Suppr超能文献

抗代谢型谷氨酸受体1脑炎:病例说明与系统评价

Anti-mGluR1 encephalitis: Case illustration and systematic review.

作者信息

Khojah Osama, Makkawi Seraj, Alghamdi Saeed

机构信息

College of Medicine, King Saud Bin Abdulaziz University for Health Sciences, Jeddah, Saudi Arabia.

King Abdullah International Medical Research Center, Jeddah, Saudi Arabia.

出版信息

Front Neurol. 2023 Apr 17;14:1142160. doi: 10.3389/fneur.2023.1142160. eCollection 2023.

Abstract

BACKGROUND

The literature for immune-mediated neurological disorders is evolving like no other field of neurological illnesses. Many new antibodies or disorders have been described in the last decade. The cerebellum is a brain structure susceptible to these immune-mediated pathologies, and anti-metabotropic glutamate receptor 1 (mGluR1) antibody has a predilection to the cerebellar tissue. Anti-mGluR1 encephalitis is a rare autoimmune disease affecting the central and peripheral nervous systems, triggering an acute or subacute cerebellar syndrome with varying degrees of severity. Anti-mGluR1 encephalitis is a rare autoimmune disease affecting the central nervous system. We aimed to systematically review reported cases of anti-mGluR1 encephalitis and summarize their clinical presentation, management, outcomes, and case reports.

METHODS

A search of the PubMed and Google Scholar databases was conducted and included all cases of anti-mGluR1 encephalitis published in English before October 1, 2022. A comprehensive systematic review was conducted using "metabotropic glutamate receptor type 1," "mGluR1," autoantibodies," "autoantibodies," "autoimmunity," and "antibody" as keywords. The risk of bias assessment of the evidence was performed using appropriate tools. The qualitative variables were presented as frequency and percentage.

RESULTS

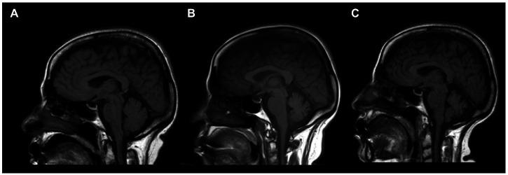
Including our case, 36 cases of anti-mGluR1 encephalitis (19 males, median age 52.5 years, 11.1% pediatric cases) have been reported. The most common clinical manifestations are ataxia, dysarthria, and nystagmus. Initial imaging was normal in 44.4% of patients; however, 75% of patients showed abnormality later in the disease course. The first-line therapy options include glucocorticoids, intravenous immunoglobulin, and plasma exchange. Rituximab is the most commonly used second-line treatment. Complete remission was achieved in only 22.2% of patients, and 61.8% were disabled by the end of their course.

CONCLUSION

Anti-mGluR1 encephalitis manifests as symptoms of cerebellar pathology. Although the natural history has not been completely elucidated, early diagnosis with prompt initiation of immunotherapy could be imperative. Any patient suspected to have autoimmune cerebellitis should be tested for the presence of anti-mGluR1 antibody in the serum and cerebrospinal fluid. Escalation to an aggressive therapy approach should be applied in cases that do not respond to first-line therapies, and extended follow-up durations are required in all cases.

摘要

背景

免疫介导的神经系统疾病领域的文献发展态势与其他神经系统疾病领域截然不同。在过去十年中,已发现许多新的抗体或疾病。小脑是一个易受这些免疫介导病变影响的脑结构,抗代谢型谷氨酸受体1(mGluR1)抗体尤其易侵袭小脑组织。抗mGluR1脑炎是一种罕见的自身免疫性疾病,可影响中枢和外周神经系统,引发严重程度各异的急性或亚急性小脑综合征。抗mGluR1脑炎是一种罕见的影响中枢神经系统的自身免疫性疾病。我们旨在系统回顾已报道的抗mGluR1脑炎病例,并总结其临床表现、治疗方法、治疗结果及病例报告。

方法

检索了PubMed和谷歌学术数据库,纳入了2022年10月1日前以英文发表的所有抗mGluR1脑炎病例。以“代谢型谷氨酸受体1”“mGluR1”“自身抗体”“自身免疫”和“抗体”为关键词进行了全面的系统回顾。使用适当的工具对证据的偏倚风险进行评估。定性变量以频率和百分比表示。

结果

包括我们的病例在内,共报道了36例抗mGluR1脑炎(19例男性,中位年龄52.5岁,11.1%为儿科病例)。最常见的临床表现为共济失调、构音障碍和眼球震颤。44.4%的患者初始影像学检查正常;然而,75%的患者在病程后期出现异常。一线治疗方案包括糖皮质激素、静脉注射免疫球蛋白和血浆置换。利妥昔单抗是最常用的二线治疗药物。仅22.2%的患者实现了完全缓解,61.8%的患者在病程结束时出现残疾。

结论

抗mGluR1脑炎表现为小脑病变症状。尽管其自然病程尚未完全阐明,但早期诊断并及时开始免疫治疗可能至关重要。任何疑似自身免疫性小脑炎的患者都应检测血清和脑脊液中抗mGluR1抗体的存在。对一线治疗无反应的病例应采用积极的治疗方法,所有病例都需要延长随访时间。

https://cdn.ncbi.nlm.nih.gov/pmc/blobs/6b85/10149714/34701cc40d22/fneur-14-1142160-g001.jpg

文献AI研究员

20分钟写一篇综述,助力文献阅读效率提升50倍。

立即体验

用中文搜PubMed

大模型驱动的PubMed中文搜索引擎

马上搜索

文档翻译

学术文献翻译模型,支持多种主流文档格式。

立即体验