• 文献检索
  • 文档翻译
  • 深度研究
  • 学术资讯
  • Suppr Zotero 插件Zotero 插件
  • 邀请有礼
  • 套餐&价格
  • 历史记录
应用&插件
Suppr Zotero 插件Zotero 插件浏览器插件Mac 客户端Windows 客户端微信小程序
定价
高级版会员购买积分包购买API积分包
服务
文献检索文档翻译深度研究API 文档MCP 服务
关于我们
关于 Suppr公司介绍联系我们用户协议隐私条款
关注我们

Suppr 超能文献

核心技术专利:CN118964589B侵权必究
粤ICP备2023148730 号-1Suppr @ 2026

文献检索

告别复杂PubMed语法,用中文像聊天一样搜索,搜遍4000万医学文献。AI智能推荐,让科研检索更轻松。

立即免费搜索

文件翻译

保留排版,准确专业,支持PDF/Word/PPT等文件格式,支持 12+语言互译。

免费翻译文档

深度研究

AI帮你快速写综述,25分钟生成高质量综述,智能提取关键信息,辅助科研写作。

立即免费体验

马富西综合征患者的盆腔血管畸形与复发性直肠脱垂:诊断与治疗挑战

Pelvic Vascular Malformations and Recurrent Rectal Prolapse in a Patient With Maffucci Syndrome: A Diagnostic and Therapeutic Challenge.

作者信息

Sciberras Peter, Calleja Rebecca, Bugeja Rebecca, Montebello Gloria, Camilleri-Brennan John

机构信息

Surgery, Hull University Teaching Hospitals NHS Trust, Hull, GBR.

Surgery, NHS Greater Glasgow and Clyde, Glasgow, GBR.

出版信息

Cureus. 2023 May 16;15(5):e39095. doi: 10.7759/cureus.39095. eCollection 2023 May.

DOI:10.7759/cureus.39095
PMID:37332422
原文链接:https://pmc.ncbi.nlm.nih.gov/articles/PMC10270431/
Abstract

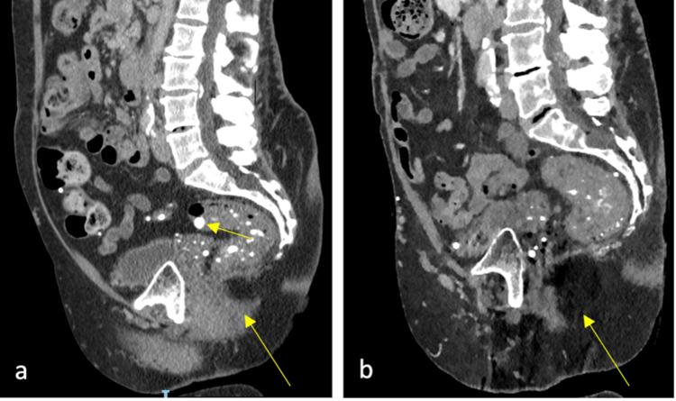
Maffucci syndrome is an extremely rare congenital condition characterized by the development of multiple enchondromas and haemangiomas, primarily on the extremities, and an association with various tumors. Colonic and pelvic floor function has never been explored in patients with Maffucci syndrome. We report a case illustrating the challenges in managing colonic and pelvic floor dysfunction in a female patient secondary to vascular malformations as part of Maffucci syndrome.

摘要

马富西综合征是一种极其罕见的先天性疾病,其特征是主要在四肢出现多发性内生软骨瘤和血管瘤,并伴有各种肿瘤。马富西综合征患者的结肠和盆底功能从未被研究过。我们报告一例病例,该病例说明了一名女性患者因马富西综合征的血管畸形继发结肠和盆底功能障碍的管理挑战。

https://cdn.ncbi.nlm.nih.gov/pmc/blobs/f6bb/10270431/41ea4c0a05df/cureus-0015-00000039095-i04.jpg
https://cdn.ncbi.nlm.nih.gov/pmc/blobs/f6bb/10270431/a85876b03e78/cureus-0015-00000039095-i01.jpg
https://cdn.ncbi.nlm.nih.gov/pmc/blobs/f6bb/10270431/d9ae952e975e/cureus-0015-00000039095-i02.jpg
https://cdn.ncbi.nlm.nih.gov/pmc/blobs/f6bb/10270431/75719a717e92/cureus-0015-00000039095-i03.jpg
https://cdn.ncbi.nlm.nih.gov/pmc/blobs/f6bb/10270431/41ea4c0a05df/cureus-0015-00000039095-i04.jpg
https://cdn.ncbi.nlm.nih.gov/pmc/blobs/f6bb/10270431/a85876b03e78/cureus-0015-00000039095-i01.jpg
https://cdn.ncbi.nlm.nih.gov/pmc/blobs/f6bb/10270431/d9ae952e975e/cureus-0015-00000039095-i02.jpg
https://cdn.ncbi.nlm.nih.gov/pmc/blobs/f6bb/10270431/75719a717e92/cureus-0015-00000039095-i03.jpg
https://cdn.ncbi.nlm.nih.gov/pmc/blobs/f6bb/10270431/41ea4c0a05df/cureus-0015-00000039095-i04.jpg

相似文献

1
Pelvic Vascular Malformations and Recurrent Rectal Prolapse in a Patient With Maffucci Syndrome: A Diagnostic and Therapeutic Challenge.马富西综合征患者的盆腔血管畸形与复发性直肠脱垂:诊断与治疗挑战
Cureus. 2023 May 16;15(5):e39095. doi: 10.7759/cureus.39095. eCollection 2023 May.
2
Maffucci syndrome and anaesthesia: Case report.马富西综合征与麻醉:病例报告
Indian J Anaesth. 2019 May;63(5):400-402. doi: 10.4103/ija.IJA_779_18.
3
Maffucci syndrome: Case report and review of diagnostic signs of the rare disease.马富西综合征:罕见病诊断体征的病例报告及综述
Radiol Case Rep. 2022 Aug 1;17(10):3674-3677. doi: 10.1016/j.radcr.2022.07.008. eCollection 2022 Oct.
4
A rare presentation of Maffucci syndrome: A case report and literature review.马富西综合征的罕见表现:一例病例报告及文献综述
Exp Ther Med. 2023 Jul 25;26(3):435. doi: 10.3892/etm.2023.12134. eCollection 2023 Sep.
5
[Maffucci syndrome and extensive verrucous epidermal nevi in the same leg].[马富西综合征与同一条腿上的广泛疣状表皮痣]
Ann Dermatol Venereol. 2009 Oct;136(10):702-4. doi: 10.1016/j.annder.2008.10.033. Epub 2009 Mar 9.
6
Maffucci Syndrome with Clival Enchondroma in Nasopharynx: A Case Report.伴有鼻咽部斜坡软骨瘤的马富西综合征:一例报告
Indian J Otolaryngol Head Neck Surg. 2019 Oct;71(Suppl 1):652-656. doi: 10.1007/s12070-018-1463-8. Epub 2018 Aug 10.
7
A case of myelopathy because of enchondromas from Maffucci syndrome with successful surgical treatment.1例马富西综合征内生软骨瘤所致脊髓病的手术治疗成功病例。
Spine J. 2015 Jun 1;15(6):e15-9. doi: 10.1016/j.spinee.2015.03.006. Epub 2015 Mar 13.
8
Maffucci Syndrome Associated With Adrenocorticotropic Hormone-Independent Bilateral Macronodular Adrenal Hyperplasia.马富西综合征合并促肾上腺皮质激素非依赖性双侧大结节性肾上腺增生
J Endocr Soc. 2017 Jan 12;1(1):51-56. doi: 10.1210/js.2016-1018. eCollection 2017 Jan 1.
9
Somatic mosaic mutations of IDH1 and NPM1 associated with cup-like acute myeloid leukemia in a patient with Maffucci syndrome.1例马富西综合征患者中与杯状急性髓系白血病相关的IDH1和NPM1体细胞镶嵌突变
Int J Hematol. 2015 Dec;102(6):723-8. doi: 10.1007/s12185-015-1892-z. Epub 2015 Oct 27.
10
[Maffucci syndrome: a false venous malformation? A case with hemangioendothelioma with fusiform cells].[马富西综合征:一种假性静脉畸形?一例伴有梭形细胞血管内皮瘤的病例]
Ann Dermatol Venereol. 1998 Aug;125(8):512-5.

本文引用的文献

1
Overgrowth Syndromes.过度生长综合征
J Pediatr Genet. 2015 Sep;4(3):136-43. doi: 10.1055/s-0035-1564440. Epub 2015 Sep 25.
2
Maffucci syndrome and neoplasms: a case report and review of the literature.马富西综合征与肿瘤:一例病例报告及文献综述
BMC Res Notes. 2016 Feb 27;9:126. doi: 10.1186/s13104-016-1913-x.
3
A systematic review of the literature on the surgical management of recurrent rectal prolapse.关于复发性直肠脱垂外科治疗的文献系统综述。
Colorectal Dis. 2015 Aug;17(8):657-64. doi: 10.1111/codi.12946.
4
Rectal prolapse: an overview of clinical features, diagnosis, and patient-specific management strategies.直肠脱垂:临床特征、诊断及个体化治疗策略概述。
J Gastrointest Surg. 2014 May;18(5):1059-69. doi: 10.1007/s11605-013-2427-7. Epub 2013 Dec 19.
5
PROSPER: a randomised comparison of surgical treatments for rectal prolapse.PROSPER:直肠脱垂手术治疗的随机比较。
Colorectal Dis. 2013 Jul;15(7):858-68. doi: 10.1111/codi.12177.
6
Functional results after surgery for overt rectal prolaps.显性直肠脱垂手术后的功能结果。
Acta Chir Iugosl. 2012;59(2):21-4. doi: 10.2298/aci1202021x.
7
Maffucci syndrome and soft tissue sarcoma: a case report.马富西综合征与软组织肉瘤:一例报告
Int Semin Surg Oncol. 2009 Jan 13;6:2. doi: 10.1186/1477-7800-6-2.
8
Epidemiologic aspects of complete rectal prolapse.完全性直肠脱垂的流行病学特征
Scand J Surg. 2005;94(3):207-10. doi: 10.1177/145749690509400306.
9
Maffucci's syndrome with extensive gastrointestinal involvement.伴有广泛胃肠道受累的马富西综合征。
Australas J Dermatol. 2005 Feb;46(1):33-7. doi: 10.1111/j.1440-0960.2005.00133.x.
10
Maffucci's syndrome.马富西综合征
Circulation. 2001 Oct 2;104(14):1693. doi: 10.1161/hc3901.096180.