Suppr超能文献

超声与计算机断层扫描在肠系膜病变评估中的应用:影像综述

Ultrasound and computed tomography in the evaluation of mesenteric lesions: A pictorial review.

作者信息

Kose Snehal I, Singh Sapna, Garg Anju, Manchanda Alpana, Singh Rajdeep

机构信息

Department of Radiodiagnosis, Maulana Azad Medical College, Delhi, India.

Department of Surgery, Maulana Azad Medical College, Delhi, India.

出版信息

SA J Radiol. 2023 May 24;27(1):2595. doi: 10.4102/sajr.v27i1.2595. eCollection 2023.

Abstract

UNLABELLED

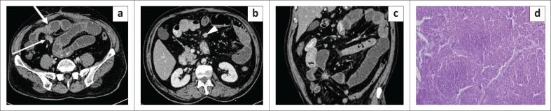
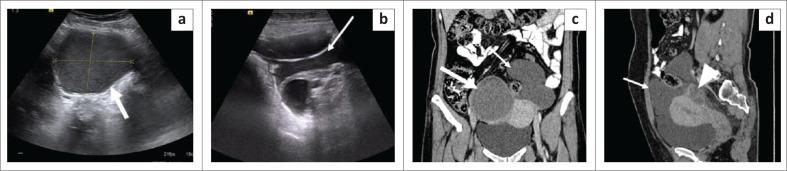
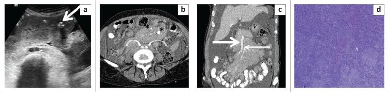
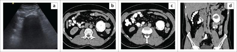
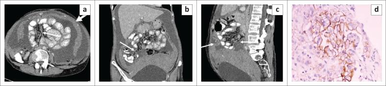
The mesentery is a broad fan-shaped fold of peritoneum that suspends the loops of small intestine from the posterior abdominal wall. Although primary neoplasms arising in the mesentery are rare, the mesentery is a major avenue for the dissemination of tumours, which can spread through hematogenous, lymphatic, direct or peritoneal seeding. Imaging helps in the diagnosis of these tumours and aids in directing appropriate treatment by assessing their size, extent and relationship with adjacent structures. The aim of this article is to describe the spectrum of imaging findings of the various mesenteric lesions using ultrasound and CT.

CONTRIBUTION

Evaluation of the mesentery is often neglected during routine ultrasound (US) because of inadequate training and unfamiliarity with the common US features encountered with mesenteric disease. CT plays an essential role in the diagnosis of mesenteric disease. Knowledge of imaging characteristics of various mesenteric lesions helps in timely diagnosis and management.

摘要

未标注

肠系膜是腹膜的一个宽阔扇形褶皱,将小肠袢从腹后壁悬吊起来。虽然起源于肠系膜的原发性肿瘤很少见,但肠系膜是肿瘤播散的主要途径,肿瘤可通过血行、淋巴、直接蔓延或腹膜种植扩散。影像学有助于这些肿瘤的诊断,并通过评估其大小、范围以及与相邻结构的关系来指导适当的治疗。本文旨在描述使用超声和CT对各种肠系膜病变的影像学表现范围。

贡献

由于培训不足以及对肠系膜疾病常见超声特征不熟悉,在常规超声(US)检查中对肠系膜的评估常常被忽视。CT在肠系膜疾病的诊断中起着至关重要的作用。了解各种肠系膜病变的影像学特征有助于及时诊断和处理。

https://cdn.ncbi.nlm.nih.gov/pmc/blobs/2415/10244954/1e2f251b407a/SAJR-27-2595-g001.jpg

相似文献

1
Ultrasound and computed tomography in the evaluation of mesenteric lesions: A pictorial review.
SA J Radiol. 2023 May 24;27(1):2595. doi: 10.4102/sajr.v27i1.2595. eCollection 2023.
2
Mesenteric neoplasms: CT appearances of primary and secondary tumors and differential diagnosis.
Radiographics. 2003 Mar-Apr;23(2):457-73; quiz 535-6. doi: 10.1148/rg.232025081.
4
Demystifying the mesenteric root lesions.
Abdom Radiol (NY). 2019 Aug;44(8):2708-2720. doi: 10.1007/s00261-019-02053-9. Epub 2019 May 11.
6
[Experience of mesenteric sector fixation in mesenteric torsion treatment].
Zhonghua Wei Chang Wai Ke Za Zhi. 2024 May 25;27(5):510-513. doi: 10.3760/cma.j.cn441530-20231025-00148.
8
Imaging of peritoneal and mesenteric disease: key concepts for the clinical radiologist.
Clin Radiol. 1999 Sep;54(9):563-74. doi: 10.1016/s0009-9260(99)90018-1.
9
CT of the mesentery, omentum, and peritoneum in children.
Radiographics. 1995 Jan;15(1):89-104. doi: 10.1148/radiographics.15.1.7899616.
10

本文引用的文献

1
Ultrasonic Manifestations of Mesenteric Inflammatory Myofibroblastic Tumors in Children.
Front Pediatr. 2019 Mar 5;7:39. doi: 10.3389/fped.2019.00039. eCollection 2019.
2
Acute mesenteric ischaemia: a pictorial review.
Insights Imaging. 2018 Oct;9(5):673-682. doi: 10.1007/s13244-018-0641-2. Epub 2018 Aug 17.
3
Radiological manifestations of hydatid disease and its complications.
Trop Parasitol. 2016 Jul-Dec;6(2):103-112. doi: 10.4103/2229-5070.190812.
4
Calcifying Fibrous Tumor: Review of 157 Patients Reported in International Literature.
Medicine (Baltimore). 2016 May;95(20):e3690. doi: 10.1097/MD.0000000000003690.
7
Neoplastic diseases of the peritoneum and mesentery.
AJR Am J Roentgenol. 2013 May;200(5):W420-30. doi: 10.2214/AJR.12.8494.
8
Mesenteric tumors: diagnosis and treatment.
J Visc Surg. 2012 Aug;149(4):e239-51. doi: 10.1016/j.jviscsurg.2012.05.005. Epub 2012 Jul 15.
9
Castleman disease: the great mimic.
Radiographics. 2011 Oct;31(6):1793-807. doi: 10.1148/rg.316115502.
10
Abdominal-pelvic actinomycosis mimicking malignant neoplasm.
Infect Dis Obstet Gynecol. 2011;2011:747059. doi: 10.1155/2011/747059. Epub 2011 Aug 29.

文献AI研究员

20分钟写一篇综述,助力文献阅读效率提升50倍。

立即体验

用中文搜PubMed

大模型驱动的PubMed中文搜索引擎

马上搜索

文档翻译

学术文献翻译模型,支持多种主流文档格式。

立即体验