• 文献检索
  • 文档翻译
  • 深度研究
  • 学术资讯
  • Suppr Zotero 插件Zotero 插件
  • 邀请有礼
  • 套餐&价格
  • 历史记录
应用&插件
Suppr Zotero 插件Zotero 插件浏览器插件Mac 客户端Windows 客户端微信小程序
定价
高级版会员购买积分包购买API积分包
服务
文献检索文档翻译深度研究API 文档MCP 服务
关于我们
关于 Suppr公司介绍联系我们用户协议隐私条款
关注我们

Suppr 超能文献

核心技术专利:CN118964589B侵权必究
粤ICP备2023148730 号-1Suppr @ 2026

文献检索

告别复杂PubMed语法,用中文像聊天一样搜索,搜遍4000万医学文献。AI智能推荐,让科研检索更轻松。

立即免费搜索

文件翻译

保留排版,准确专业,支持PDF/Word/PPT等文件格式,支持 12+语言互译。

免费翻译文档

深度研究

AI帮你快速写综述,25分钟生成高质量综述,智能提取关键信息,辅助科研写作。

立即免费体验

伴有FN1-ALK基因融合的膀胱炎性肌成纤维细胞瘤:一例报告

Inflammatory myofibroblastic tumor of the urinary bladder with FN1‑ALK gene fusion: A case report.

作者信息

Son Seung-Myoung, Woo Chang Gok, Lee Ok-Jun, Kim Yong June, Lee Ho-Chang

机构信息

Department of Pathology, Chungbuk National University Hospital, Chungbuk National University College of Medicine, Cheongju, North Chungcheong 28644, Republic of Korea.

Department of Urology, Chungbuk National University Hospital, Chungbuk National University College of Medicine, Cheongju, North Chungcheong 28644, Republic of Korea.

出版信息

Oncol Lett. 2023 Apr 13;25(6):227. doi: 10.3892/ol.2023.13813. eCollection 2023 Jun.

DOI:10.3892/ol.2023.13813
PMID:37153035
原文链接:https://pmc.ncbi.nlm.nih.gov/articles/PMC10157617/
Abstract

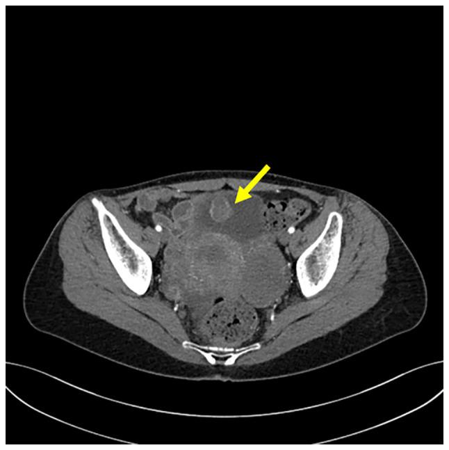
Inflammatory myofibroblastic tumors (IMTs), which are rare tumors, exhibit myofibroblastic differentiation, often with anaplastic lymphoma kinase (ALK) gene rearrangements. A subset of IMTs identified in the urinary tract have been shown to harbor a fibronectin 1 (FN1)-ALK gene fusion. In this case report, a case of an IMT with FN1-ALK fusion in the urinary bladder was presented, and its clinicopathological characteristics were reviewed. A 45-year-old female was referred to Chungbuk National University Hospital with gross hematuria. Cystoscopy revealed a solid mass in the bladder. The patient subsequently underwent transurethral resection of the lesion. The mass comprised stellate and spindled myofibroblastic cells that were arranged in loose fascicles, with a myxoid background and a mixed inflammatory infiltrate. Immunohistochemical analysis revealed that the tumor cells were positive for vimentin, cytokeratin AE1/AE3 and ALK, and focal-positive for desmin. Targeted next-generation sequencing was subsequently employed to identify the FN1-ALK fusion. To date, the patient has undergone outpatient follow-up for 18 months, with no signs of tumor recurrence. To conclude, in total, FN1 has been identified as an ALK fusion partner almost exclusively in cases of genitourinary IMTs [13 bladder IMTs (including the present case) and two uterine IMTs]. In the present case, the FN1-ALK fusion was found to involve ALK exon 19 and FN1 exon 23. By contrast, the majority of the other IMTs with an ALK fusion have involved ALK exon 20, whereas ALK fusion involving ALK exon 18 or 19 has been reported only in genitourinary IMTs. Therefore, the FN1-ALK fusion involving ALK exon 18 or 19 may be specific to a subset of IMTs arising in the urinary bladder.

摘要

炎性肌成纤维细胞瘤(IMTs)是一种罕见肿瘤,具有肌成纤维细胞分化特征,常伴有间变性淋巴瘤激酶(ALK)基因重排。已证实在泌尿道中发现的一部分IMTs含有纤连蛋白1(FN1)-ALK基因融合。在本病例报告中,呈现了1例膀胱中存在FN1-ALK融合的IMT病例,并对其临床病理特征进行了回顾。一名45岁女性因肉眼血尿被转诊至忠北国立大学医院。膀胱镜检查发现膀胱内有一实性肿块。该患者随后接受了经尿道病变切除术。肿块由星状和梭形肌成纤维细胞组成,这些细胞排列成疏松束状,伴有黏液样背景和混合性炎性浸润。免疫组织化学分析显示肿瘤细胞波形蛋白、细胞角蛋白AE1/AE3和ALK呈阳性,结蛋白呈局灶性阳性。随后采用靶向二代测序来鉴定FN1-ALK融合。迄今为止,该患者已接受门诊随访18个月,无肿瘤复发迹象。总之,总共已确定FN1几乎仅在泌尿生殖系统IMT病例中作为ALK融合伴侣[13例膀胱IMT(包括本病例)和2例子宫IMT]。在本病例中,发现FN1-ALK融合涉及ALK外显子19和FN1外显子23。相比之下,其他大多数具有ALK融合的IMTs涉及ALK外显子20,而涉及ALK外显子18或19的ALK融合仅在泌尿生殖系统IMTs中有报道。因此,涉及ALK外显子18或19的FN1-ALK融合可能是膀胱中出现的一部分IMTs所特有的。

https://cdn.ncbi.nlm.nih.gov/pmc/blobs/0add/10157617/6f562e1e694a/ol-25-06-13813-g03.jpg
https://cdn.ncbi.nlm.nih.gov/pmc/blobs/0add/10157617/32e3aeb4fad8/ol-25-06-13813-g00.jpg
https://cdn.ncbi.nlm.nih.gov/pmc/blobs/0add/10157617/516a39ea8de8/ol-25-06-13813-g01.jpg
https://cdn.ncbi.nlm.nih.gov/pmc/blobs/0add/10157617/8775764c6c85/ol-25-06-13813-g02.jpg
https://cdn.ncbi.nlm.nih.gov/pmc/blobs/0add/10157617/6f562e1e694a/ol-25-06-13813-g03.jpg
https://cdn.ncbi.nlm.nih.gov/pmc/blobs/0add/10157617/32e3aeb4fad8/ol-25-06-13813-g00.jpg
https://cdn.ncbi.nlm.nih.gov/pmc/blobs/0add/10157617/516a39ea8de8/ol-25-06-13813-g01.jpg
https://cdn.ncbi.nlm.nih.gov/pmc/blobs/0add/10157617/8775764c6c85/ol-25-06-13813-g02.jpg
https://cdn.ncbi.nlm.nih.gov/pmc/blobs/0add/10157617/6f562e1e694a/ol-25-06-13813-g03.jpg

相似文献

1
Inflammatory myofibroblastic tumor of the urinary bladder with FN1‑ALK gene fusion: A case report.伴有FN1-ALK基因融合的膀胱炎性肌成纤维细胞瘤:一例报告
Oncol Lett. 2023 Apr 13;25(6):227. doi: 10.3892/ol.2023.13813. eCollection 2023 Jun.
2
Pseudosarcomatous myofibroblastic proliferations of the urinary bladder are neoplasms characterized by recurrent FN1-ALK fusions.膀胱假肉瘤性肌纤维母细胞增生性肿瘤为具有反复出现 FN1-ALK 融合的肿瘤。
Mod Pathol. 2021 Feb;34(2):469-477. doi: 10.1038/s41379-020-00670-0. Epub 2020 Sep 9.
3
Uterine Inflammatory Myofibroblastic Neoplasms With Aggressive Behavior, Including an Epithelioid Inflammatory Myofibroblastic Sarcoma: A Clinicopathologic Study of 9 Cases.具有侵袭性行为的子宫炎性肌纤维母细胞瘤,包括上皮样炎性肌纤维母细胞肉瘤:9 例临床病理研究。
Am J Surg Pathol. 2022 Jan 1;46(1):105-117. doi: 10.1097/PAS.0000000000001756.
4
Inflammatory myofibroblastic tumors of the urinary tract: a clinicopathologic study of 46 cases, including a malignant example inflammatory fibrosarcoma and a subset associated with high-grade urothelial carcinoma.尿路炎性肌纤维母细胞瘤:46例临床病理研究,包括1例恶性炎性纤维肉瘤及1例与高级别尿路上皮癌相关的亚型。
Am J Surg Pathol. 2006 Dec;30(12):1502-12. doi: 10.1097/01.pas.0000213280.35413.1b.
5
A novel fusion of HNRNPA1-ALK in inflammatory myofibroblastic tumor of urinary bladder.膀胱炎性肌纤维母细胞瘤中HNRNPA1-ALK的新型融合
Hum Pathol. 2017 Nov;69:96-100. doi: 10.1016/j.humpath.2017.04.022. Epub 2017 May 10.
6
Inflammatory myofibroblastic tumors of the urinary bladder: a systematic review.膀胱炎性肌纤维母细胞瘤:一项系统综述
Urology. 2014 Sep;84(3):503-8. doi: 10.1016/j.urology.2014.05.039.
7
FN1: a novel fusion partner of ALK in an inflammatory myofibroblastic tumor.脚注1:炎症性肌纤维母细胞瘤中ALK的一种新型融合伴侣。
Pediatr Blood Cancer. 2015 May;62(5):909-11. doi: 10.1002/pbc.25424. Epub 2015 Feb 14.
8
Primary inflammatory myofibroblastic tumour of the liver: a clinicopathological and genetic study including a subset with ETV6::NTRK3 fusion.肝脏原发性炎症性肌纤维母细胞瘤:临床病理和遗传学研究,包括一组具有 ETV6::NTRK3 融合的肿瘤。
Histopathology. 2023 May;82(6):925-936. doi: 10.1111/his.14881. Epub 2023 Feb 21.
9
Pediatric inflammatory myofibroblastic tumor of the bladder with ALK-FN1 fusion successfully treated by alectinib.用阿来替尼成功治疗的伴有ALK-FN1融合的小儿膀胱炎性肌纤维母细胞瘤
Pediatr Blood Cancer. 2023 Apr;70(4):e30172. doi: 10.1002/pbc.30172. Epub 2023 Jan 12.
10
PD-L1 expression and CD8+ tumor-infiltrating lymphocytes are associated with ALK rearrangement and clinicopathological features in inflammatory myofibroblastic tumors.程序性死亡受体配体1(PD-L1)表达及CD8 +肿瘤浸润淋巴细胞与炎性肌纤维母细胞瘤中的间变性淋巴瘤激酶(ALK)重排及临床病理特征相关。
Oncotarget. 2017 Sep 15;8(52):89465-89474. doi: 10.18632/oncotarget.20948. eCollection 2017 Oct 27.

引用本文的文献

1
Therapeutic strategy and prognostic analysis of inflammatory myofibroblastic tumor in the head and neck: a retrospective study.头颈部炎性肌纤维母细胞瘤的治疗策略与预后分析:一项回顾性研究
PeerJ. 2025 Apr 18;13:e19315. doi: 10.7717/peerj.19315. eCollection 2025.
2
Pediatric Inflammatory Myofibroblastic Tumor of Rectosigmoid Junction: A Case Report and Review of the Literature.直肠乙状结肠交界处小儿炎性肌纤维母细胞瘤:一例报告并文献复习
Iran J Pathol. 2024 Winter;19(1):132-136. doi: 10.30699/ijp.2024.2003653.3122. Epub 2023 Dec 29.

本文引用的文献

1
Uterine Leiomyosarcoma with FN1-Anaplastic Lymphoma Kinase Fusion Responsive to Alectinib and Lorlatinib.具有FN1-间变性淋巴瘤激酶融合的子宫平滑肌肉瘤对阿来替尼和劳拉替尼有反应。
Case Rep Oncol. 2021 Jun 11;14(2):812-819. doi: 10.1159/000516758. eCollection 2021 May-Aug.
2
Inflammatory Myofibroblastic Tumor of the Bladder With FN1-ALK Gene Fusion: Different Response to ALK Inhibition.膀胱炎性肌纤维母细胞瘤伴 FN1-ALK 基因融合:对 ALK 抑制的不同反应。
Urology. 2020 Dec;146:32-35. doi: 10.1016/j.urology.2020.09.026. Epub 2020 Sep 30.
3
Pseudosarcomatous myofibroblastic proliferations of the urinary bladder are neoplasms characterized by recurrent FN1-ALK fusions.
膀胱假肉瘤性肌纤维母细胞增生性肿瘤为具有反复出现 FN1-ALK 融合的肿瘤。
Mod Pathol. 2021 Feb;34(2):469-477. doi: 10.1038/s41379-020-00670-0. Epub 2020 Sep 9.
4
TERT promoter mutation analysis as a surrogate to morphology and immunohistochemistry in problematic spindle cell lesions of the urinary bladder.TERT 启动子突变分析作为形态学和免疫组织化学在膀胱有问题的梭形细胞病变中的替代方法。
Histopathology. 2020 Dec;77(6):949-962. doi: 10.1111/his.14206. Epub 2020 Sep 22.
5
ALK Fusion Partners Impact Response to ALK Inhibition: Differential Effects on Sensitivity, Cellular Phenotypes, and Biochemical Properties.ALK 融合伙伴对 ALK 抑制的反应影响:对敏感性、细胞表型和生化特性的差异影响。
Mol Cancer Res. 2018 Nov;16(11):1724-1736. doi: 10.1158/1541-7786.MCR-18-0171. Epub 2018 Jul 12.
6
A novel fusion of HNRNPA1-ALK in inflammatory myofibroblastic tumor of urinary bladder.膀胱炎性肌纤维母细胞瘤中HNRNPA1-ALK的新型融合
Hum Pathol. 2017 Nov;69:96-100. doi: 10.1016/j.humpath.2017.04.022. Epub 2017 May 10.
7
Uterine Inflammatory Myofibroblastic Tumors Frequently Harbor ALK Fusions With IGFBP5 and THBS1.子宫炎性肌纤维母细胞瘤常携带 ALK 融合基因,与 IGFBP5 和 THBS1 相关。
Am J Surg Pathol. 2017 Jun;41(6):773-780. doi: 10.1097/PAS.0000000000000801.
8
Molecular characterization of inflammatory myofibroblastic tumors with frequent ALK and ROS1 gene fusions and rare novel RET rearrangement.具有频繁间变性淋巴瘤激酶(ALK)和ROS1基因融合以及罕见新型RET重排的炎性肌纤维母细胞瘤的分子特征
Am J Surg Pathol. 2015 Jul;39(7):957-67. doi: 10.1097/PAS.0000000000000404.
9
FN1: a novel fusion partner of ALK in an inflammatory myofibroblastic tumor.脚注1:炎症性肌纤维母细胞瘤中ALK的一种新型融合伴侣。
Pediatr Blood Cancer. 2015 May;62(5):909-11. doi: 10.1002/pbc.25424. Epub 2015 Feb 14.
10
Inflammatory myofibroblastic tumors of the urinary bladder: a systematic review.膀胱炎性肌纤维母细胞瘤:一项系统综述
Urology. 2014 Sep;84(3):503-8. doi: 10.1016/j.urology.2014.05.039.