Department of Visceral, Thoracic and Vascular Surgery, University Hospital Carl Gustav Carus Dresden, Technische Universität Dresden, Dresden, Germany.
National Center for Tumor Diseases (NCT/UCC), Dresden, Germany; German Cancer Research Center (DKFZ), Heidelberg, Germany; Faculty of Medicine and University Hospital Carl Gustav Carus, Technische Universität Dresden, Dresden, Germany; Helmholtz-Zentrum Dresden-Rossendorf (HZDR), Dresden, Germany.
Cancer Biomark. 2023;37(4):207-215. doi: 10.3233/CBM-220460.
Pancreatic cancer is the 4th leading cause of cancer-related death with poor survival even after curative resection. RAB27A and RAB27B are key players in the exosome pathway where they play important roles in exosome secretion. Evidence suggests that RAB27A and RAB27B expression not only leads to tumor proliferation and invasion, but also plays an important role in antigen transfer necessary for anticancer immunity.
In this study, we analyze the expression of RAB27A and RAB27B in patients after pancreatic cancer surgery with or without adjuvant chemotherapy and its influence on overall survival.
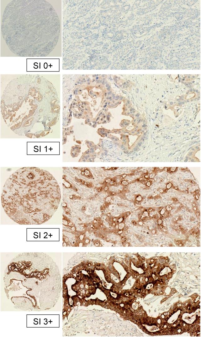
We analyzed a total of 167 patients with pancreatic cancer for their RAB27A and RAB27B expression. We dichotomized the patients along the median and compared survival in patients with high and low RAB27A and RAB27B expression with or without adjuvant chemotherapy treatment.
We found a significant improvement in overall survival in patients with a negative resection margin (p= 0.037) and in patients who received adjuvant chemotherapy (p= 0.039). The survival benefit after chemotherapy was dependent on RAB27B expression status: only the subgroup of patients with high RAB27B expression benefited from adjuvant chemotherapy (p= 0.006), but not the subgroup with low RAB27B expression (p= 0.59). Patients with high RAB27B expression who did not receive adjuvant chemotherapy showed a trend towards worse survival compared to the other subgroups. This difference was abolished after treatment with adjuvant chemotherapy.
These results suggest that RAB27B expression in pancreatic cancer might identify a subgroup of patients with poor survival who might respond well to adjuvant chemotherapy. If resectable, these patients could be considered for neoadjuvant chemotherapy to minimize the risk of not receiving adjuvant chemotherapy. Further prospective studies are needed to confirm these findings.
胰腺癌是癌症相关死亡的第 4 大原因,即使在根治性切除术后,生存情况仍较差。RAB27A 和 RAB27B 是外泌体途径中的关键参与者,在外泌体分泌中发挥着重要作用。有证据表明,RAB27A 和 RAB27B 的表达不仅导致肿瘤增殖和侵袭,而且在抗癌免疫中必需的抗原转移中也起着重要作用。
本研究分析了胰腺癌患者手术后有无辅助化疗时 RAB27A 和 RAB27B 的表达及其对总生存期的影响。
我们分析了总共 167 例胰腺癌患者的 RAB27A 和 RAB27B 表达情况。我们沿着中位数将患者分为两组,并比较有无辅助化疗治疗时 RAB27A 和 RAB27B 高表达和低表达患者的生存情况。
我们发现阴性切缘(p=0.037)和接受辅助化疗的患者(p=0.039)的总生存期有显著改善。化疗后的生存获益依赖于 RAB27B 表达状态:仅高 RAB27B 表达的亚组患者从辅助化疗中获益(p=0.006),而低 RAB27B 表达的亚组患者则不然(p=0.59)。未接受辅助化疗的高 RAB27B 表达患者的生存情况较其他亚组差,但这种差异在接受辅助化疗后消失。
这些结果表明,RAB27B 在胰腺癌中的表达可能确定了一组生存情况较差的患者,他们可能对辅助化疗反应良好。如果可切除,这些患者可考虑接受新辅助化疗,以最大程度降低未接受辅助化疗的风险。需要进一步的前瞻性研究来证实这些发现。