• 文献检索
  • 文档翻译
  • 深度研究
  • 学术资讯
  • Suppr Zotero 插件Zotero 插件
  • 邀请有礼
  • 套餐&价格
  • 历史记录
应用&插件
Suppr Zotero 插件Zotero 插件浏览器插件Mac 客户端Windows 客户端微信小程序
定价
高级版会员购买积分包购买API积分包
服务
文献检索文档翻译深度研究API 文档MCP 服务
关于我们
关于 Suppr公司介绍联系我们用户协议隐私条款
关注我们

Suppr 超能文献

核心技术专利:CN118964589B侵权必究
粤ICP备2023148730 号-1Suppr @ 2026

文献检索

告别复杂PubMed语法,用中文像聊天一样搜索,搜遍4000万医学文献。AI智能推荐,让科研检索更轻松。

立即免费搜索

文件翻译

保留排版,准确专业,支持PDF/Word/PPT等文件格式,支持 12+语言互译。

免费翻译文档

深度研究

AI帮你快速写综述,25分钟生成高质量综述,智能提取关键信息,辅助科研写作。

立即免费体验

慢性应激通过β2-AR/CREB1 信号通路增强糖酵解促进结直肠癌进展。

Chronic stress promotes colorectal cancer progression by enhancing glycolysis through β2-AR/CREB1 signal pathway.

机构信息

Department of Medical Oncology, Shuguang Hospital, Shanghai University of Traditional Chinese Medicine, Shanghai, China.

Academy of Integrative Medicine, Shanghai University of Traditional Chinese Medicine, Shanghai, China.

出版信息

Int J Biol Sci. 2023 Apr 2;19(7):2006-2019. doi: 10.7150/ijbs.79583. eCollection 2023.

DOI:10.7150/ijbs.79583
PMID:37151872
原文链接:https://pmc.ncbi.nlm.nih.gov/articles/PMC10158030/
Abstract

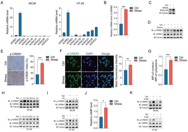
Colorectal cancer (CRC) is a common malignancy worldwide, and chronic stress has been considered as a significant risk factor for CRC. However, the role of chronic stress in CRC progression is unclear. The present study showed that pre-exposure to chronic stress facilitated CRC tumor growth in mice, and epinephrine promoted CRC cell proliferation . Metabolomics analysis revealed that chronic stress reshaped metabolic pathways to enhance glycolysis. Additional studies have shown that stress enhanced the expression levels of glycolytic-associated enzymes, including GLUT1, HK2 and PFKP. Mechanistically, chronic stress activated the β2-AR/PKA/CREB1 pathway, as a result, phosphorylated CREB1 transcriptional induced glycolytic enzymes expression. Furthermore, stress-induced cell proliferation and tumor growth could be reversed by administration of glycolysis inhibitor 2-deoxyglucose (2-DG) and β2-AR antagonist ICI118,551, respectively. Altogether, these findings define novel insights into the stress-induced epinephrine-mediated CRC progression from the point of view of tumor energy metabolism reprogramming and provide a perspective on targeting glycolysis as a potential approach in stress-associated CRC treatment.

摘要

结直肠癌(CRC)是一种常见的恶性肿瘤,慢性应激被认为是 CRC 的一个重要危险因素。然而,慢性应激在 CRC 进展中的作用尚不清楚。本研究表明,慢性应激预处理促进了小鼠 CRC 肿瘤的生长,肾上腺素促进了 CRC 细胞的增殖。代谢组学分析显示,慢性应激重塑了代谢途径以增强糖酵解。进一步的研究表明,应激增强了糖酵解相关酶的表达水平,包括 GLUT1、HK2 和 PFKP。在机制上,慢性应激激活了β2-AR/PKA/CREB1 途径,导致磷酸化 CREB1 转录诱导糖酵解酶的表达。此外,通过给予糖酵解抑制剂 2-脱氧葡萄糖(2-DG)和β2-AR 拮抗剂 ICI118,551,分别可以逆转应激诱导的细胞增殖和肿瘤生长。总之,这些发现从肿瘤能量代谢重编程的角度定义了应激诱导的肾上腺素介导的 CRC 进展的新见解,并为靶向糖酵解作为应激相关 CRC 治疗的一种潜在方法提供了一个视角。

https://cdn.ncbi.nlm.nih.gov/pmc/blobs/54f6/10158030/13c3dcf4d525/ijbsv19p2006g007.jpg
https://cdn.ncbi.nlm.nih.gov/pmc/blobs/54f6/10158030/c8347a1fe4c7/ijbsv19p2006g001.jpg
https://cdn.ncbi.nlm.nih.gov/pmc/blobs/54f6/10158030/1b7f428eb68f/ijbsv19p2006g002.jpg
https://cdn.ncbi.nlm.nih.gov/pmc/blobs/54f6/10158030/b736e37b62b5/ijbsv19p2006g003.jpg
https://cdn.ncbi.nlm.nih.gov/pmc/blobs/54f6/10158030/e7c3032e13ad/ijbsv19p2006g004.jpg
https://cdn.ncbi.nlm.nih.gov/pmc/blobs/54f6/10158030/7acd6a308624/ijbsv19p2006g005.jpg
https://cdn.ncbi.nlm.nih.gov/pmc/blobs/54f6/10158030/963f21bbbbd7/ijbsv19p2006g006.jpg
https://cdn.ncbi.nlm.nih.gov/pmc/blobs/54f6/10158030/13c3dcf4d525/ijbsv19p2006g007.jpg
https://cdn.ncbi.nlm.nih.gov/pmc/blobs/54f6/10158030/c8347a1fe4c7/ijbsv19p2006g001.jpg
https://cdn.ncbi.nlm.nih.gov/pmc/blobs/54f6/10158030/1b7f428eb68f/ijbsv19p2006g002.jpg
https://cdn.ncbi.nlm.nih.gov/pmc/blobs/54f6/10158030/b736e37b62b5/ijbsv19p2006g003.jpg
https://cdn.ncbi.nlm.nih.gov/pmc/blobs/54f6/10158030/e7c3032e13ad/ijbsv19p2006g004.jpg
https://cdn.ncbi.nlm.nih.gov/pmc/blobs/54f6/10158030/7acd6a308624/ijbsv19p2006g005.jpg
https://cdn.ncbi.nlm.nih.gov/pmc/blobs/54f6/10158030/963f21bbbbd7/ijbsv19p2006g006.jpg
https://cdn.ncbi.nlm.nih.gov/pmc/blobs/54f6/10158030/13c3dcf4d525/ijbsv19p2006g007.jpg

相似文献

1
Chronic stress promotes colorectal cancer progression by enhancing glycolysis through β2-AR/CREB1 signal pathway.慢性应激通过β2-AR/CREB1 信号通路增强糖酵解促进结直肠癌进展。
Int J Biol Sci. 2023 Apr 2;19(7):2006-2019. doi: 10.7150/ijbs.79583. eCollection 2023.
2
Effect of chronic restraint stress on human colorectal carcinoma growth in mice.慢性束缚应激对小鼠人结直肠癌生长的影响。
PLoS One. 2013 Apr 9;8(4):e61435. doi: 10.1371/journal.pone.0061435. Print 2013.
3
β2-AR-HIF-1α: a novel regulatory axis for stress-induced pancreatic tumor growth and angiogenesis.β2-AR-HIF-1α:应激诱导胰腺肿瘤生长和血管生成的新调控轴。
Curr Mol Med. 2013 Jul;13(6):1023-34. doi: 10.2174/15665240113139990055.
4
Selective β2-AR Blockage Suppresses Colorectal Cancer Growth Through Regulation of EGFR-Akt/ERK1/2 Signaling, G1-Phase Arrest, and Apoptosis.选择性β2-肾上腺素能受体阻断通过调节表皮生长因子受体-蛋白激酶B/细胞外信号调节激酶1/2信号传导、G1期阻滞和凋亡来抑制结直肠癌生长。
J Cell Physiol. 2016 Feb;231(2):459-72. doi: 10.1002/jcp.25092. Epub 2015 Sep 1.
5
S100A2 promotes glycolysis and proliferation via GLUT1 regulation in colorectal cancer.S100A2 通过调节 GLUT1 促进结直肠癌细胞的糖酵解和增殖。
FASEB J. 2020 Oct;34(10):13333-13344. doi: 10.1096/fj.202000555R. Epub 2020 Aug 20.
6
Histone demethylase JMJD2D activates HIF1 signaling pathway via multiple mechanisms to promote colorectal cancer glycolysis and progression.组蛋白去甲基酶 JMJD2D 通过多种机制激活 HIF1 信号通路,促进结直肠癌细胞的糖酵解和进展。
Oncogene. 2020 Nov;39(47):7076-7091. doi: 10.1038/s41388-020-01483-w. Epub 2020 Sep 28.
7
mA-dependent glycolysis enhances colorectal cancer progression.mA 依赖性糖酵解增强结直肠癌进展。
Mol Cancer. 2020 Apr 3;19(1):72. doi: 10.1186/s12943-020-01190-w.
8
PLOD2 promotes aerobic glycolysis and cell progression in colorectal cancer by upregulating HK2.PLD2 通过上调 HK2 促进结直肠癌细胞的有氧糖酵解和细胞进展。
Biochem Cell Biol. 2020 Jun;98(3):386-395. doi: 10.1139/bcb-2019-0256. Epub 2019 Nov 19.
9
NCAPD3 enhances Warburg effect through c-myc and E2F1 and promotes the occurrence and progression of colorectal cancer.NCAPD3 通过 c-myc 和 E2F1 增强糖酵解作用,促进结直肠癌的发生和发展。
J Exp Clin Cancer Res. 2022 Jun 11;41(1):198. doi: 10.1186/s13046-022-02412-3.
10
Tumor-intrinsic CD47 signal regulates glycolysis and promotes colorectal cancer cell growth and metastasis.肿瘤内在的 CD47 信号调节糖酵解,促进结直肠癌细胞生长和转移。
Theranostics. 2020 Mar 4;10(9):4056-4072. doi: 10.7150/thno.40860. eCollection 2020.

引用本文的文献

1
Pharmacological interventions targeting β-adrenoceptors in colorectal cancer: an evolving paradigm.针对结直肠癌中β-肾上腺素能受体的药物干预:一种不断发展的模式。
Inflammopharmacology. 2025 Sep 15. doi: 10.1007/s10787-025-01925-5.
2
Exploring Dietary and Lifestyle Profiles in Colorectal Cancer Patients: Hypothesis-Generating Insights for Tertiary Prevention.探索结直肠癌患者的饮食和生活方式概况:三级预防的假设生成性见解
Cancers (Basel). 2025 Aug 14;17(16):2654. doi: 10.3390/cancers17162654.
3
Phosphofructokinase-1 redefined: a metabolic hub orchestrating cancer hallmarks through multi-dimensional control networks.

本文引用的文献

1
Naringenin in Si-Ni-San formula inhibits chronic psychological stress-induced breast cancer growth and metastasis by modulating estrogen metabolism through FXR/EST pathway.和胃消痞方中的柚皮苷通过 FXR/EST 通路调节雌激素代谢抑制慢性心理应激诱导的乳腺癌生长和转移。
J Adv Res. 2023 May;47:189-207. doi: 10.1016/j.jare.2022.06.006. Epub 2022 Jun 16.
2
Hallmarks of Cancer: New Dimensions.癌症的特征:新视角。
Cancer Discov. 2022 Jan;12(1):31-46. doi: 10.1158/2159-8290.CD-21-1059.
3
Chronic Stress Effects on Tumor: Pathway and Mechanism.
磷酸果糖激酶-1的重新定义:一个通过多维控制网络协调癌症特征的代谢枢纽。
J Transl Med. 2025 Aug 6;23(1):873. doi: 10.1186/s12967-025-06897-2.
4
Effects of Chronic Low-Salinity Stress on Growth, Survival, Antioxidant Capacity, and Gene Expression in .慢性低盐胁迫对……生长、存活、抗氧化能力及基因表达的影响
Biology (Basel). 2025 Jun 25;14(7):759. doi: 10.3390/biology14070759.
5
Sympathetic nervous system in tumor progression and metabolic regulation: mechanisms and clinical potential.肿瘤进展和代谢调节中的交感神经系统:机制与临床潜力
J Transl Med. 2025 Jul 25;23(1):836. doi: 10.1186/s12967-025-06657-2.
6
Chronic stress: a fourth etiology in tumorigenesis?慢性应激:肿瘤发生的第四种病因?
Mol Cancer. 2025 Jul 17;24(1):196. doi: 10.1186/s12943-025-02402-x.
7
Metabolic reprogramming in colorectal cancer: a review of aerobic glycolysis and its therapeutic implications for targeted treatment strategies.结直肠癌中的代谢重编程:有氧糖酵解及其对靶向治疗策略的治疗意义综述
Cell Death Discov. 2025 Jul 14;11(1):321. doi: 10.1038/s41420-025-02623-5.
8
Recent advances in the development and application of colorectal cancer mouse models.结直肠癌小鼠模型开发与应用的最新进展
Front Pharmacol. 2025 May 8;16:1553637. doi: 10.3389/fphar.2025.1553637. eCollection 2025.
9
Molecular mechanisms and clinical value of the correlation between depression and cancer.抑郁症与癌症相关性的分子机制及临床价值
Med Oncol. 2025 May 17;42(6):214. doi: 10.1007/s12032-025-02763-9.
10
Molecular mechanisms of the Xiao-chai-hu-tang on chronic stress-induced colorectal cancer growth based on an integrated network pharmacology and RNA sequencing approach with experimental validation.基于整合网络药理学和RNA测序方法并经实验验证的小柴胡汤对慢性应激诱导的结直肠癌生长的分子机制
BMC Complement Med Ther. 2025 Apr 12;25(1):135. doi: 10.1186/s12906-025-04860-8.
慢性应激对肿瘤的影响:途径与机制
Front Oncol. 2021 Dec 20;11:738252. doi: 10.3389/fonc.2021.738252. eCollection 2021.
4
Environmental eustress modulates β-ARs/CCL2 axis to induce anti-tumor immunity and sensitize immunotherapy against liver cancer in mice.环境正性应激通过调节β-ARs/CCL2 轴诱导抗肿瘤免疫,增强免疫疗法治疗肝癌的作用。
Nat Commun. 2021 Sep 30;12(1):5725. doi: 10.1038/s41467-021-25967-9.
5
Xiao-Chai-Hu-Tang ameliorates tumor growth in cancer comorbid depressive symptoms via modulating gut microbiota-mediated TLR4/MyD88/NF-κB signaling pathway.小柴胡汤通过调节肠道微生物群介导的 TLR4/MyD88/NF-κB 信号通路改善癌症合并抑郁症状中的肿瘤生长。
Phytomedicine. 2021 Jul 15;88:153606. doi: 10.1016/j.phymed.2021.153606. Epub 2021 May 24.
6
Serotonin/HTR1E signaling blocks chronic stress-promoted progression of ovarian cancer.血清素/5-HT1E 信号通路阻断慢性应激促进的卵巢癌进展。
Theranostics. 2021 May 8;11(14):6950-6965. doi: 10.7150/thno.58956. eCollection 2021.
7
Major Depression and Survival in People With Cancer.癌症患者中的重度抑郁症与生存。
Psychosom Med. 2021 Jun 1;83(5):410-416. doi: 10.1097/PSY.0000000000000942.
8
Norepinephrine Enhances Aerobic Glycolysis and May Act as a Predictive Factor for Immunotherapy in Gastric Cancer.去甲肾上腺素增强有氧糖酵解,并可能作为胃癌免疫治疗的预测因子。
J Immunol Res. 2021 Mar 27;2021:5580672. doi: 10.1155/2021/5580672. eCollection 2021.
9
Global Cancer Statistics 2020: GLOBOCAN Estimates of Incidence and Mortality Worldwide for 36 Cancers in 185 Countries.《全球癌症统计数据 2020:全球 185 个国家和地区 36 种癌症的发病率和死亡率估计》。
CA Cancer J Clin. 2021 May;71(3):209-249. doi: 10.3322/caac.21660. Epub 2021 Feb 4.
10
Complex roles of cAMP-PKA-CREB signaling in cancer.环磷酸腺苷-蛋白激酶A-环磷腺苷效应元件结合蛋白信号通路在癌症中的复杂作用
Exp Hematol Oncol. 2020 Nov 24;9(1):32. doi: 10.1186/s40164-020-00191-1.