Suppr超能文献

以锥体叶为主的甲状腺乳头状癌——一种具有重要临床意义的罕见实体。

Pyramidal lobe-dominant papillary thyroid carcinoma-A rare entity with important clinical implications.

作者信息

Messias Henrique, Sequeira Maria Luísa, Nogueira Ricardo, Zagalo Carlos, Martins Mariluz, Gomes Pedro

机构信息

Head and Neck Surgery Department Portuguese Institute of Oncology Francisco Gentil Lisbon Portugal.

Division of Health Sciences University of Edinburgh Edinburgh UK.

出版信息

Clin Case Rep. 2023 May 16;11(5):e7189. doi: 10.1002/ccr3.7189. eCollection 2023 May.

Abstract

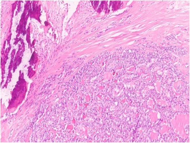
Papillary thyroid carcinoma (PTC) primarily located in the pyramidal lobe of the thyroid gland is extremely rare, therefore the clinical and pathological features are not well understood. The authors describe a case of PTC of the pyramidal lobe, in a 77-year-old woman who underwent en bloc total thyroidectomy with pyramidal lobe, hyoid bone and cervical lymph node excision. In line with the present case, current literature reports a greater presence of worse prognostic factors, namely extrathyroidal extension, advanced T stage or presence of cervical lymph node metastasis. Recently, a new classification has been suggested-Upper Neck Papillary Thyroid Cancer (UPTC)-which encompasses these carcinomas, Delphi ganglion metastases and thyroglossal duct cyst carcinomas, with potential clinical and therapeutic implications, particularly the need for orthotopic thyroidectomy. Also, the complete excision of the pyramidal lobe during thyroidectomy may influence the success of radioactive iodine therapy and the patient's follow-up surveillance.

摘要

主要位于甲状腺锥状叶的乳头状甲状腺癌(PTC)极为罕见,因此其临床和病理特征尚不明确。作者描述了一例77岁女性的甲状腺锥状叶PTC病例,该患者接受了包括锥状叶、舌骨和颈部淋巴结切除的整块全甲状腺切除术。与本病例一致,当前文献报道预后较差的因素更多见,即甲状腺外侵犯、晚期T分期或存在颈部淋巴结转移。最近,有人提出了一种新的分类——上颈部乳头状甲状腺癌(UPTC),它涵盖了这些癌、德尔菲神经节转移瘤和甲状舌管囊肿癌,具有潜在的临床和治疗意义,特别是原位甲状腺切除术的必要性。此外,甲状腺切除术中完整切除锥状叶可能会影响放射性碘治疗的成功率和患者的随访监测。

https://cdn.ncbi.nlm.nih.gov/pmc/blobs/9da5/10188893/14933f72e164/CCR3-11-e7189-g002.jpg

文献AI研究员

20分钟写一篇综述,助力文献阅读效率提升50倍。

立即体验

用中文搜PubMed

大模型驱动的PubMed中文搜索引擎

马上搜索

文档翻译

学术文献翻译模型,支持多种主流文档格式。

立即体验