Suppr超能文献

一例罕见的因垂体细胞瘤对漏斗柄产生占位效应导致高催乳素血症的病例报告。

A rare case of pituicytoma-related hyperprolactinemia due to mass effect on infundibular stalk-Case report.

作者信息

Al-Salihi Mohammed Maan, Ahmed Alaaeldin, Al-Jebur Maryam Sabah, Al-Salihi Yezan, Rahman Md Moshiur, Ayyad Ali

机构信息

Department of Neurosurgery, Hamad General Hospital, Doha, Qatar; Department of Neurological Surgery, School of Medicine and Public Health, University of Wisconsin, Madison, WI, USA; College of Medicine, University of Baghdad, Baghdad, Iraq.

Department of Neurosurgery, Hamad General Hospital, Doha, Qatar.

出版信息

Int J Surg Case Rep. 2023 Jun;107:108348. doi: 10.1016/j.ijscr.2023.108348. Epub 2023 May 24.

Abstract

INTRODUCTION AND IMPORTANCE

Pituicytomas are extremely rare cancers of the sellar and suprasellar region that appear from the infundibulum or posterior pituitary. World Health Organization in 2007, described pituicytoma as a low-grade tumour (Grade I) in the taxonomy of CNS cancers. The tumour can frequently simulate a pituitary adenoma and is also linked with hormonal disorders. Distinguishing a pituitary adenoma from a pituicytoma can be challenging. We present a rare case report where an elderly female showed high levels of prolactin mainly due to mass effects along with diagnostic, imaging, and immunohistochemical characteristics of pituicytoma.

CASE PRESENTATION

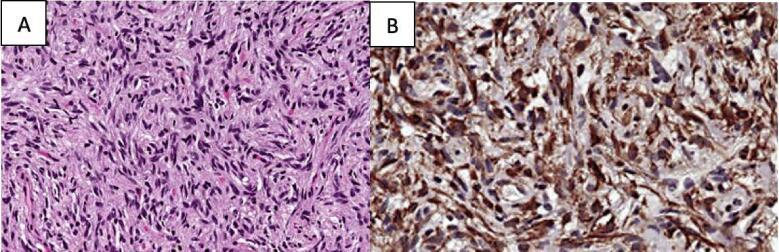
A 50-year-old female known case of hypothyroidism, complained of headache associated with dizziness and blurry vision. Her prolactin levels were high which led to the suspicion of pituitary involvement and underwent MRI. The imaging study revealed a well-defined, completely suprasellar, homogenously enhancing mass lesion arising from the left lateral aspect of the pituitary infundibulum. The initial differential diagnosis from the imaging included an ectopic pituitary gland, adenoma, pituicytoma, or hypothalamic glioma. She underwent a right supra-orbital craniotomy for debulking of the pituitary stalk lesion. The histopathological diagnosis was pituicytoma, WHO grade I.

CLINICAL DISCUSSION

The clinical manifestations are mostly depended upon the tumour mass and position. They typically present due to mass effects leading to hormonal disorders. The imaging studies are the backbone of the clinical diagnosis along with the histopathological findings. Surgical resection is the preferred treatment for pituicytoma, with an exceptionally low recurrence rate (4.3 %) following complete removal.

CONCLUSION

Pituicytomas are slow-growing, benign glial growths. It is challenging to diagnose before surgery as its clinical manifestations and imaging findings look like those of non-functional pituitary adenomas. The effective treatment for pituicytoma is gross total resection by the endoscopic method or transcranial technique.

摘要

引言与重要性

垂体细胞瘤是起源于漏斗部或垂体后叶的蝶鞍区和鞍上区极为罕见的肿瘤。2007年世界卫生组织将垂体细胞瘤在中枢神经系统肿瘤分类中描述为低级别肿瘤(I级)。该肿瘤常可类似垂体腺瘤,并且还与激素紊乱有关。鉴别垂体腺瘤与垂体细胞瘤可能具有挑战性。我们报告一例罕见病例,一名老年女性主要因占位效应导致催乳素水平升高,同时介绍垂体细胞瘤的诊断、影像学及免疫组化特征。

病例介绍

一名50岁女性,已知患有甲状腺功能减退症,主诉头痛伴头晕和视力模糊。其催乳素水平升高,怀疑垂体受累并接受了磁共振成像(MRI)检查。影像学研究显示,垂体漏斗部左侧出现一个边界清晰、完全位于鞍上、均匀强化的肿块。影像学初步鉴别诊断包括异位垂体、腺瘤、垂体细胞瘤或下丘脑胶质瘤。她接受了右眶上开颅手术以切除垂体柄病变。组织病理学诊断为垂体细胞瘤,世界卫生组织I级。

临床讨论

临床表现大多取决于肿瘤大小和位置。它们通常因占位效应导致激素紊乱而出现。影像学检查连同组织病理学发现是临床诊断的支柱。手术切除是垂体细胞瘤的首选治疗方法,完全切除后复发率极低(4.3%)。

结论

垂体细胞瘤是生长缓慢的良性胶质肿瘤。术前诊断具有挑战性,因为其临床表现和影像学表现与无功能垂体腺瘤相似。垂体细胞瘤的有效治疗方法是通过内镜或经颅技术进行全切除。

https://cdn.ncbi.nlm.nih.gov/pmc/blobs/cc4a/10248223/021bc97bb0ac/gr1.jpg

文献AI研究员

20分钟写一篇综述,助力文献阅读效率提升50倍。

立即体验

用中文搜PubMed

大模型驱动的PubMed中文搜索引擎

马上搜索

文档翻译

学术文献翻译模型,支持多种主流文档格式。

立即体验