Komatsu Sei, Takahashi Satoru, Yutani Chikao, Ohara Tomoki, Takewa Mitsuhiko, Kodama Kazuhisa
Cardiovascular Center, Osaka Gyoumeikan Hospital, Osaka, JPN.
Cureus. 2023 May 1;15(5):e38365. doi: 10.7759/cureus.38365. eCollection 2023 May.
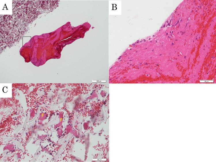
Few modalities have the capacity to demonstrate massive or fragmented thrombi to evaluate the effect of catheter-based or systemic thrombosis for pulmonary embolism (PE). We herein present a patient who underwent a thrombectomy for PE using a non-obstructive general angioscopy (NOGA) system. Small floating mobile thrombi were aspirated using the original method, and massive thrombi were aspirated using the NOGA system. Systemic thrombosis was also monitored via NOGA for 30 minutes. Detachment of thrombi from the wall of the pulmonary artery began two minutes after infusion of a recombinant tissue plasminogen activator (rt-PA). Six minutes after thrombolysis, the thrombi lost their erythematous color, and the white thrombi gradually floated and dissolved. NOGA-guided selective pulmonary thrombectomy and NOGA-monitored systemic thrombosis contributed to improved patient survival. Rapid systemic thrombosis for PE using rt-PA was also demonstrated by NOGA.
很少有检查方式能够显示大块或破碎的血栓,以评估基于导管或全身性血栓形成对肺栓塞(PE)的治疗效果。我们在此报告一名接受了使用非阻塞性通用血管内镜(NOGA)系统进行肺栓塞血栓切除术的患者。使用原始方法抽吸小的漂浮移动血栓,使用NOGA系统抽吸大块血栓。还通过NOGA监测全身性血栓形成30分钟。输注重组组织型纤溶酶原激活剂(rt-PA)两分钟后,肺动脉壁上的血栓开始脱落。溶栓六分钟后,血栓失去红斑颜色,白色血栓逐渐漂浮并溶解。NOGA引导的选择性肺血栓切除术和NOGA监测的全身性血栓形成有助于提高患者生存率。NOGA还证实了使用rt-PA对PE进行快速全身性血栓形成治疗。