Haasbroek-Pheiffer Anja, Viljoen Alvaro, Steenekamp Jan, Chen Weiyang, Hamman Josias
Centre of Excellence for Pharmaceutical Sciences (Pharmacen™), Faculty of Health Sciences, North-West University, Potchefstroom 2520, South Africa.
Department of Pharmaceutical Sciences, Tshwane University of Technology, Private Bag X680, Pretoria 0001, South Africa.
Pharmaceutics. 2023 May 6;15(5):1423. doi: 10.3390/pharmaceutics15051423.
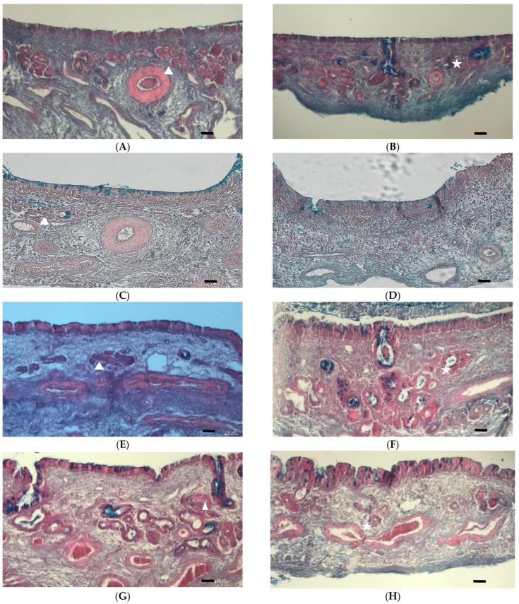
The intranasal route of drug administration offers an opportunity to bypass the blood-brain barrier and deliver compounds directly into the brain. Scientific evidence exists for medicinal plants (e.g., and ) to treat central nervous system conditions such as anxiety and depression. The ex vivo permeation of selected phytochemicals (i.e., asiaticoside and mesembrine) has been measured across excised sheep nasal respiratory and olfactory tissue. Permeation studies were conducted on individual phytochemicals and and crude extracts. Asiaticoside exhibited statistically significantly higher permeation across both tissues when applied alone as compared to the crude extract, while mesembrine permeation was similar when applied alone or as crude extract. Permeation of all the phytocompounds was similar or slightly higher than that of the drug atenolol across the respiratory tissue. Permeation of all the phytocompounds was similar to or slightly lower than that of atenolol across the olfactory tissue. In general, the permeation was higher across the olfactory epithelial tissue than across the respiratory epithelial tissue and therefore showed potential for direct nose-to-brain delivery of the selected psychoactive phytochemicals.
药物经鼻给药途径为绕过血脑屏障并将化合物直接递送至大脑提供了契机。有科学证据表明药用植物(如……)可用于治疗焦虑和抑郁等中枢神经系统疾病。已测定了选定植物化学物质(即积雪草苷和美口草碱)在切除的绵羊鼻呼吸组织和嗅觉组织上的离体渗透情况。对单一植物化学物质以及……粗提物进行了渗透研究。与……粗提物相比,单独应用积雪草苷时,其在两种组织上的渗透均具有统计学显著更高水平,而单独应用美口草碱或作为……粗提物应用时,其渗透情况相似。所有植物化合物在呼吸组织上的渗透与阿替洛尔相似或略高于阿替洛尔。所有植物化合物在嗅觉组织上的渗透与阿替洛尔相似或略低于阿替洛尔。总体而言,在嗅觉上皮组织上的渗透高于呼吸上皮组织,因此所选精神活性植物化学物质显示出经鼻直接向脑递送的潜力。