Suppr超能文献

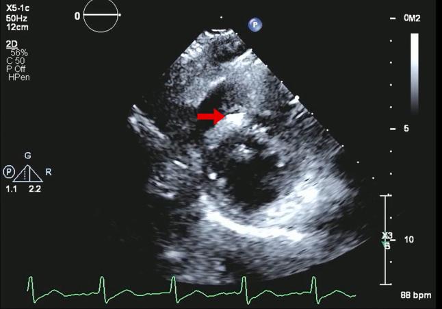
Transthoracic Echocardiography-Assisted Identification of Coronary Air Embolism During Coronary Angiography.

作者信息

Welle Garrett A, Chetram Deandra K, Bryde Robyn E, Bennett Courtney E, Wiley Brandon M

机构信息

Department of Cardiovascular Medicine, Mayo Clinic, Rochester, Minnesota.

Department of Internal Medicine, Mayo Clinic, Rochester, Minnesota.

出版信息

CASE (Phila). 2023 Mar 3;7(5):181-184. doi: 10.1016/j.case.2022.12.013. eCollection 2023 May.

Abstract

• CAE is a rare, high-risk morbidity and mortality event. • TTE is useful for the detection of intramyocardial air caused by CAE. • Management involves 2 core principles: increase gas diffusion and pressure.

摘要
https://cdn.ncbi.nlm.nih.gov/pmc/blobs/d122/10264198/a0a816b302f5/fx1.jpg

文献AI研究员

20分钟写一篇综述,助力文献阅读效率提升50倍。

立即体验

用中文搜PubMed

大模型驱动的PubMed中文搜索引擎

马上搜索

文档翻译

学术文献翻译模型,支持多种主流文档格式。

立即体验