• 文献检索
  • 文档翻译
  • 深度研究
  • 学术资讯
  • Suppr Zotero 插件Zotero 插件
  • 邀请有礼
  • 套餐&价格
  • 历史记录
应用&插件
Suppr Zotero 插件Zotero 插件浏览器插件Mac 客户端Windows 客户端微信小程序
定价
高级版会员购买积分包购买API积分包
服务
文献检索文档翻译深度研究API 文档MCP 服务
关于我们
关于 Suppr公司介绍联系我们用户协议隐私条款
关注我们

Suppr 超能文献

核心技术专利:CN118964589B侵权必究
粤ICP备2023148730 号-1Suppr @ 2026

文献检索

告别复杂PubMed语法,用中文像聊天一样搜索,搜遍4000万医学文献。AI智能推荐,让科研检索更轻松。

立即免费搜索

文件翻译

保留排版,准确专业,支持PDF/Word/PPT等文件格式,支持 12+语言互译。

免费翻译文档

深度研究

AI帮你快速写综述,25分钟生成高质量综述,智能提取关键信息,辅助科研写作。

立即免费体验

双硫仑过量后意识障碍延迟出现并伴有酮症酸中毒。

Delayed onset of impaired consciousness complicated with ketoacidosis after disulfiram overdose.

作者信息

Kakimoto Kohei, Hikone Mayu, Sugiyama Kazuhiro

机构信息

Tertiary Emergency Medical Center (Trauma and Critical Care) Tokyo Metropolitan Bokutoh Hospital Tokyo Japan.

出版信息

Acute Med Surg. 2023 Jun 16;10(1):e859. doi: 10.1002/ams2.859. eCollection 2023 Jan-Dec.

DOI:10.1002/ams2.859
PMID:37333950
原文链接:https://pmc.ncbi.nlm.nih.gov/articles/PMC10276189/
Abstract

BACKGROUND

We report a case of disulfiram overdose that caused a delayed onset of impaired consciousness and ketoacidosis.

CASE PRESENTATION

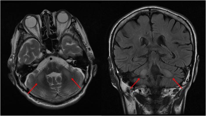
A 61-year-old man was transferred to our hospital following a suicide attempt. The patient lost consciousness after an overdose of disulfiram and brotizolam. He was diagnosed with acute drug intoxication and was intubated. On day 2, he showed an improved consciousness response and was successfully extubated. On day 5, the state of consciousness worsened again, and ketoacidosis progressed. The patient required hemodialysis and suffered from impaired consciousness for the following 2 weeks. Eventually, he recovered gradually and was discharged to the rehabilitation ward.

CONCLUSIONS

The delayed appearance of symptoms after the disulfiram overdose was thought to be related to the slow metabolism of disulfiram in the body. Our case suggests the necessity of careful follow-up for delayed impaired consciousness.

摘要

背景

我们报告一例双硫仑过量导致意识障碍和酮症酸中毒延迟发作的病例。

病例介绍

一名61岁男性在自杀未遂后被转至我院。该患者在过量服用双硫仑和溴替唑仑后失去意识。他被诊断为急性药物中毒并接受了插管。第2天,他的意识反应有所改善并成功拔管。第5天,意识状态再次恶化,酮症酸中毒进展。患者需要进行血液透析,并在接下来的2周内一直存在意识障碍。最终,他逐渐康复并被转至康复病房。

结论

双硫仑过量后症状延迟出现被认为与双硫仑在体内代谢缓慢有关。我们的病例提示有必要对延迟出现的意识障碍进行密切随访。

https://cdn.ncbi.nlm.nih.gov/pmc/blobs/5d12/10276189/18f934519cdc/AMS2-10-e859-g001.jpg
https://cdn.ncbi.nlm.nih.gov/pmc/blobs/5d12/10276189/b3f4edf2acc3/AMS2-10-e859-g002.jpg
https://cdn.ncbi.nlm.nih.gov/pmc/blobs/5d12/10276189/18f934519cdc/AMS2-10-e859-g001.jpg
https://cdn.ncbi.nlm.nih.gov/pmc/blobs/5d12/10276189/b3f4edf2acc3/AMS2-10-e859-g002.jpg
https://cdn.ncbi.nlm.nih.gov/pmc/blobs/5d12/10276189/18f934519cdc/AMS2-10-e859-g001.jpg

相似文献

1
Delayed onset of impaired consciousness complicated with ketoacidosis after disulfiram overdose.双硫仑过量后意识障碍延迟出现并伴有酮症酸中毒。
Acute Med Surg. 2023 Jun 16;10(1):e859. doi: 10.1002/ams2.859. eCollection 2023 Jan-Dec.
2
Delayed and prolonged coma after acute disulfiram overdose.
Acta Neurol Belg. 2009 Sep;109(3):231-4.
3
A case study of impaired consciousness caused by alcohol consumption in a pediatric patient taking high-dose cefixime.儿童患者大剂量服用头孢克肟致意识障碍 1 例报告
Int J Clin Pharmacol Ther. 2024 Sep;62(9):427-430. doi: 10.5414/CP204623.
4
Dystonia and akinesia due to pallidoputaminal lesions after disulfiram intoxication.双硫仑中毒后苍白球-壳核病变所致肌张力障碍和运动不能
Mov Disord. 1991;6(2):166-70. doi: 10.1002/mds.870060214.
5
Acute vocal fold palsy after acute disulfiram intoxication.急性双硫仑中毒后急性声带麻痹。
J Voice. 2009 Jan;23(1):125-7. doi: 10.1016/j.jvoice.2007.07.003. Epub 2007 Nov 19.
6
A case of Wernicke encephalopathy combined with disulfiram intoxication.1例韦尼克脑病合并双硫仑中毒病例。
Cogn Behav Neurol. 2013 Jun;26(2):93-8. doi: 10.1097/WNN.0b013e31829b7a6b.
7
[Disulfiram encephalopathy: an underrecognized complication of accidental overdose].双硫仑脑病:意外过量用药未被充分认识的并发症
Tijdschr Psychiatr. 2024;66(4):217-220.
8
Acute encephalopathy and polyneuropathy after disulfiram intoxication.双硫仑中毒后的急性脑病和多发性神经病。
Alcohol Alcohol. 1995 Sep;30(5):629-31.
9
Liver, Renal, and Cardiovascular Failure After Unintentional Overdose of Tizanidine in a 2-Year-Old Child.一名2岁儿童意外过量服用替扎尼定后出现肝、肾和心血管功能衰竭
J Pediatr Pharmacol Ther. 2021;26(6):643-646. doi: 10.5863/1551-6776-26.6.643. Epub 2021 Aug 16.
10
Injury of ascending reticular activating system associated with delayed post-hypoxic leukoencephalopathy: a case report.与迟发性缺氧后白质脑病相关的上行网状激活系统损伤:一例报告
BMC Neurol. 2017 Jul 19;17(1):139. doi: 10.1186/s12883-017-0917-z.

本文引用的文献

1
Posterior Reversible Encephalopathy Syndrome Instigated by Off-Label Disulfiram Use for Metastatic Melanoma.用于转移性黑色素瘤的标签外使用双硫仑引发的后部可逆性脑病综合征
Psychosomatics. 2020 May-Jun;61(3):302-306. doi: 10.1016/j.psym.2019.09.003. Epub 2019 Sep 17.
2
Fulminant encephalopathy with unusual brain imaging in disulfiram toxicity.双硫仑中毒伴异常脑成像的暴发性脑病
Neurology. 2018 Mar 13;90(11):518-519. doi: 10.1212/WNL.0000000000005125. Epub 2018 Feb 9.
3
Oculogyric crisis associated with disulfiram-induced pallidonigral lesion.
与双硫仑诱导的苍白球黑质病变相关的眼球震颤危象。
J Mov Disord. 2009 May;2(1):48-9. doi: 10.14802/jmd.09013. Epub 2009 Apr 30.
4
Disulfiram ethanol reaction mimicking anaphylactic, cardiogenic, and septic shock.双硫仑样乙醇反应模拟过敏性、心源性和脓毒性休克。
Am J Emerg Med. 2013 Jan;31(1):270.e1-3. doi: 10.1016/j.ajem.2012.05.002. Epub 2012 Jul 16.
5
Delayed and prolonged coma after acute disulfiram overdose.
Acta Neurol Belg. 2009 Sep;109(3):231-4.
6
Alcoholic ketoacidosis.酒精性酮症酸中毒
Emerg Med J. 2006 Jun;23(6):417-20. doi: 10.1136/emj.2004.017590.
7
Acute encephalopathy and polyneuropathy after disulfiram intoxication.双硫仑中毒后的急性脑病和多发性神经病。
Alcohol Alcohol. 1995 Sep;30(5):629-31.
8
Acute effects of the aldehyde dehydrogenase inhibitors, disulfiram, pargyline and cyanamide, on circulating ketone body levels in the rat.乙醛脱氢酶抑制剂双硫仑、优降宁和氨基氰对大鼠循环酮体水平的急性影响。
Biochem Pharmacol. 1988 Jan 15;37(2):229-34. doi: 10.1016/0006-2952(88)90722-8.