• 文献检索
  • 文档翻译
  • 深度研究
  • 学术资讯
  • Suppr Zotero 插件Zotero 插件
  • 邀请有礼
  • 套餐&价格
  • 历史记录
应用&插件
Suppr Zotero 插件Zotero 插件浏览器插件Mac 客户端Windows 客户端微信小程序
定价
高级版会员购买积分包购买API积分包
服务
文献检索文档翻译深度研究API 文档MCP 服务
关于我们
关于 Suppr公司介绍联系我们用户协议隐私条款
关注我们

Suppr 超能文献

核心技术专利:CN118964589B侵权必究
粤ICP备2023148730 号-1Suppr @ 2026

文献检索

告别复杂PubMed语法,用中文像聊天一样搜索,搜遍4000万医学文献。AI智能推荐,让科研检索更轻松。

立即免费搜索

文件翻译

保留排版,准确专业,支持PDF/Word/PPT等文件格式,支持 12+语言互译。

免费翻译文档

深度研究

AI帮你快速写综述,25分钟生成高质量综述,智能提取关键信息,辅助科研写作。

立即免费体验

NF-κB 和 MAPK 信号通路的异常激活会影响奥希替尼耐药,并影响髓系来源抑制细胞的募集,从而塑造免疫抑制性肿瘤免疫微环境。

Abnormal activation of NF-κB and MAPK signaling pathways affect osimertinib resistance and influence the recruitment of myeloid-derived suppressor cells to shape the immunosuppressive tumor immune microenvironment.

机构信息

State Key Laboratory of Molecular Oncology, National Cancer Center/National Clinical Research Center for Cancer/Cancer Hospital, Chinese Academy of Medical Sciences and Peking Union Medical College, Beijing, China.

Department of Medical Oncology, National Cancer Center/National Clinical Research Center for Cancer/Cancer Hospital, Chinese Academy of Medical Sciences and Peking Union Medical College, Beijing, China.

出版信息

Thorac Cancer. 2023 Jul;14(19):1843-1856. doi: 10.1111/1759-7714.14929. Epub 2023 May 23.

DOI:10.1111/1759-7714.14929
PMID:37221702
原文链接:https://pmc.ncbi.nlm.nih.gov/articles/PMC10317600/
Abstract

BACKGROUND

Osimertinib is the first-line treatment for patients with epidermal growth factor receptor (EGFR) mutations, but the treatment options after drug resistance are limited. Previous studies have suggested that EGFR is in an immunosuppressive tumor immune microenvironment (TIME). However, the evolution of TIME after osimertinib resistance and whether this resistance can be overcome by targeting TIME needs to be further investigated.

METHODS

The remodeling process and mechanism of TIME during the treatment with osimertinib were studied.

RESULTS

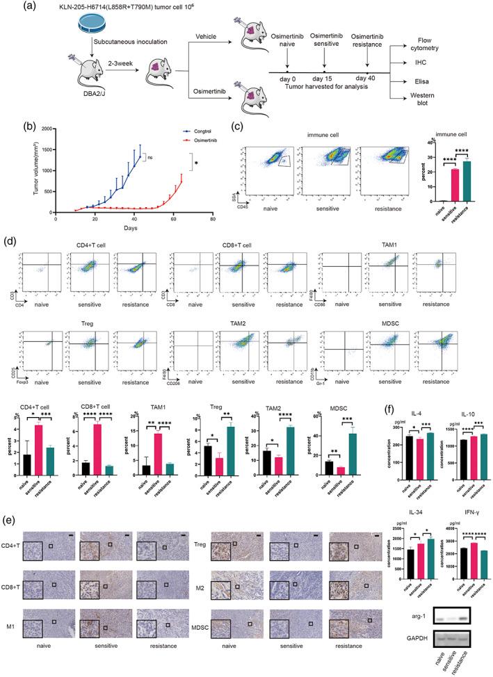
The proportion of EGFR mutant tumor immune infiltrating cells was extremely low. Osimertinib treatment transiently triggered inflammatory cells, but several immunosuppressive cells infiltrated after drug resistance and formed a myeloid-derived suppressor cell (MDSC)-enriched TIME. The programmed cell death protein-1 monoclonal antibody was not able to reverse the MDSC-enriched TIME. Further analysis revealed that the activation of nuclear factor-kappa B (NF-κB) and mitogen-activated protein kinase (MAPK) pathways recruited a large number of MDSCs via cytokines. Finally, MDSC secreted high levels of interleukin-10 and arginase-1 and created an immunosuppressive TIME.

CONCLUSIONS

Thus, our findings lay the foundation for the evolution of TIME in osimertinib treatment, establish the mechanism of immunosuppressive TIME after osimertinib resistance, and propose potential solutions.

摘要

背景

奥希替尼是表皮生长因子受体(EGFR)突变患者的一线治疗药物,但耐药后的治疗选择有限。先前的研究表明,EGFR 处于免疫抑制性肿瘤免疫微环境(TIME)中。然而,奥希替尼耐药后 TIME 的演变情况,以及是否可以通过靶向 TIME 来克服这种耐药性,仍需要进一步研究。

方法

研究了奥希替尼治疗过程中 TIME 的重塑过程和机制。

结果

EGFR 突变肿瘤免疫浸润细胞的比例极低。奥希替尼治疗会短暂地触发炎症细胞,但在耐药后会有几种免疫抑制细胞浸润,并形成髓系来源的抑制细胞(MDSC)丰富的 TIME。程序性细胞死亡蛋白-1 单克隆抗体无法逆转 MDSC 丰富的 TIME。进一步分析表明,核因子-κB(NF-κB)和丝裂原活化蛋白激酶(MAPK)通路的激活通过细胞因子募集了大量的 MDSCs。最后,MDSC 分泌高水平的白细胞介素-10 和精氨酸酶-1,从而形成免疫抑制性 TIME。

结论

因此,我们的研究结果为奥希替尼治疗中 TIME 的演变奠定了基础,确定了奥希替尼耐药后免疫抑制性 TIME 的机制,并提出了潜在的解决方案。

https://cdn.ncbi.nlm.nih.gov/pmc/blobs/f565/10317600/168efbed795d/TCA-14-1843-g004.jpg
https://cdn.ncbi.nlm.nih.gov/pmc/blobs/f565/10317600/233cd4f28809/TCA-14-1843-g002.jpg
https://cdn.ncbi.nlm.nih.gov/pmc/blobs/f565/10317600/158c28a1bec4/TCA-14-1843-g005.jpg
https://cdn.ncbi.nlm.nih.gov/pmc/blobs/f565/10317600/4de31802e8f2/TCA-14-1843-g006.jpg
https://cdn.ncbi.nlm.nih.gov/pmc/blobs/f565/10317600/2f0060a0a4c7/TCA-14-1843-g008.jpg
https://cdn.ncbi.nlm.nih.gov/pmc/blobs/f565/10317600/42bec4c9876a/TCA-14-1843-g001.jpg
https://cdn.ncbi.nlm.nih.gov/pmc/blobs/f565/10317600/2d1f8aa7e6de/TCA-14-1843-g007.jpg
https://cdn.ncbi.nlm.nih.gov/pmc/blobs/f565/10317600/168efbed795d/TCA-14-1843-g004.jpg
https://cdn.ncbi.nlm.nih.gov/pmc/blobs/f565/10317600/233cd4f28809/TCA-14-1843-g002.jpg
https://cdn.ncbi.nlm.nih.gov/pmc/blobs/f565/10317600/158c28a1bec4/TCA-14-1843-g005.jpg
https://cdn.ncbi.nlm.nih.gov/pmc/blobs/f565/10317600/4de31802e8f2/TCA-14-1843-g006.jpg
https://cdn.ncbi.nlm.nih.gov/pmc/blobs/f565/10317600/2f0060a0a4c7/TCA-14-1843-g008.jpg
https://cdn.ncbi.nlm.nih.gov/pmc/blobs/f565/10317600/42bec4c9876a/TCA-14-1843-g001.jpg
https://cdn.ncbi.nlm.nih.gov/pmc/blobs/f565/10317600/2d1f8aa7e6de/TCA-14-1843-g007.jpg
https://cdn.ncbi.nlm.nih.gov/pmc/blobs/f565/10317600/168efbed795d/TCA-14-1843-g004.jpg

相似文献

1
Abnormal activation of NF-κB and MAPK signaling pathways affect osimertinib resistance and influence the recruitment of myeloid-derived suppressor cells to shape the immunosuppressive tumor immune microenvironment.NF-κB 和 MAPK 信号通路的异常激活会影响奥希替尼耐药,并影响髓系来源抑制细胞的募集,从而塑造免疫抑制性肿瘤免疫微环境。
Thorac Cancer. 2023 Jul;14(19):1843-1856. doi: 10.1111/1759-7714.14929. Epub 2023 May 23.
2
Activation of insulin-like growth factor-1 receptor confers acquired resistance to osimertinib in non-small cell lung cancer with EGFR T790M mutation.胰岛素样生长因子-1 受体的激活赋予 EGFR T790M 突变的非小细胞肺癌对奥希替尼的获得性耐药。
Thorac Cancer. 2020 Jan;11(1):140-149. doi: 10.1111/1759-7714.13255. Epub 2019 Nov 22.
3
ERK inhibition effectively overcomes acquired resistance of epidermal growth factor receptor-mutant non-small cell lung cancer cells to osimertinib.ERK 抑制可有效克服表皮生长因子受体突变型非小细胞肺癌细胞对奥希替尼的获得性耐药。
Cancer. 2020 Mar 15;126(6):1339-1350. doi: 10.1002/cncr.32655. Epub 2019 Dec 10.
4
Osimertinib Induces the Opposite Effect of Proliferation and Migration in the Drug Resistance of EGFR-T790M Non-small Cell Lung Cancer Cells.奥希替尼在 EGFR-T790M 非小细胞肺癌耐药细胞中诱导增殖和迁移的相反作用。
Anticancer Agents Med Chem. 2023;23(11):1309-1319. doi: 10.2174/1871520623666230223111217.
5
Real-world data on treatment outcomes in -mutant non-small-cell lung cancer patients receiving osimertinib in second or further lines.奥希替尼二线及后线治疗 - 突变型非小细胞肺癌患者的真实世界数据。
Future Oncol. 2021 Jul;17(19):2513-2527. doi: 10.2217/fon-2021-0356. Epub 2021 May 14.
6
Audit of Molecular Mechanisms of Primary and Secondary Resistance to Various Generations of Tyrosine Kinase Inhibitors in Known Epidermal Growth Factor Receptor-Mutant Non-small Cell Lung Cancer Patients in a Tertiary Centre.在一家三级中心对已知表皮生长因子受体突变型非小细胞肺癌患者中各种代次的酪氨酸激酶抑制剂的原发性和获得性耐药的分子机制进行审计。
Clin Oncol (R Coll Radiol). 2022 Nov;34(11):e451-e462. doi: 10.1016/j.clon.2022.06.003. Epub 2022 Jul 7.
7
Let-7c regulated epithelial-mesenchymal transition leads to osimertinib resistance in NSCLC cells with EGFR T790M mutations.Let-7c 调控的上皮-间充质转化导致 EGFR T790M 突变的 NSCLC 细胞对奥希替尼耐药。
Sci Rep. 2020 Jul 8;10(1):11236. doi: 10.1038/s41598-020-67908-4.
8
Exploring the resistance mechanisms of second-line osimertinib and their prognostic implications using next-generation sequencing in patients with non-small-cell lung cancer.利用下一代测序技术探索非小细胞肺癌患者二线奥希替尼的耐药机制及其预后意义。
Eur J Cancer. 2021 May;148:202-210. doi: 10.1016/j.ejca.2021.01.052. Epub 2021 Mar 18.
9
Exon 16-Skipping HER2 as a Novel Mechanism of Osimertinib Resistance in EGFR L858R/T790M-Positive Non-Small Cell Lung Cancer.外显子 16 跳跃 HER2 作为 EGFR L858R/T790M 阳性非小细胞肺癌中奥希替尼耐药的新机制
J Thorac Oncol. 2020 Jan;15(1):50-61. doi: 10.1016/j.jtho.2019.09.006. Epub 2019 Sep 23.
10
Treatment of Brain Metastases of Non-Small Cell Lung Carcinoma.非小细胞肺癌脑转移的治疗。
Int J Mol Sci. 2021 Jan 8;22(2):593. doi: 10.3390/ijms22020593.

引用本文的文献

1
The complex interplay of TROP2 and PD-L1 in immune regulation and drug resistance in lung cancer.TROP2与PD-L1在肺癌免疫调节和耐药性中的复杂相互作用。
Am J Cancer Res. 2025 May 25;15(5):2413-2426. doi: 10.62347/NHFJ1535. eCollection 2025.
2
Optimizing Osimertinib for NSCLC: Targeting Resistance and Exploring Combination Therapeutics.优化奥希替尼用于非小细胞肺癌的治疗:靶向耐药性并探索联合疗法。
Cancers (Basel). 2025 Jan 29;17(3):459. doi: 10.3390/cancers17030459.
3
Overcoming EGFR-TKI resistance by targeting the tumor microenvironment.

本文引用的文献

1
Expression of PD-1 and PD-L1 on Tumor-Infiltrating Lymphocytes Predicts Prognosis in Patients with Small-Cell Lung Cancer.肿瘤浸润淋巴细胞上PD-1和PD-L1的表达可预测小细胞肺癌患者的预后。
Onco Targets Ther. 2020 Jul 3;13:6475-6483. doi: 10.2147/OTT.S252031. eCollection 2020.
2
Involvement of the M-CSF/IL-34/CSF-1R pathway in malignant pleural mesothelioma.M-CSF/IL-34/CSF-1R 通路在恶性胸膜间皮瘤中的作用。
J Immunother Cancer. 2020 Jun;8(1). doi: 10.1136/jitc-2019-000182.
3
Top 10 Challenges in Cancer Immunotherapy.癌症免疫疗法的十大挑战。
通过靶向肿瘤微环境克服表皮生长因子受体酪氨酸激酶抑制剂(EGFR-TKI)耐药性
Chin Med J Pulm Crit Care Med. 2024 Sep 16;2(3):151-161. doi: 10.1016/j.pccm.2024.08.002. eCollection 2024 Sep.
4
Adverse Events in Osimertinib Treatment for EGFR-Mutated Non-Small-Cell Lung Cancer: Unveiling Rare Life-Threatening Myelosuppression.奥希替尼治疗 EGFR 突变型非小细胞肺癌的不良反应:揭示罕见的危及生命的骨髓抑制。
Medicina (Kaunas). 2024 Aug 6;60(8):1270. doi: 10.3390/medicina60081270.
5
The complex interplay of tumor-infiltrating cells in driving therapeutic resistance pathways.肿瘤浸润细胞在推动治疗抵抗途径中的复杂相互作用。
Cell Commun Signal. 2024 Aug 19;22(1):405. doi: 10.1186/s12964-024-01776-7.
6
Personalizing Therapy Outcomes through Mitogen-Activated Protein Kinase Pathway Inhibition in Non-Small Cell Lung Cancer.通过抑制丝裂原活化蛋白激酶途径实现非小细胞肺癌治疗结果的个体化
Biomedicines. 2024 Jul 5;12(7):1489. doi: 10.3390/biomedicines12071489.
7
Inhibition of non-small cell lung cancer metastasis by knocking down APE1 through regulating myeloid-derived suppressor cells-induced immune disorders.敲低 APE1 通过调节髓系来源的抑制性细胞诱导的免疫紊乱抑制非小细胞肺癌转移。
Aging (Albany NY). 2024 Jun 14;16(12):10435-10445. doi: 10.18632/aging.205938.
Immunity. 2020 Jan 14;52(1):17-35. doi: 10.1016/j.immuni.2019.12.011.
4
Impact of EGFR-TKI Treatment on the Tumor Immune Microenvironment in Mutation-Positive Non-Small Cell Lung Cancer.表皮生长因子受体酪氨酸激酶抑制剂治疗对 EGFR 突变阳性非小细胞肺癌肿瘤免疫微环境的影响。
Clin Cancer Res. 2020 Apr 15;26(8):2037-2046. doi: 10.1158/1078-0432.CCR-19-2027. Epub 2020 Jan 14.
5
Overall Survival with Osimertinib in Untreated, -Mutated Advanced NSCLC.奥希替尼治疗未经治、-突变型晚期 NSCLC 的总生存期。
N Engl J Med. 2020 Jan 2;382(1):41-50. doi: 10.1056/NEJMoa1913662. Epub 2019 Nov 21.
6
Tumor regression mediated by oncogene withdrawal or erlotinib stimulates infiltration of inflammatory immune cells in EGFR mutant lung tumors.抑癌基因失活或厄洛替尼介导的肿瘤消退可刺激 EGFR 突变肺肿瘤中炎症免疫细胞的浸润。
J Immunother Cancer. 2019 Jul 10;7(1):172. doi: 10.1186/s40425-019-0643-8.
7
EGFR-targeted therapy alters the tumor microenvironment in EGFR-driven lung tumors: Implications for combination therapies.表皮生长因子受体(EGFR)靶向治疗改变了 EGFR 驱动型肺部肿瘤的肿瘤微环境:对联合治疗的启示。
Int J Cancer. 2019 Sep 1;145(5):1432-1444. doi: 10.1002/ijc.32191. Epub 2019 Feb 19.
8
Axl kinase drives immune checkpoint and chemokine signalling pathways in lung adenocarcinomas.Axl 激酶驱动肺腺癌中的免疫检查点和趋化因子信号通路。
Mol Cancer. 2019 Feb 11;18(1):24. doi: 10.1186/s12943-019-0953-y.
9
Approaches to treat immune hot, altered and cold tumours with combination immunotherapies.采用联合免疫疗法治疗免疫热、改变和冷肿瘤的方法。
Nat Rev Drug Discov. 2019 Mar;18(3):197-218. doi: 10.1038/s41573-018-0007-y.
10
Impact of serum vascular endothelial growth factor and interleukin-6 on treatment response to epidermal growth factor receptor tyrosine kinase inhibitors in patients with non-small-cell lung cancer.血清血管内皮生长因子和白细胞介素-6 对表皮生长因子受体酪氨酸激酶抑制剂治疗非小细胞肺癌患者的疗效影响。
Lung Cancer. 2018 Nov;125:22-28. doi: 10.1016/j.lungcan.2018.08.025. Epub 2018 Aug 31.