Suppr超能文献

1例伴有弥散性血管内凝血以及神经和心脏受累的TAFRO综合征病例。

A case of TAFRO syndrome with DIC and neurologic and cardiac involvement.

作者信息

Moy Lindsay N, Patel Mauli, Eschbach Josiah, Knouse Phillip, Gálvez Ángel

机构信息

Internal Medicine Department at Advocate Lutheran General Hospital Park Ridge Illinois USA.

Hematology and Oncology Department at Advocate Lutheran General Hospital Park Ridge Illinois USA.

出版信息

Clin Case Rep. 2023 May 10;11(5):e07340. doi: 10.1002/ccr3.7340. eCollection 2023 May.

Abstract

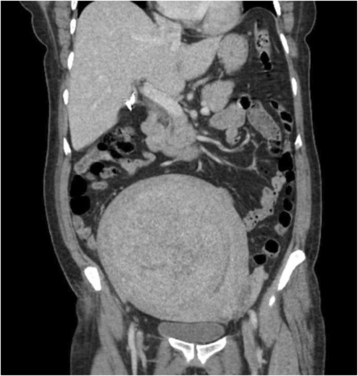
We highlight a novel case of TAFRO syndrome with disseminated intravascular coagulation, neurologic changes, and non-ischemic cardiomyopathy. Through this clinical vignette, we hope to raise awareness of TAFRO syndrome and encourage providers to maintain a high level of suspicion for it when evaluating patients who meet the diagnostic criteria.

摘要

我们重点介绍了一例伴有弥散性血管内凝血、神经学改变和非缺血性心肌病的TAFRO综合征新病例。通过这个临床案例,我们希望提高对TAFRO综合征的认识,并鼓励医疗人员在评估符合诊断标准的患者时,对该综合征保持高度怀疑。

https://cdn.ncbi.nlm.nih.gov/pmc/blobs/6f3e/10172449/490dfce048d6/CCR3-11-e07340-g001.jpg

文献AI研究员

20分钟写一篇综述,助力文献阅读效率提升50倍。

立即体验

用中文搜PubMed

大模型驱动的PubMed中文搜索引擎

马上搜索

文档翻译

学术文献翻译模型,支持多种主流文档格式。

立即体验