Suppr超能文献

探究咯血的真正病因:一例年轻女性肺肿瘤栓塞合并妊娠滋养细胞肿瘤肺转移病例

Exploring the real cause of hemoptysis: A case of pulmonary tumor embolism in a young woman with accompanying pulmonary metastasis of gestational trophoblastic neoplasia.

作者信息

Hu Qun, Li Meiqian, Liu Yu, Xie Min, Wang Lan

机构信息

Department of Respiratory and Critical Care Medicine, West China Hospital Sichuan University Chengdu China.

Department of Critical Care Medicine, West China Hospital Sichuan University Chengdu China.

出版信息

Pulm Circ. 2023 Jun 7;13(2):e12248. doi: 10.1002/pul2.12248. eCollection 2023 Apr.

Abstract

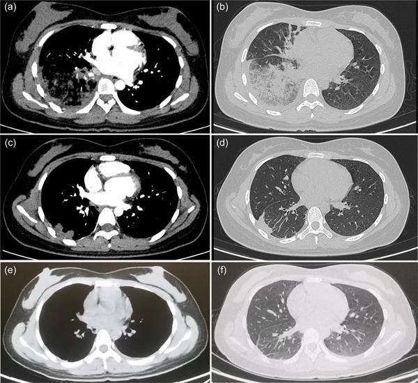
We report a case of pulmonary embolism caused by gestational trophoblastic neoplasia (GTN) accompanied by pulmonary metastasis to improve the recognition ability of the disease in young female patients with pulmonary embolism and hemoptysis.

摘要

我们报告一例由妊娠滋养细胞肿瘤(GTN)引起并伴有肺转移的肺栓塞病例,以提高对年轻女性肺栓塞和咯血患者中该疾病的识别能力。

https://cdn.ncbi.nlm.nih.gov/pmc/blobs/880e/10247309/d9301df0ec26/PUL2-13-e12248-g001.jpg

文献AI研究员

20分钟写一篇综述,助力文献阅读效率提升50倍。

立即体验

用中文搜PubMed

大模型驱动的PubMed中文搜索引擎

马上搜索

文档翻译

学术文献翻译模型,支持多种主流文档格式。

立即体验