关症状和诊断结果与副神经节瘤病因一致,就绝不能排除其作为鉴别诊断的可能性。

https://cdn.ncbi.nlm.nih.gov/pmc/blobs/b136/10149090/ebb8b9386aa2/cureus-0015-00000036963-i01.jpg

文献AI研究员

20分钟写一篇综述,助力文献阅读效率提升50倍。

立即体验

用中文搜PubMed

大模型驱动的PubMed中文搜索引擎

马上搜索

文档翻译

学术文献翻译模型,支持多种主流文档格式。

立即体验