Suppr超能文献

新型冠状病毒肺炎:高分辨率计算机断层扫描结果与临床预后的相关性及实质模式演变分析

COVID-19: Correlation between HRCT findings and clinical prognosis and analysis of parenchymal pattern evolution.

作者信息

Picchi Stefano Giusto, Lassandro Giulia, Corvino Antonio, Tafuri Domenico, Caruso Martina, Faggian Guido, Cocco Giulio, Pizzi Andrea Delli, Gallo Luigi, Quassone Pasquale, Boccatonda Andrea, Minguzzi Maria Teresa

机构信息

Department of Radiology, Ospedale del Mare, ASL NA1 Centro, Naples, Italy.

Department of Movement Sciences and Wellbeing, University of Naples "Parthenope", Naples, Italy.

出版信息

J Clin Imaging Sci. 2023 Mar 31;13:10. doi: 10.25259/JCIS_22_2023. eCollection 2023.

Abstract

OBJECTIVES

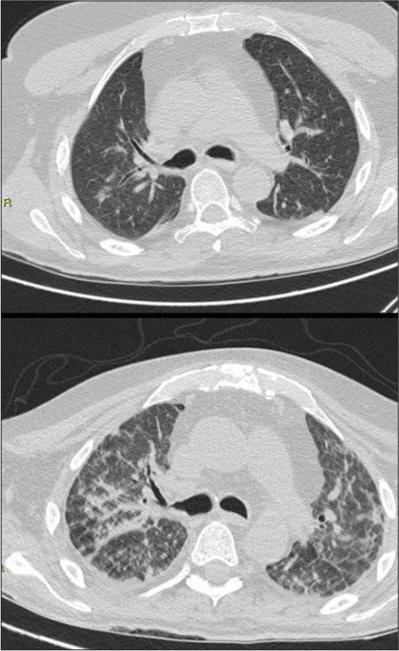
Severe acute respiratory syndrome - coronavirus 2 (SARS-CoV-2) is a single-stranded positive ribonucleic acid virus of the coronaviridae family. The disease caused by this virus has been named by the World Health Organization coronavirus disease 19 (COVID-19), whose main manifestation is interstitial pneumonia. Aim of this study is to describe the radiological features of SARS-CoV-2 infection in its original form, to correlate the high-resolution computed tomography (HRCT) patterns with clinical findings, prognosis and mortality, and to establish the need for treatment and admission to the intensive care unit.

MATERIAL AND METHODS

From March 2020 to May 2020, 193 patients (72 F and 121 M) who were swab positive for SARS-CoV-2 were retrospectively selected for our study. These patients underwent HRCT in the clinical suspicion of SARS-CoV-2 interstitial pneumonia.

RESULTS

Our results confirm the role of radiology and, in particular, of chest HRCT as a technique with high sensitivity in the recognition of the most peculiar features of COVID-19 pneumonia, in the evaluation of severity of the disease, in the correct interpretation of temporal changes of the radiological picture during the follow-up until the resolution, and in obtaining prognostic information, also to direct the treatment.

CONCLUSION

Chest computed tomography cannot be considered as a substitute for real-time - polymerase chain reaction in the diagnosis of COVID-19, but rather supplementary to it in the diagnostic process as it can detect parenchymal changes at an early stage and even before the positive swab, at least for patients who have been symptomatic for more than 3 days.

摘要

目的

严重急性呼吸综合征冠状病毒2(SARS-CoV-2)是冠状病毒科的一种单链正核糖核酸病毒。由该病毒引起的疾病已被世界卫生组织命名为冠状病毒病19(COVID-19),其主要表现为间质性肺炎。本研究的目的是描述SARS-CoV-2感染的原始放射学特征,将高分辨率计算机断层扫描(HRCT)模式与临床发现、预后和死亡率相关联,并确定治疗需求和重症监护病房收治需求。

材料与方法

2020年3月至2020年5月,回顾性选取193例SARS-CoV-2拭子检测呈阳性的患者(72例女性和121例男性)纳入本研究。这些患者在临床怀疑患有SARS-CoV-2间质性肺炎时接受了HRCT检查。

结果

我们的结果证实了放射学,尤其是胸部HRCT作为一种技术在识别COVID-19肺炎最特殊特征、评估疾病严重程度、正确解释随访期间直至病情缓解的放射影像的时间变化以及获取预后信息以指导治疗方面具有高灵敏度。

结论

胸部计算机断层扫描在COVID-19诊断中不能被视为实时聚合酶链反应的替代方法,而应作为其诊断过程中的补充,因为它可以在早期甚至在拭子检测呈阳性之前检测到实质改变,至少对于有症状超过3天的患者是这样。

https://cdn.ncbi.nlm.nih.gov/pmc/blobs/b701/10159294/73f1cde8caa3/JCIS-13-10-g001.jpg

文献AI研究员

20分钟写一篇综述,助力文献阅读效率提升50倍。

立即体验

用中文搜PubMed

大模型驱动的PubMed中文搜索引擎

马上搜索

文档翻译

学术文献翻译模型,支持多种主流文档格式。

立即体验