Suppr超能文献

免疫功能正常男性的亚种菌血症。

subsp. bacteraemia in an immunocompetent male.

作者信息

Schepens Niels, Verniest Thessa, Verstreken Isabel, Henckaerts Liesbet

机构信息

Department of General Internal Medicine, KU Leuven-University Hospitals Leuven, Leuven, Belgium.

Department of Pneumology, Heilig Hart Hospital, Leuven, Belgium.

出版信息

Respir Med Case Rep. 2023 Jun 7;45:101882. doi: 10.1016/j.rmcr.2023.101882. eCollection 2023.

Abstract

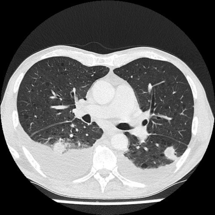
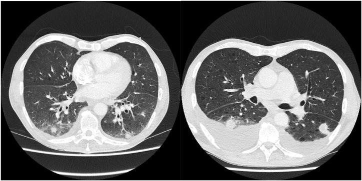
Tularemia is a rare zoonotic disease caused by the two predominant subspecies of Francisella tularensis, namely subspecies tularensis and subspecies holarctica. The latter is less virulent than the former, is endemic in Europe, and usually has a mild disease course, although respiratory involvement and bacteraemia can occur. Tularemia in Belgium is rare, but the incidence seems to be increasing. It therefore seems prudent to raise awareness among clinicians for this potentially severe disease. We report the first case of pneumonic tularemia with bacteraemia from Belgium, and want to recommend including Francisella tularensis in the differential diagnosis of pneumonia when an unfavorable evolution is seen with standard treatment.

摘要

兔热病是一种罕见的人畜共患病,由土拉弗朗西斯菌的两个主要亚种引起,即土拉弗朗西斯菌亚种和全北区亚种。后者的毒力低于前者,在欧洲呈地方性流行,通常病程较轻,尽管可出现肺部受累和菌血症。兔热病在比利时较为罕见,但发病率似乎在上升。因此,提高临床医生对这种潜在严重疾病的认识似乎是明智的。我们报告了比利时首例伴有菌血症的肺型兔热病病例,并建议在标准治疗效果不佳时,将土拉弗朗西斯菌纳入肺炎的鉴别诊断。

https://cdn.ncbi.nlm.nih.gov/pmc/blobs/8b06/10275714/770c17d2c72f/gr1.jpg

文献AI研究员

20分钟写一篇综述,助力文献阅读效率提升50倍。

立即体验

用中文搜PubMed

大模型驱动的PubMed中文搜索引擎

马上搜索

文档翻译

学术文献翻译模型,支持多种主流文档格式。

立即体验