Suppr超能文献

全内脏转位患者的 Stanford A 型主动脉夹层,伴有危急临床表现:一例病例报告。

Standford type A aortic dissection in a patient with situs inversus totalis, with critical clinical presentation: a case report.

作者信息

De Masi De Luca Gabriele, Nicolardi Salvatore, Mangia Federica, Zaccaria Salvatore, Palamà Zefferino, Tridici Maurizio, Papadia Paola, De Masi De Luca Giuseppe, Accogli Michele

机构信息

Department of Life, Health and Environmental Sciences, University of L'Aquila, L'Aquila.

Cardiology Unit.

出版信息

Ann Med Surg (Lond). 2023 Apr 18;85(5):2151-2154. doi: 10.1097/MS9.0000000000000647. eCollection 2023 May.

Abstract

UNLABELLED

The association of Standford type A acute aortic dissection with situs inversus totalis (SIT) is extremely rare and only a few cases are reported in the literature to date. Due to the particular rarity, this unusual condition, if not diagnosed quickly and correctly, can generate both clinical and surgical difficulties.

CASE PRESENTATION

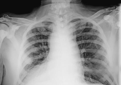
We describe the case of a male Caucasian patient with SIT and aortic dissection type A, who occurred to our Emergency Department with a severe clinical condition of shock. Using the fast diagnostic approach with chest X-Ray and echocardiography followed by computed tomography investigation, a Standford type A acute aortic dissection and the presence of SIT were detected. The patient was subjected to surgical treatment with optimal results in a short time.

CLINICAL DISCUSSION AND CONCLUSION

The event of aortic dissection is an extremely serious condition and the simultaneous presence of a critical clinical presentation with an unusual congenital anomaly could condition a correct and rapid diagnostic process. Only an accurate diagnostic investigation can give a quick diagnosis and useful elements for a correct therapeutic approach.

摘要

未标注

A型急性主动脉夹层与全内脏转位(SIT)的关联极为罕见,迄今为止文献中仅报道了少数病例。由于这种特殊的罕见性,如果不能迅速正确诊断,这种不寻常的情况会给临床和手术带来困难。

病例报告

我们描述了一名患有SIT和A型主动脉夹层的男性白种人患者的病例,该患者因严重休克状态被送至我们的急诊科。采用胸部X线和超声心动图的快速诊断方法,随后进行计算机断层扫描检查,检测出A型急性主动脉夹层和SIT的存在。患者接受了手术治疗,短期内取得了最佳效果。

临床讨论与结论

主动脉夹层事件是一种极其严重的情况,关键临床表现与不寻常的先天性异常同时存在可能会影响正确快速的诊断过程。只有准确的诊断检查才能快速诊断并为正确的治疗方法提供有用的依据。

https://cdn.ncbi.nlm.nih.gov/pmc/blobs/0bd8/10205311/7fe1418015f8/ms9-85-2151-g001.jpg

文献检索

告别复杂PubMed语法,用中文像聊天一样搜索,搜遍4000万医学文献。AI智能推荐,让科研检索更轻松。

立即免费搜索

文件翻译

保留排版,准确专业,支持PDF/Word/PPT等文件格式,支持 12+语言互译。

免费翻译文档

深度研究

AI帮你快速写综述,25分钟生成高质量综述,智能提取关键信息,辅助科研写作。

立即免费体验