Suppr超能文献

十二指肠中血小板源性生长因子受体阳性的扩张淋巴管与肝硬化患者的三个月死亡率相关。

Podoplanin-positive dilated lymphatic vessels in duodenum associates with three-month mortality in patients with cirrhosis.

作者信息

Juneja Pinky, Sharma Aarti, Shasthry S M, Kumar Guresh, Tripathi Dinesh M, Rajan V, Rastogi Archana, Sarin Shiv K, Kaur Savneet

机构信息

Department of Molecular and Cellular Medicine, Institute of Liver and Biliary Sciences, New Delhi, India.

Department of Hepatology, Institute of Liver and Biliary Sciences, New Delhi, India.

出版信息

Front Physiol. 2023 May 25;14:1045983. doi: 10.3389/fphys.2023.1045983. eCollection 2023.

Abstract

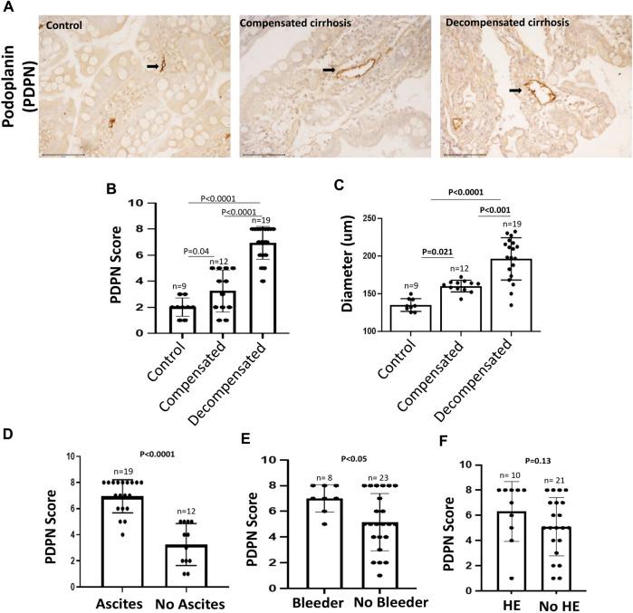
Dilated and dysfunctional gut lymphatic vessels (LVs) have been reported in experimental cirrhosis. Here, we studied LVs in duodenal (D2)-biopsies of liver cirrhosis patients and investigated the prognostic role of a LV marker, podoplanin (PDPN), in predicting the mortality of patients with cirrhosis. A prospective, single-center cohort study was performed in liver cirrhosis patients ( = 31) and matched healthy controls ( = 9). D2-biopsies were obtained during endoscopy procedure, immunostained with PDPN, and scored based on 1) intensity and 2) density of positively-stained LVs per high power field. Gut and systemic inflammation were estimated by quantifying duodenal CD3 intraepithelial lymphocytes (IELs), CD68 macrophages, and serum TNF-α and IL-6 levels, respectively. Gut permeability and inflammation as assessed by quantifying gene expression of , and in D2-biopsies. Gene expression of LV markers, (8-fold), and (3-fold) was enhanced in D2-biopsies of cirrhosis patients compared to control ( < 0.0001). The mean PDPN score in decompensated cirrhosis patients (6.91 ± 1.26, < 0.0001) was significantly increased as compared to those with compensated (3.25 ± 1.60). PDPN score positively and significantly correlated with the number of IELs (r = 0.33), serum TNF-α (r = 0.35), and IL-6 (r = 0.48) levels, while inversely correlated with expression (r = -0.46, < 0.05 each). In Cox regression, the PDPN score was a significant and independent 3-month-mortality predictor in patients (HR: 5.61; 1.08-29.109; = 0.04). The area under the curve for the PDPN score was 84.2, and cutoff value for predicting mortality was ≥6.5 with 100% sensitivity and 75% specificity. Collectively, dilated LVs with high PDPN expression in D2-biopsies is a characteristic feature of patients with decompensated cirrhosis. PDPN score correlates with enhanced gut and systemic inflammation and also associates with 3-month mortality in cirrhosis.

摘要

在实验性肝硬化中已报道存在扩张且功能失调的肠道淋巴管(LVs)。在此,我们研究了肝硬化患者十二指肠(D2)活检组织中的淋巴管,并调查了淋巴管标志物血小板内皮细胞黏附分子(PDPN)在预测肝硬化患者死亡率方面的预后作用。对31例肝硬化患者和9例匹配的健康对照者进行了一项前瞻性单中心队列研究。在内镜检查过程中获取D2活检组织,用PDPN进行免疫染色,并根据以下两点进行评分:1)阳性染色淋巴管的强度;2)每个高倍视野中阳性染色淋巴管的密度。分别通过量化十二指肠CD3上皮内淋巴细胞(IELs)、CD68巨噬细胞以及血清TNF-α和IL-6水平来评估肠道和全身炎症。通过量化D2活检组织中Claudin-1、Occludin和ZO-1的基因表达来评估肠道通透性和炎症。与对照组相比,肝硬化患者D2活检组织中淋巴管标志物Prox1(8倍)和LYVE-1(3倍)的基因表达增强(P<0.0001)。与代偿期肝硬化患者(3.25±1.60)相比,失代偿期肝硬化患者的平均PDPN评分(6.91±1.26,P<0.0001)显著升高。PDPN评分与IELs数量(r = 0.33)、血清TNF-α(r = 0.35)和IL-6(r = 0.48)水平呈正相关且显著相关,而与Claudin-1表达呈负相关(r = -0.46,各P<0.05)。在Cox回归分析中,PDPN评分是患者3个月死亡率的显著且独立预测因子(HR:5.61;1.08 - 29.109;P = 0.04)。PDPN评分的曲线下面积为84.2,预测死亡率的截断值为≥6.5,敏感性为100%,特异性为75%。总体而言,D2活检组织中PDPN高表达的扩张淋巴管是失代偿期肝硬化患者的一个特征性表现。PDPN评分与肠道和全身炎症增强相关,也与肝硬化患者的3个月死亡率相关。

https://cdn.ncbi.nlm.nih.gov/pmc/blobs/a1c8/10248415/cce4ccfdb184/fphys-14-1045983-g001.jpg

文献AI研究员

20分钟写一篇综述,助力文献阅读效率提升50倍。

立即体验

用中文搜PubMed

大模型驱动的PubMed中文搜索引擎

马上搜索

文档翻译

学术文献翻译模型,支持多种主流文档格式。

立即体验