Heilig Philipp, Heilig Maximilian, Fuchs Konrad F, Hoelscher-Doht Stefanie, Meffert Rainer H, Heintel Timo
Department of Trauma, Hand, Plastic and Reconstructive Surgery, University Hospital of Wuerzburg, Oberdürrbacherstraße 6, 97080 Wuerzburg, Germany.
Trauma Case Rep. 2023 May 29;46:100854. doi: 10.1016/j.tcr.2023.100854. eCollection 2023 Aug.
Hyperextension fractures of the thoracolumbar spine are commonly seen in ankylotic disorders due to the rigidity of the spine. The known complications include instability, neurological deficits and posttraumatic deformity but there is no report of a hemodynamic relevant arterial bleeding in undisplaced hyperextension fractures. An arterial bleeding poses a life-threatening complication and may be difficult to recognize in an ambulatory or clinical setting.
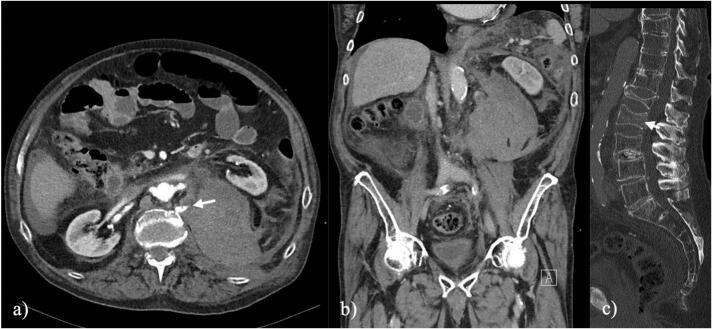
A 78-year-old male was brought to the emergency department after suffering a domestic fall with incapacitating lower back pain. X-rays and a CT scan revealed an undisplaced L2 hyperextension fracture which was treated conservatively. 9 days after admission, the patient complained about unprecedented abdominal pain with a CT scan disclosing a 12 × 9 × 20 cm retroperitoneal hematoma on grounds of an active arterial bleeding from a branch of the L2 lumbar artery. Subsequently, access via lumbotomy, evacuation of the hematoma and insertion of a hemostatic agent was performed. The therapy concept of the L2 fracture remained conservatively.
A secondary, retroperitoneal arterial bleeding after a conservatively treated undisplaced hyperextension fracture of the lumbar spine is a rare and severe complication that has not been described in literature yet and may be difficult to recognize. An early CT scan is recommended in case of a sudden onset of abdominal pain in these fractures to fasten treatment and hence decrease morbidity and mortality. Thus, this case report contributes to the awareness of this complication in a spine fracture type with increasing incidence and clinical relevance.
由于脊柱僵硬,胸腰椎过度伸展骨折在强直性疾病中较为常见。已知的并发症包括不稳定、神经功能缺损和创伤后畸形,但在无移位的过度伸展骨折中,尚无与血流动力学相关的动脉出血的报道。动脉出血是一种危及生命的并发症,在门诊或临床环境中可能难以识别。
一名78岁男性在家中摔倒后因下背部剧痛被送往急诊科。X线和CT扫描显示L2无移位的过度伸展骨折,予以保守治疗。入院9天后,患者诉前所未有的腹痛,CT扫描显示因L2腰动脉分支活动性动脉出血导致12×9×20cm的腹膜后血肿。随后,通过腰椎切开术进行血肿清除并置入止血剂。L2骨折的治疗方案仍为保守治疗。
腰椎无移位的过度伸展骨折保守治疗后出现继发性腹膜后动脉出血是一种罕见且严重的并发症,文献中尚未描述,且可能难以识别。对于此类骨折患者突发腹痛,建议早期进行CT扫描,以便迅速治疗,从而降低发病率和死亡率。因此,本病例报告有助于提高对这种在发病率和临床相关性不断增加的脊柱骨折类型中出现的并发症的认识。