• 文献检索
  • 文档翻译
  • 深度研究
  • 学术资讯
  • Suppr Zotero 插件Zotero 插件
  • 邀请有礼
  • 套餐&价格
  • 历史记录
应用&插件
Suppr Zotero 插件Zotero 插件浏览器插件Mac 客户端Windows 客户端微信小程序
定价
高级版会员购买积分包购买API积分包
服务
文献检索文档翻译深度研究API 文档MCP 服务
关于我们
关于 Suppr公司介绍联系我们用户协议隐私条款
关注我们

Suppr 超能文献

核心技术专利:CN118964589B侵权必究
粤ICP备2023148730 号-1Suppr @ 2026

文献检索

告别复杂PubMed语法,用中文像聊天一样搜索,搜遍4000万医学文献。AI智能推荐,让科研检索更轻松。

立即免费搜索

文件翻译

保留排版,准确专业,支持PDF/Word/PPT等文件格式,支持 12+语言互译。

免费翻译文档

深度研究

AI帮你快速写综述,25分钟生成高质量综述,智能提取关键信息,辅助科研写作。

立即免费体验

Integra®真皮再生基质:手部复杂软组织肉瘤重建的通用解决方案。

Integra® Dermal Regeneration Matrix: A Versatile Solution for Complex Soft Tissue Sarcoma Reconstruction in the Hand.

作者信息

Samargandi Ramy

机构信息

Orthopedic Surgery Department, Faculty of Medicine, University of Jeddah, Jeddah, SAU.

Orthopedic Surgery Department, Centre Hospitalier Régional Universitaire (CHRU) de Tours, Tours, FRA.

出版信息

Cureus. 2023 Jun 17;15(6):e40553. doi: 10.7759/cureus.40553. eCollection 2023 Jun.

DOI:10.7759/cureus.40553
PMID:37333040
原文链接:https://pmc.ncbi.nlm.nih.gov/articles/PMC10276311/
Abstract

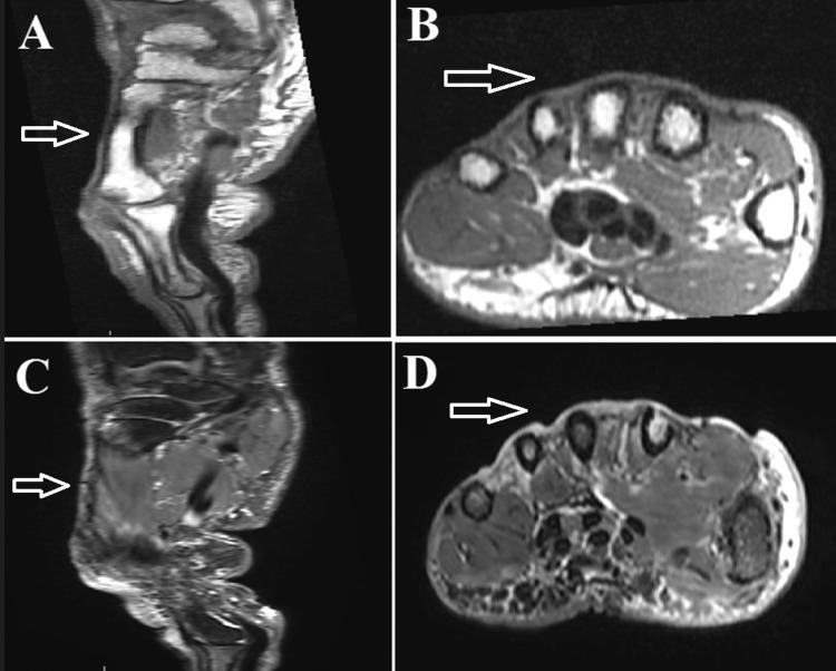
This case report describes the successful use of Integra® (Integra LifeSciences Corporation, Plainsboro, New Jersey, United States), an artificial skin substitute, for the reconstruction of soft tissue defects following soft tissue sarcoma resection. We present a case of a 75-year-old female presented with a progressively enlarging lesion on her right hand. Imaging revealed tumor involvement in the extensor tendons and adjacent to the index finger tendon. A percutaneous biopsy confirmed an undifferentiated pleomorphic sarcoma. The patient underwent neoadjuvant radiotherapy followed by wide excision of the tumor. Integra® dermal regeneration matrix was utilized to cover the exposed bone during the surgical procedure. This allowed for wound closure and provided a favorable environment for tissue regeneration and subsequent split-thickness skin graft. Complete wound healing was obtained. Regular follow-up examinations showed no evidence of local recurrence or secondary lesions after one year. The successful use of Integra®, in this case, demonstrates its efficacy as a reconstructive option for complex hand sarcomas. It offers immediate wound coverage and promotes tissue regeneration, thereby avoiding the need for more extensive treatment modalities with associated donor-site morbidity. The utilization of Integra® resulted in high patient satisfaction and excellent recovery. This case highlights the importance of utilizing innovative techniques and materials in achieving optimal outcomes in challenging hand sarcoma reconstructions.

摘要

本病例报告描述了使用人工皮肤替代品Integra®(美国新泽西州普林斯顿平原boro的Integra生命科学公司)成功重建软组织肉瘤切除术后软组织缺损的情况。我们报告一例75岁女性,右手出现逐渐增大的病变。影像学检查显示肿瘤累及伸肌腱并靠近示指肌腱。经皮活检证实为未分化多形性肉瘤。患者接受了新辅助放疗,随后进行了肿瘤广泛切除。手术过程中使用Integra®真皮再生基质覆盖暴露的骨骼。这实现了伤口闭合,并为组织再生和随后的中厚皮片移植提供了有利环境。伤口完全愈合。定期随访检查显示,一年后无局部复发或继发病变的迹象。在本病例中,Integra®的成功使用证明了其作为复杂手部肉瘤重建选择的有效性。它能立即覆盖伤口并促进组织再生,从而避免了需要更广泛的治疗方式及其相关的供区并发症。Integra®的使用使患者满意度高且恢复良好。本病例突出了在具有挑战性的手部肉瘤重建中利用创新技术和材料以实现最佳结果的重要性。

https://cdn.ncbi.nlm.nih.gov/pmc/blobs/2f65/10276311/c721177d5ae6/cureus-0015-00000040553-i03.jpg
https://cdn.ncbi.nlm.nih.gov/pmc/blobs/2f65/10276311/0f77ee60d0d6/cureus-0015-00000040553-i01.jpg
https://cdn.ncbi.nlm.nih.gov/pmc/blobs/2f65/10276311/58a5b7be7477/cureus-0015-00000040553-i02.jpg
https://cdn.ncbi.nlm.nih.gov/pmc/blobs/2f65/10276311/c721177d5ae6/cureus-0015-00000040553-i03.jpg
https://cdn.ncbi.nlm.nih.gov/pmc/blobs/2f65/10276311/0f77ee60d0d6/cureus-0015-00000040553-i01.jpg
https://cdn.ncbi.nlm.nih.gov/pmc/blobs/2f65/10276311/58a5b7be7477/cureus-0015-00000040553-i02.jpg
https://cdn.ncbi.nlm.nih.gov/pmc/blobs/2f65/10276311/c721177d5ae6/cureus-0015-00000040553-i03.jpg

相似文献

1
Integra® Dermal Regeneration Matrix: A Versatile Solution for Complex Soft Tissue Sarcoma Reconstruction in the Hand.Integra®真皮再生基质:手部复杂软组织肉瘤重建的通用解决方案。
Cureus. 2023 Jun 17;15(6):e40553. doi: 10.7759/cureus.40553. eCollection 2023 Jun.
2
Tendon coverage using an artificial skin substitute.使用人工皮肤替代物覆盖肌腱。
J Plast Reconstr Aesthet Surg. 2012 Nov;65(11):1544-50. doi: 10.1016/j.bjps.2012.05.021. Epub 2012 Jun 20.
3
Use of integra artificial dermis to reduce donor site morbidity after pedicle flaps in hand surgery.在手外科带蒂皮瓣术后使用 Integra 人工真皮以降低供区并发症。
J Hand Surg Am. 2014 Nov;39(11):2228-34. doi: 10.1016/j.jhsa.2014.08.014. Epub 2014 Sep 26.
4
Reconstruction of full thickness scalp defects after tumour excision in elderly patients: our experience with Integra dermal regeneration template.老年患者肿瘤切除后全层头皮缺损的重建:我们使用 Integra 真皮再生模板的经验。
J Plast Reconstr Aesthet Surg. 2010 Mar;63(3):e245-7. doi: 10.1016/j.bjps.2009.05.038. Epub 2009 Jun 21.
5
Reconstruction of Complex Full-Thickness Scalp Defects After Dog-Bite Injuries Using Dermal Regeneration Template (Integra): Case Report and Literature Review.使用真皮再生模板(Integra)修复犬咬伤后复杂的全层头皮缺损:病例报告及文献综述
J Oral Maxillofac Surg. 2019 Feb;77(2):338-351. doi: 10.1016/j.joms.2018.08.022. Epub 2018 Sep 4.
6
Report on immediate irradiation of a rapidly growing sarcoma of the scalp prior to wound closure.关于头皮快速生长肉瘤在伤口闭合前即刻照射的报告。
J Dtsch Dermatol Ges. 2016 May;14(5):539-42. doi: 10.1111/ddg.12786.
7
Indications and functional outcome of the use of integra dermal regeneration template for the management of traumatic soft tissue defects on dorsal hand, fingers and thumb.用于手背、手指和拇指创伤性软组织缺损管理的整合真皮再生模板的适应证和功能结果。
Arch Orthop Trauma Surg. 2020 Dec;140(12):2115-2127. doi: 10.1007/s00402-020-03615-z. Epub 2020 Oct 12.
8
Management of skin defect following resection of Stage IV scalp melanoma: A case report.IV期头皮黑色素瘤切除术后皮肤缺损的处理:一例报告
Int J Surg Case Rep. 2016;29:8-10. doi: 10.1016/j.ijscr.2016.10.027. Epub 2016 Oct 17.
9
Bioartificial dermal substitute: a preliminary report on its use for the management of complex combat-related soft tissue wounds.生物人工真皮替代物:关于其用于治疗复杂战斗相关软组织伤口的初步报告。
J Orthop Trauma. 2007 Jul;21(6):394-9. doi: 10.1097/BOT.0b013e318070c028.
10
Integra Dermal Regeneration Template in reconstructive surgery for cutaneous tumours: a two-year retrospective review.真皮再生模板在皮肤肿瘤重建手术中的应用:一项为期两年的回顾性研究。
J Wound Care. 2022 Jul 2;31(7):612-619. doi: 10.12968/jowc.2022.31.7.612.

本文引用的文献

1
Factors associated with complications after resection of soft tissue sarcomas of the groin.腹股沟软组织肉瘤切除术后并发症的相关因素。
Orthop Traumatol Surg Res. 2022 Jun;108(4):103158. doi: 10.1016/j.otsr.2021.103158. Epub 2021 Nov 29.
2
Soft Tissue Sarcomas: Is Pre-operative Radiotherapy Associated With More Acute Wound Complications?软组织肉瘤:术前放疗是否与更多急性伤口并发症相关?
Cureus. 2021 Jun 15;13(6):e15654. doi: 10.7759/cureus.15654. eCollection 2021 Jun.
3
The role of radiotherapy in adult soft tissues sarcoma of the extremities.
四肢成人软组织肉瘤的放射治疗作用。
Eur J Orthop Surg Traumatol. 2021 Dec;31(8):1583-1596. doi: 10.1007/s00590-021-02990-6. Epub 2021 May 6.
4
Multidisciplinary treatment of soft tissue sarcomas: An update.软组织肉瘤的多学科治疗:最新进展
World J Clin Oncol. 2020 Apr 24;11(4):180-189. doi: 10.5306/wjco.v11.i4.180.
5
Surgery in reference centers improves survival of sarcoma patients: a nationwide study.参考中心的手术可提高肉瘤患者的生存率:一项全国性研究。
Ann Oncol. 2019 Jul 1;30(7):1143-1153. doi: 10.1093/annonc/mdz124.
6
Soft Tissue Sarcoma of the Hand and Wrist: Epidemiology and Management Challenges.手部和腕部软组织肉瘤:流行病学及管理挑战
J Hand Microsurg. 2018 Aug;10(2):86-92. doi: 10.1055/s-0038-1636728. Epub 2018 Apr 3.
7
Use of Integra in the Management of Complex Hand Wounds From Cancer Resection and Nonburn Trauma.Integra在癌症切除和非烧伤创伤所致复杂手部伤口处理中的应用
Hand (N Y). 2018 Jan;13(1):74-79. doi: 10.1177/1558944717692090. Epub 2017 Feb 14.
8
The role of radiotherapy in the management of localized soft tissue sarcomas.放射治疗在局限性软组织肉瘤治疗中的作用。
Cancer Biol Med. 2016 Sep;13(3):373-383. doi: 10.20892/j.issn.2095-3941.2016.0028.
9
Lessons learned from the study of 10,000 patients with soft tissue sarcoma.从对10000例软组织肉瘤患者的研究中吸取的经验教训。
Ann Surg. 2014 Sep;260(3):416-21; discussion 421-2. doi: 10.1097/SLA.0000000000000869.
10
Risk factors for significant wound complications following wide resection of extremity soft tissue sarcomas.肢体软组织肉瘤广泛切除术后发生重大伤口并发症的危险因素。
Clin Orthop Relat Res. 2013 Nov;471(11):3612-7. doi: 10.1007/s11999-013-3130-4. Epub 2013 Jun 28.