• 文献检索
  • 文档翻译
  • 深度研究
  • 学术资讯
  • Suppr Zotero 插件Zotero 插件
  • 邀请有礼
  • 套餐&价格
  • 历史记录
应用&插件
Suppr Zotero 插件Zotero 插件浏览器插件Mac 客户端Windows 客户端微信小程序
定价
高级版会员购买积分包购买API积分包
服务
文献检索文档翻译深度研究API 文档MCP 服务
关于我们
关于 Suppr公司介绍联系我们用户协议隐私条款
关注我们

Suppr 超能文献

核心技术专利:CN118964589B侵权必究
粤ICP备2023148730 号-1Suppr @ 2026

文献检索

告别复杂PubMed语法,用中文像聊天一样搜索,搜遍4000万医学文献。AI智能推荐,让科研检索更轻松。

立即免费搜索

文件翻译

保留排版,准确专业,支持PDF/Word/PPT等文件格式,支持 12+语言互译。

免费翻译文档

深度研究

AI帮你快速写综述,25分钟生成高质量综述,智能提取关键信息,辅助科研写作。

立即免费体验

血气胸:感染性支气管囊肿的一种表现

Hydropneumothorax: A Presentation of Infected Bronchogenic Cyst.

作者信息

Garg Shreya, Aggarwal Kanishk, Anamika Fnu, Kumar Avi

机构信息

Internal Medicine, Dayanand Medical College and Hospital, Ludhiana, IND.

Internal Medicine, University College of Medical Sciences, New Delhi, IND.

出版信息

Cureus. 2023 May 5;15(5):e38569. doi: 10.7759/cureus.38569. eCollection 2023 May.

DOI:10.7759/cureus.38569
PMID:37284403
原文链接:https://pmc.ncbi.nlm.nih.gov/articles/PMC10239548/
Abstract

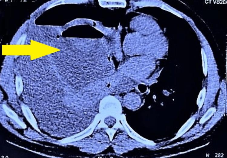
Bronchogenic cysts are closed sac-like cystic lesions resulting from abnormal budding of the primitive foregut during the early development of the alimentary and respiratory systems. We describe the case of a 54-year-old man who presented to the emergency department with complaints of fever, chills, shortness of breath, and a productive cough with intermittent hemoptysis for the past two to three months. Initial workup revealed a right lung hydropneumothorax with complete atelectasis of the right lung and a mass effect on the left lung. During intercostal drainage, pleural fluid analysis revealed empyema with treated with antibiotics. However, the symptoms persisted after five days of antibiotic treatment and drainage. A multidisciplinary team of thoracic surgeons, anesthesiologists, and pulmonologists was assembled due to the non-resolving nature of the lung abscess. The patient underwent a right middle lobe lobectomy with decortication via open thoracotomy, and a bronchogenic cyst, an uncommon cause of the lung abscess, was suggested by histopathological analysis.

摘要

支气管源性囊肿是一种封闭的囊状囊性病变,由消化道和呼吸系统早期发育过程中原发性前肠的异常芽生引起。我们描述了一名54岁男性的病例,他因过去两到三个月出现发热、寒战、呼吸急促以及伴有间歇性咯血的咳痰症状而到急诊科就诊。初步检查发现右侧液气胸伴右肺完全肺不张,且对左肺有占位效应。在肋间引流期间,胸腔积液分析显示为脓胸,给予抗生素治疗。然而,抗生素治疗和引流五天后症状仍持续。由于肺脓肿的病情未得到缓解,组建了由胸外科医生、麻醉师和肺科医生组成的多学科团队。患者通过开胸手术接受了右中叶肺叶切除加纤维板剥脱术,组织病理学分析提示为支气管源性囊肿,这是肺脓肿的一种罕见病因。

https://cdn.ncbi.nlm.nih.gov/pmc/blobs/8baf/10239548/e50d3c06d652/cureus-0015-00000038569-i03.jpg
https://cdn.ncbi.nlm.nih.gov/pmc/blobs/8baf/10239548/f11712d44a8c/cureus-0015-00000038569-i01.jpg
https://cdn.ncbi.nlm.nih.gov/pmc/blobs/8baf/10239548/126f5b5e3d13/cureus-0015-00000038569-i02.jpg
https://cdn.ncbi.nlm.nih.gov/pmc/blobs/8baf/10239548/e50d3c06d652/cureus-0015-00000038569-i03.jpg
https://cdn.ncbi.nlm.nih.gov/pmc/blobs/8baf/10239548/f11712d44a8c/cureus-0015-00000038569-i01.jpg
https://cdn.ncbi.nlm.nih.gov/pmc/blobs/8baf/10239548/126f5b5e3d13/cureus-0015-00000038569-i02.jpg
https://cdn.ncbi.nlm.nih.gov/pmc/blobs/8baf/10239548/e50d3c06d652/cureus-0015-00000038569-i03.jpg

相似文献

1
Hydropneumothorax: A Presentation of Infected Bronchogenic Cyst.血气胸:感染性支气管囊肿的一种表现
Cureus. 2023 May 5;15(5):e38569. doi: 10.7759/cureus.38569. eCollection 2023 May.
2
Acute shortness of breath due to reoccurrence of an intrapericardial bronchogenic cyst.因心包内支气管源性囊肿复发导致的急性呼吸急促。
Respirol Case Rep. 2019 May 17;7(5):e00431. doi: 10.1002/rcr2.431. eCollection 2019 Jul.
3
Clinical Presentation and Surgical Management of Five Pediatric Cases with Bronchogenic Cysts: Retrospective Case Series.5例小儿支气管源性囊肿的临床表现及外科治疗:回顾性病例系列
Children (Basel). 2022 Nov 25;9(12):1824. doi: 10.3390/children9121824.
4
[A Surgical Case of Intrapulmonary Bronchogenic Cyst Treated by Left Lower Lobectomy for Hemopneumothorax and Repeated Hemoptysis].[1例因血气胸和反复咯血行左下肺叶切除术治疗的肺内支气管源性囊肿外科病例]
Kyobu Geka. 2015 Aug;68(9):764-7.
5
Infected intraparenchymal bronchogenic cyst mimicking recurrent lung abscess in a young adult.年轻成人中表现为复发性肺脓肿的感染性实质内支气管源性囊肿
Med J Malaysia. 2007 Dec;62(5):416-7.
6
A case report- retroperitoneal bronchogenic cyst in relation to the hindgut.一例与后肠相关的腹膜后支气管源性囊肿的病例报告。
Int J Surg Case Rep. 2020;75:140-142. doi: 10.1016/j.ijscr.2020.09.038. Epub 2020 Sep 12.
7
Infected mediastinal bronchogenic cyst in a 12 year old girl.一名12岁女孩的感染性纵隔支气管源性囊肿。
Thorac Cardiovasc Surg. 2012 Apr;60(3):239-41. doi: 10.1055/s-0030-1250575. Epub 2011 Mar 15.
8
Schwannoma arising in a bronchogenic cyst wall.起源于支气管囊肿壁的神经鞘瘤。
Asian Cardiovasc Thorac Ann. 2015 Mar;23(3):328-31. doi: 10.1177/0218492314529292. Epub 2014 Apr 9.
9
Metastatic Lung Cancer Presenting as Thoracic Empyema in an Old Patient.老年患者转移性肺癌表现为胸腔积脓
West Indian Med J. 2014 Sep;63(5):514-6. doi: 10.7727/wimj.2013.291. Epub 2014 Jun 20.
10
[A case of hydropneumothorax].[一例血气胸病例]
Kyobu Geka. 1992 Oct;45(11):1017-20.

引用本文的文献

1
Confronting Upside-Down Video-Assisted Thoracic Surgery Approach for Hemorrhagic Bronchogenic Cyst Manifested by Sudden Back Pain.应对以突发背痛为表现的出血性支气管源性囊肿的倒转电视辅助胸腔镜手术入路
Surg Case Rep. 2025;11(1). doi: 10.70352/scrj.cr.24-0126. Epub 2025 Feb 20.
2
Comparative outcomes of video-assisted thoracoscopic surgery versus open surgery for bronchogenic cysts in adults: a retrospective cohort study.成人支气管囊肿电视辅助胸腔镜手术与开放手术的比较结果:一项回顾性队列研究
J Thorac Dis. 2024 May 31;16(5):3317-3324. doi: 10.21037/jtd-24-602. Epub 2024 May 29.

本文引用的文献

1
Clinical Presentation and Surgical Management of Five Pediatric Cases with Bronchogenic Cysts: Retrospective Case Series.5例小儿支气管源性囊肿的临床表现及外科治疗:回顾性病例系列
Children (Basel). 2022 Nov 25;9(12):1824. doi: 10.3390/children9121824.
2
Bronchogenic Cyst in Infants-Clinical and Histopathological Features.婴儿支气管源性囊肿——临床与组织病理学特征
Curr Health Sci J. 2022 Jan-Mar;48(1):135-140. doi: 10.12865/CHSJ.48.01.20. Epub 2022 Mar 31.
3
Gastric bronchogenic cyst in a young woman.一名年轻女性的胃支气管源性囊肿。
Asian J Surg. 2022 Oct;45(10):1982-1984. doi: 10.1016/j.asjsur.2022.04.038. Epub 2022 May 15.
4
Think outside the coronary artery: Extremely rare case of STEMI in young man.跳出冠状动脉思维:年轻男性极罕见的 STEMI 病例。
Echocardiography. 2021 Oct;38(10):1836-1840. doi: 10.1111/echo.15185. Epub 2021 Sep 12.
5
Narrative review of congenital lung lesions.先天性肺部病变的叙述性综述。
Transl Pediatr. 2021 May;10(5):1418-1431. doi: 10.21037/tp-20-133.
6
Upper cervical spinal bronchogenic cyst: A rare lesion at an exceptional location.上颈椎脊髓支气管源性囊肿:一个位于特殊部位的罕见病变。
Indian J Radiol Imaging. 2020 Oct-Dec;30(4):513-516. doi: 10.4103/ijri.IJRI_262_19. Epub 2021 Jan 13.
7
Bronchogenic cyst in an unusual location.位于异常部位的支气管源性囊肿。
Asian Cardiovasc Thorac Ann. 2021 Jan;29(1):44-46. doi: 10.1177/0218492320960271. Epub 2020 Sep 16.
8
Bronchogenic cyst of the stomach: A case report.胃支气管源性囊肿:一例报告。
World J Clin Cases. 2020 Apr 26;8(8):1525-1531. doi: 10.12998/wjcc.v8.i8.1525.
9
Bronchogenic cyst of the interatrial septum.房间隔支气管源性囊肿。
Fukushima J Med Sci. 2020 Apr 22;66(1):41-43. doi: 10.5387/fms.2019-29. Epub 2020 Feb 26.
10
Intramedullary bronchogenic cyst in the foramen magnum region accompanied with syringomyelia: A case report and literature review.枕大孔区髓内支气管源性囊肿伴脊髓空洞症:1例报告及文献复习
Medicine (Baltimore). 2019 Feb;98(5):e14353. doi: 10.1097/MD.0000000000014353.