Paris Saint Germain Football Club (France), Kinemove Rehabilitation Centers, 54027 Pontremoli, Italy.
Kinemove Rehabilitation Centers, 54027 Pontremoli, Italy.
Int J Environ Res Public Health. 2023 May 29;20(11):5985. doi: 10.3390/ijerph20115985.
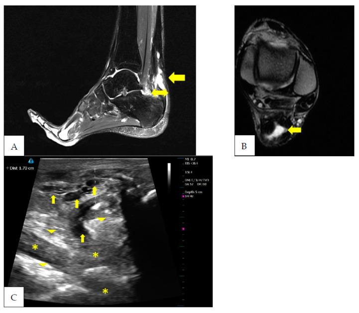
After Achilles tendon tenorraphy, tendon tissue undergoes a long period of biological healing. During this period, tissue turnover shows heterogeneity between its peripheral and central regions. This case report concerns the description of the tendon healing process of an athlete who underwent an Achilles tendon tenorraphy. As the reparative processes progressed, magnetic resonance imaging (MRI) showed centralization of the hyperintensity area and the tendon assumed a doughnut-like appearance. At the same time, ultrasound (US) assessment showed a progressive reorganization of the tendon fibrillar structure. Therefore, for the athlete, MRI and US assessment together represent a useful tool for the decision-making process after Achilles tendon tenorraphy.
跟腱断裂修复后,腱组织经历一个长期的生物学愈合过程。在此期间,其外周和中央区域的组织转换表现出异质性。本病例报告描述了一位运动员跟腱断裂修复后的愈合过程。随着修复过程的进展,磁共振成像(MRI)显示高强度区域的中央化,跟腱呈现出环状外观。同时,超声(US)评估显示腱纤维结构的逐渐重组。因此,对于运动员来说,MRI 和 US 评估共同代表了跟腱断裂修复后决策过程的有用工具。