Department of Pathology, Medical College, Jinan University, Guangzhou, Guangdong 510632, P.R. China.
Chinese Academy of Sciences Key Laboratory of Regenerative Biology, Guangdong Provincial Key Laboratory of Stem Cell and Regenerative Medicine, Guangzhou Institutes of Biomedicine and Health, Chinese Academy of Sciences, Guangzhou, Guangdong 510530, P.R. China.
Int J Oncol. 2023 Jul;63(1). doi: 10.3892/ijo.2023.5536. Epub 2023 Jun 16.
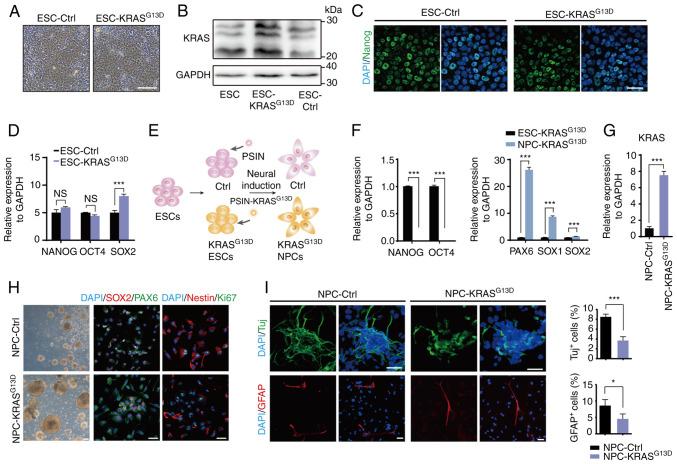
Glioma is the most common primary brain tumor. Glioma stem cells (GSCs) are the origin of gliomagenesis and may develop from normal neural progenitor cells (NPCs). However, how neoplastic transformation occurs in normal NPCs and the role of the Ras/Raf/MAPK pathway in NPC transformation is unclear. The present study generated NPCs from human embryonic stem cells (ESCs) carrying gene alterations in the Ras/Raf/MAPK pathway. The CCK‑8 proliferation, single‑cell clonal expansion, cell migration, RT‑qPCR, immunofluorescence staining, western blotting, transcriptome and Seahorse analyses, and intracranial implantation assay were performed to identify the characterization of transformed NPCs and . Brain organoids were used to verify the phenotypes transforming in NPCs. ‑activated NPCs exhibited increased proliferation and migration . ‑activated NPCs showed atypical morphology and formed aggressive tumors in immunodeficient mice. At the molecular level, ‑activated NPCs displayed neoplasm‑associated metabolic and gene expression profiles. Moreover, activation of led to substantial cell proliferation and abnormal structure in ESC‑derived brain organoids. The present study showed that activated transformed normal NPCs to GSC‑like cells and established a simple cellular model to investigate gliomagenesis.
神经胶质瘤是最常见的原发性脑肿瘤。神经胶质瘤干细胞(GSCs)是神经胶质瘤发生的起源,可能来源于正常神经祖细胞(NPCs)。然而,肿瘤是如何在正常 NPC 中发生转化的,以及 Ras/Raf/MAPK 通路在 NPC 转化中的作用尚不清楚。本研究从携带 Ras/Raf/MAPK 通路基因突变的人胚胎干细胞(ESCs)中产生 NPCs。通过 CCK-8 增殖、单细胞克隆扩增、细胞迁移、RT-qPCR、免疫荧光染色、Western blot、转录组和 Seahorse 分析以及颅内植入实验来鉴定转化 NPCs 的特征。脑类器官用于验证 NPC 中转化的表型。激活 Ras/Raf/MAPK 通路的 NPC 表现出增殖和迁移增加。激活 Ras/Raf/MAPK 通路的 NPC 表现出非典型形态,并在免疫缺陷小鼠中形成侵袭性肿瘤。在分子水平上,激活 Ras/Raf/MAPK 通路的 NPC 显示出与肿瘤相关的代谢和基因表达特征。此外,激活 Ras 导致 ESC 衍生的脑类器官中的大量细胞增殖和异常结构。本研究表明,激活 Ras/Raf/MAPK 通路将正常 NPC 转化为 GSC 样细胞,并建立了一个简单的细胞模型来研究神经胶质瘤的发生。