Suppr超能文献

伴有胃肠道转移的肺鳞状细胞癌:一例报告并文献复习

Squamous cell lung carcinoma with gastrointestinal metastasis: a case report and review of literature.

作者信息

Li Feifei, Liu Yiqiang, Xu Ke, Yao Quan, Li Qiang, Wu Hong

机构信息

Sichuan Cancer Hospital & Institute Sichuan Cancer Center, School of Medicine University of Electronic Science and Technology, Chengdu, Sichuan, China.

Collaborative Innovation Centre of Regenerative Medicine and Medical BioResource Development and Application Co-constructed by the Province and Ministry, Guangxi Medical University, Nanning, Guangxi, China.

出版信息

Front Oncol. 2023 Apr 21;13:1138871. doi: 10.3389/fonc.2023.1138871. eCollection 2023.

Abstract

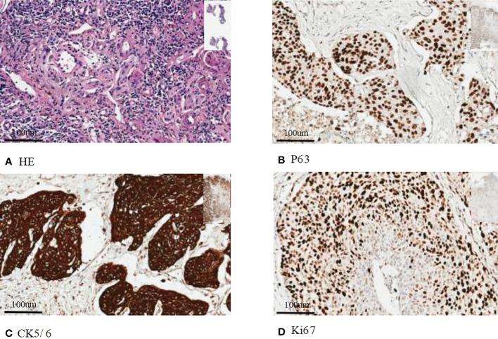
Squamous cell lung carcinoma (LUSC) originates from squamous cells and has a high rate of metastasis and recurrence. The lack of effective genetic targets and specific therapies has resulted in a poor prognosis for patients with LUSC. Gastrointestinal metastasis of LUSC is a rare occurrence in clinical practice. Patients with gastrointestinal metastasis usually have worse overall survival and the process of diagnosis is more complicated than those with metastasis elsewhere. What's more, there are no helpful guidelines for treating patients with a clinically confirmed diagnosis of gastrointestinal metastasis, which means the treatment method is limited. Here, we review the clinical features, diagnosis, and treatment of LUSC patients with gastrointestinal metastasis and report a rare case of LUSC accompanied by gastrointestinal metastasis. The patient was admitted to the hospital with coughing and hemoptysis. A tumor was found in his lung, and lesions were initially controlled with standard treatment. The patient's tumor re-occurred again shortly for which treatment was lacking. Without effective treatment methods, the disease was difficult to control. Our learnings from the case demonstrate that LUSC metastasizes to secondary lymphoid organs of the gastrointestinal tract, usually with a poor prognosis.

摘要

肺鳞状细胞癌(LUSC)起源于鳞状细胞,具有较高的转移和复发率。缺乏有效的基因靶点和特异性治疗方法导致LUSC患者预后较差。LUSC的胃肠道转移在临床实践中较为罕见。发生胃肠道转移的患者总体生存率通常更差,且诊断过程比发生其他部位转移的患者更为复杂。此外,对于临床确诊为胃肠道转移的患者,尚无有效的治疗指南,这意味着治疗方法有限。在此,我们回顾了LUSC胃肠道转移患者的临床特征、诊断和治疗,并报告了1例罕见的LUSC伴胃肠道转移病例。该患者因咳嗽和咯血入院。在其肺部发现肿瘤,最初通过标准治疗控制了病变。患者的肿瘤很快再次复发,而当时缺乏相应的治疗方法。由于没有有效的治疗手段,疾病难以得到控制。我们从该病例中认识到,LUSC转移至胃肠道的二级淋巴器官,通常预后较差。

https://cdn.ncbi.nlm.nih.gov/pmc/blobs/043f/10160372/9445949c161a/fonc-13-1138871-g001.jpg

文献AI研究员

20分钟写一篇综述,助力文献阅读效率提升50倍。

立即体验

用中文搜PubMed

大模型驱动的PubMed中文搜索引擎

马上搜索

文档翻译

学术文献翻译模型,支持多种主流文档格式。

立即体验